Адрес
г. Москва, 2-й Тверской-Ямской переулок, дом 10, Метро «Маяковская» (5 мин. пешком)
Режим работы
График работы клиники «Медицина»
Пн-пт — с 08-00 до 21-00
Сб — с 09-00 до 19-00
Вс — с 09-00 до 15-00


Круглосуточно работают
— Стационар (круглосуточная госпитализация)
— Скорая медицинская помощь
— Магнитно-резонансная томография
— Ультразвуковая диагностика
— Рентген-радиология


График работы в выходные и предпраздничные дни
— 30 апреля 2026 г. – рабочий день по графику четверга (сокращенный на 1 час рабочий день), с 08:00 до 20:00;
— 1 мая 2026 г. – праздничный день;
— 2 мая 2026 г. – рабочий день по графику субботы, с 09:00 до 19:00;
— 3 мая 2026 г. – рабочий день по графику воскресенья, с 09:00 до 15:00;
— 8 мая 2026 г. – рабочий день по графику пятницы (сокращенный на 1 час рабочий день), с 08:00 до 20:00;
— 9 мая 2026 г. – праздничный день;
— 10 мая 2026 г. – рабочий день по графику воскресенья, с 09:00 до 15:00;
— 11 мая 2026 г. – рабочий день по графику субботы, с 09:00 до 19:00;

En
878 218 Пациентов
Благодарных пациентов получили помощь в АО «Медицина»
более чем за 30-летнюю работу клиники (основана в 1990 году)
Круглосуточно. We speak English
Более 30 лет
лидеру отечественного здравоохранения*
En Записаться на приём

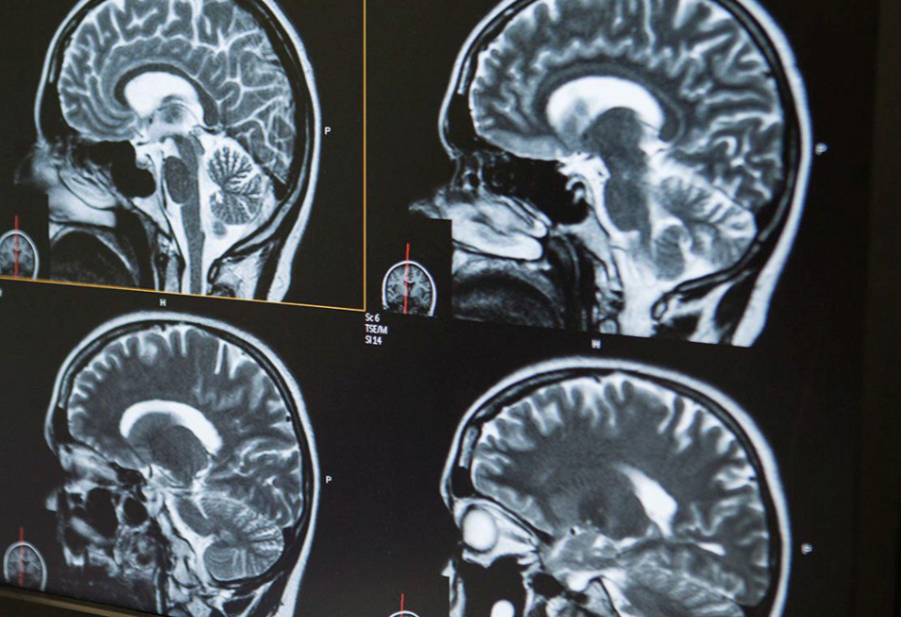
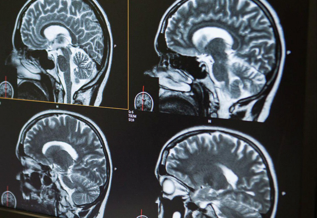
Магнитно-резонансная (МР) трактография мозга

Магнитно-резонансная трактография — это высокотехнологичный метод визуализации белого вещества, позволяющий отследить структуру и направление нервных волокон. Метод основан на диффузионно-тензорной томографии (DTI), разновидности МРТ, при которой измеряется движение молекул воды вдоль аксонов. Результатом становится трехмерная реконструкция проводящих путей, которая помогает оценить их анатомию, непрерывность и возможные повреждения.

