Ортопедическое лечение разрушенных зубов
Разбор клинического случая, представленного
Кулясовым Григорием Валерьевичем,
врачом-стоматологом-ортопедом АО «Медицина» (клиника академика Ройтберга), членом Международной ассоциации междисциплинарной стоматологии (IAAID).
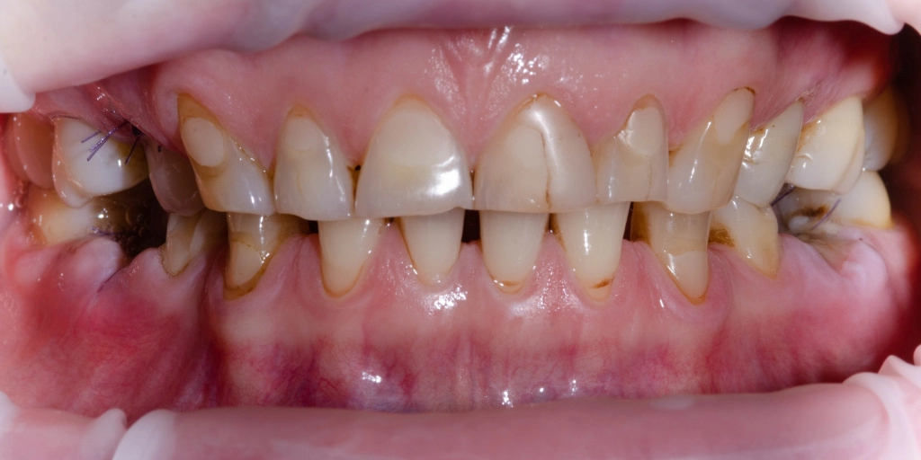
Женщина. 52 года.
Обратилась с жалобами на разрушение зубов 3.6, 4.6, дефекты и дисколорит ранее наложенных пломб. В анамнезе врожденная адентия 1.5, 2.5, 3.5, 4.5
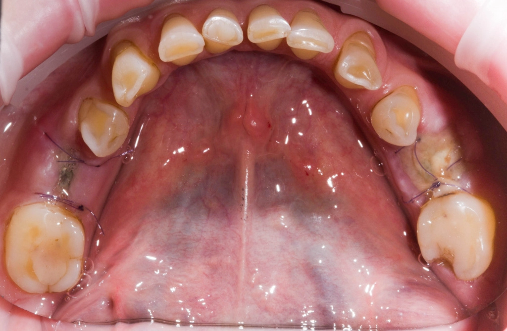
Удалены корни 3.6, 4.6, с одномоментной установкой имплантатов 3.6, 4.6 и забором соединительно-тканного трансплантата с небной поверхности в области 1.6.
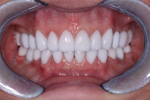
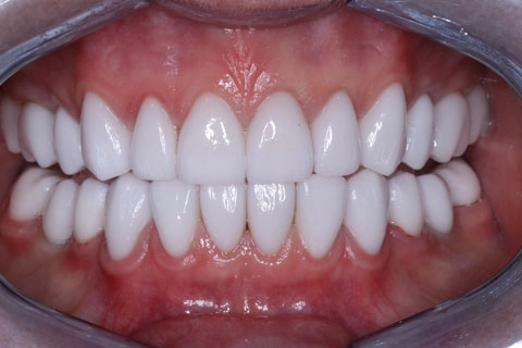
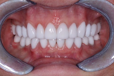
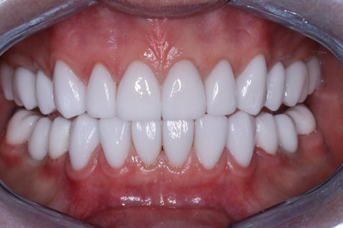
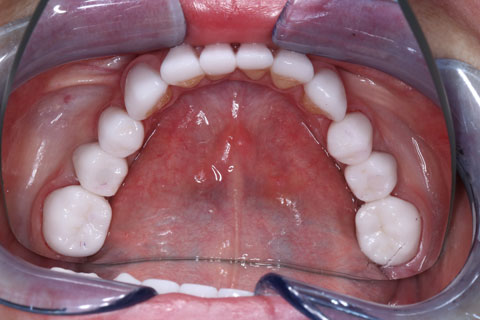
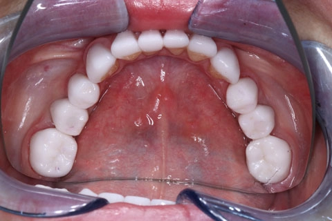
Проведена ортопедическая реабилитация.
Фронтальная группа зубов верхней и нижней челюстей – установлены виниры из литий дисиликата.
Жевательная группа – восстановлена коронками из диоксида циркония, в том числе 3.6, 4.6 – коронки на имплантатах.



Проведена ортопедическая реабилитация.
Фронтальная группа зубов верхней и нижней челюстей – установлены виниры.
Жевательная группа – восстановлена коронками из диоксида циркония, в том числе 3.5, 4.5 – коронки на имплантатах.