В отличие от стандартного МРТ головного мозга, трактография отображает не только строение, но и «связи» внутри мозга, визуализируя информационные пути между его участками.

Магнитно-резонансная (МР) трактография мозга
Магнитно-резонансная (МР) трактография мозга
  • Стандарты безопасности лечения, признанные международной комиссией JCI
  • Первая частная клиника, сертифицированная Росздравнадзором
  • Премия Правительства РФ в области качества

Цель исследования

Основная цель магнитно-резонансной трактографии — показать, как в мозге организованы нейронные связи. Это позволяет оценить степень нарушения проводимости между разными отделами при инсультах, опухолях и черепно-мозговых травмах, а также эффективно планировать нейрохирургические операции с минимальным риском повреждения жизненно важных трактов.


  • icon

    Показания к МР-трактографии:

    icon
    • опухоли головного мозга (для оценки их отношения к проводящим путям);
    • последствия черепно-мозговой травмы;
    • рассеянный склероз;
    • эпилепсия;
    • подготовка к нейрохирургическим операциям;
    • когнитивные и нейродегенеративные нарушения (болезнь Альцгеймера, Паркинсона);
    • оценка мозговой активности у детей при задержке развития.
  • icon

    Подготовка к процедуре

    icon

    Специальная подготовка к МР-трактографии не требуется. Врач заранее уточняет наличие противопоказаний и проводит инструктаж. Основные рекомендации:

    • убрать все металлические предметы (украшения, слуховые аппараты и пр.);
    • сообщить врачу о наличии имплантов или хронических заболеваний;
    • при склонности к тревожности — обсудить возможность предварительного приема седативных препаратов;
    • в день процедуры не употреблять алкоголь или тонизирующие напитки.

    Если обследуют ребенка, то может потребоваться кратковременное медикаментозноя седация, особенно если невозможно обеспечить неподвижность во время сканирования.

  • icon

    Противопоказания

    icon

    Противопоказания аналогичны ограничениям для стандартной магнитно-резонансной томографии:

    • наличие кардиостимуляторов, металлических имплантов;
    • клаустрофобия (в некоторых случаях решается седацией);
    • беременность (относительное противопоказание);
    • острые психические расстройства или невозможность сохранять неподвижность.
Информация проверена экспертом
Информация
проверена экспертом
doctor
Врач-рентгенолог МРТ Стаж 12 лет
Результаты МР-трактографии: расшифровка

Как проходит

  • Процедура проходит в МРТ-кабинете на аппарате мощностью не менее 1,5 Тесла (в идеале — 3 Тесла). Пациент размещается в аппарате, как при обычном МРТ головного мозга. Исследование занимает 30–45 минут, все это время важно лежать неподвижно.
  • Для трактографии используются специальные последовательности, позволяющие зафиксировать направление диффузии молекул воды в ткани мозга. Изображения обрабатываются на отдельной рабочей станции, где врач-радиолог строит карту трактов, оценивает их симметрию, непрерывность и целостность.

Используем самое современное оборудование для проведения МРТ - SIEMENS MAGNETOM Skyra - 3 Тесла (64 среза, 48 каналов)

Его основные отличия от аналогичных аппаратов предыдущих поколений заключаются в следующем:
  • icon

    Максимально четкое изображение

    Технические возможности 3 Тесла позволяют исследовать наиболее глубокие слои тканей и органов без потери точности и создавать четкое, информативное изображение.

  • icon

    Высокоточная детализация

    64-срезовая технология сегодня является революционной, так как обеспечивает высокоточную детализацию изображений и позволяет регистрировать даже мельчайшие признаки патологии, что дает возможность диагностировать онкологические заболевания на самых ранних стадиях!

  • icon

    Подходит для самых маленьких пациентов

    Мощность аппарата позволяет получить высококачественное изображение за более короткое время, что облегчает процедуры МРТ для детей; поэтому если вы решили записаться на прием с ребенком в АО «Медицина» (клиника академика Ройтберга), то сделали правильный выбор.

  • icon

    Никаких ограничений

    Наш аппарат оборудован столом с высокой грузоподъемностью, благодаря чему мы можем проводить процедуру для пациентов с большим весом (до 250 кг*).
    * Рабочая грузоподъемность стола - 250 кг, но решение о назначении процедуры принимается врачом, исходя из наличия апертуры аппарата 70 см.

  • icon

    Технология Tim 4G

    Это уникальная разработка компании SIEMENS, которая изменила МРТ. Благодаря ей пропала необходимость в смене позы у пациента при исследовании нескольких областей тела, а также стала возможной высокоточная визуализация процессов в реальном времени.

  • icon

    Точный и объективный результат

    Вышеперечисленные особенности позволяют максимально точно создавать компьютерную модель тканей мозга, отображающую нарушения структуры и позволяющую ставить правильный диагноз на основе объективных данных. Если вам необходим предельно точный и объективный результат, то его обеспечит обследование в АО «Медицина» (клиника академика Ройтберга).

Результаты МР-трактографии: расшифровка

Итогом исследования является визуализация нейронных трактов в виде цветных карт или трехмерных моделей. Каждый цвет на изображении соответствует направлению прохождения волокон: продольно, поперечно или сагиттально. Врач оценивает:

  • анатомию трактов (их форму, симметрию, расположение);
  • целостность и непрерывность проводящих путей;
  • наличие патологий: деформаций, смещения, прерывания, атрофии;
  • степень вовлечения трактов в патологический процесс (например, сдавление опухолью).

Заключение содержит не только визуальные данные, но и текстовую интерпретацию, которая передается лечащему врачу — неврологу, нейрохирургу или психиатру.

Врач принимает решение о дальнейшем ведении пациента на основе этих данных.


В АО «Медицина» (клиника академика Ройтберга) в Москве вы можете пройти магнитно-резонансную трактографию на оборудовании экспертного уровня. Запишитесь на прием — и получите полную картину состояния вашего головного мозга.

+7 (495) 775 - 73- 60

Второе мнение в клинике академика Ройтберга АО «Медицина»

Экспертное заключение по результатам МРТ головного мозга, выполненного в другой клинике

form
ВАЖНО
Информацию из данного раздела нельзя использовать для самодиагностики и самолечения. В случае боли или иного обострения заболевания диагностические исследования должен назначать только лечащий врач. Для постановки диагноза и правильного назначения лечения следует обращаться к Вашему лечащему врачу. Для корректной оценки результатов ваших анализов в динамике предпочтительно делать исследования в одной и той же лаборатории, так как в разных лабораториях для выполнения одноименных анализов могут применяться разные методы исследования и единицы измерения.

Наши врачи

Врач рентгенолог, член European Society of Radiology
Романов
Роман Владимирович
Стаж 24 года
Рентген
Врач-рентгенолог высшей категории, European society of radiology
Бушов
Игорь Викторович
Стаж 42 года
Рентген
Врач-рентгенолог МРТ
Никогосян
Михаил Ашотович
Стаж 12 лет
Врач-рентгенолог МРТ

Список используемой литературы

1.    Mori S., Zhang J. Principles of Diffusion Tensor Imaging and Its Applications to Basic Neuroscience Research. Neuron, 2006.

2.    Mukherjee P. Diffusion Tensor Imaging and Fiber Tractography in Acute Stroke. Neuroimaging Clinics of North America, 2011.

3.    Le Bihan D. Looking into the functional architecture of the brain with diffusion MRI. Nature Reviews Neuroscience, 2003.

4.    Tournier J.D., Mori S., Leemans A. Diffusion tensor imaging and beyond. Magnetic Resonance in Medicine, 2011.

5.    UpToDate Clinical Database: Diffusion Tensor Imaging and Tractography – Clinical Applications and Interpretation, 2024.

6.    Практическое руководство по нейровизуализации. Под ред. А.Н. Коновалова. — М.: ГЭОТАР-Медиа, 2023.

Лицензии
Лицензия на осуществление медицинской деятельности № Л041-00110-77/00363409 Срок действия: бессрочная
Ваш браузер устарел рекомендуем обновить его до последней версии
или использовать другой более современный.