Химиолучевая терапия при немелкоклеточном раке легкого
Врач-онколог, член РУССКО и Российского общества онкомаммологов
Пациент С., 58 лет.
· Манифест заболевания в декабре 2016 г. с повышения температуры до 38°C, кашля, одышки при средней физической нагрузке.
· В течение 3 недель лечился самостоятельно.
· В январе 2017 г. обратился к терапевту – выполнена рентгенография органов грудной клетки. Подозрение на центральный рак правого легкого.
· Стаж курения пациента 28 пачка/лет.
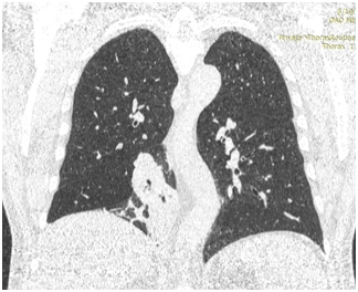
КТ ОГП 06.01.2017. КТ-картина внутрипросветного патологического мягкой плотности компонента (центральный рак?) в промежуточном бронхе правого легкого с ателектазом нижней доли. Лимфаденопатия правого корня, количественная лимфаденопатия средостения.

Бронхоскопия 11.01.2017.
Центральный рак правого легкого.
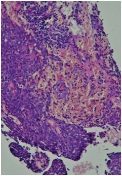
Гистологическое заключение. Высокодифференцированная плоскоклеточная карцинома с ороговением (G1) на всю толщину фрагментов.

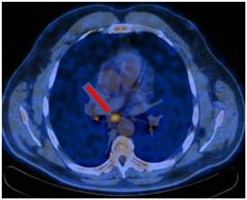
ПЭТ-КТ от 12.01.2017. В правом легком определяется мягкотканое образование метаболическим размером 30×24 мм с кальцинатом в структуре SUVmax=21,36, перекрывающий просвет промежуточного бронха справа сразу за уровнем ответвления среднедолевого бронха с формированием картины «культи бронха» – в бифуркационном лимфатическом узле до 20 мм SUVmax=4,77.

Стадирование. T1bN2M0 StIIIa.
Варианты лечения
Онкологический консилиум 13.01.2017.
Рекомендована химиолучевая терапия: на основной процесс в правом легком, лимфоузлы средостения до СОД 66Гр за 33 фракции на фоне еженедельного введения химиотерапии: Паклитаксел 50 мг/м2 + Карбоплатин 2 AUC.
Данный вариант лечения выбран в связи с предполагаемой низкой чувствительности опухоли при морфологической дифференцировке G1 к индукционной химиотерапии и в связи с тем, что вариантом хирургического лечения могла быть только пульмонэктомия из-за расположения опухоли.
18.01.2017 – 03.03.2017. Радикальный курс лучевой терапии на первичный очаг в правом легком и зоны регионарного лимфоотока (ПЭТ – позитивные лимфоузлы средостения) в разовой дозе 2Гр до суммарной дозы 66 Гр за 33 фракции. Продолжительность лечения 6 недель. Выполнено 6 введений Паклитаксел 50 мг/м2 + Карбоплатин 2 AUC еженедельно.
Переносимость лечения относительно удовлетворительная. С 3-й недели добавлены КСФ.

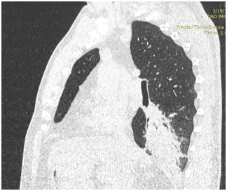
КТ ОГК от 28.03.2017. По сравнению с предыдущим КТ от 06.01.2017 отмечается выраженная положительная динамика изменений за счет отсутствия образования в просвете промежуточного и нижнедолевого бронхов справа, отсутствия ателектаза нижней доли, а также умеренного уменьшения в количестве и размерах лимфатических узлов средостения и корня правого легкого.

ПЭТ/КТ от 31.05.2017. Отмечается положительная динамика в виде нивелирования центрально расположенного образования нижней доли правого легкого и медиастинального лимфоузла. Постлучевой фиброз, ателектаз нижней доли правого легкого. Умеренно выраженный правосторонний гидроторакс. Повышение метаболизма в кардиальном отделе пищевода – постлучевой воспалительный процесс.
Клинически: умеренные боли при проглатывании твёрдой пищи, одышка при физической нагрузке, сухой кашель.
Проведено противовоспалительное лечение, назначена щадящая диета.
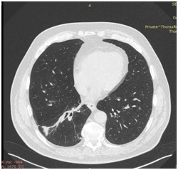
ПЭТ/КТ 04.08.2017. На момент исследования по данным ПЭТ/КТ с 18F-ФДГ признаков патологического метаболически активного процесса, обусловленного основным заболеванием не выявлено.
Постлучевой фиброз, ателектаз нижней доли правого легкого.
Умеренно выраженный правосторонний гидроторакс (увеличение в динамике).
Метаболически активного процесса в кардиальном отделе пищевода на момент исследования не выявлено.



Выводы.
Таким образом, пациенту с центральным немелкоклеточным раком правого лёгкого IIIа стадии проведена радикальная химиолучевая терапия с полным регрессом опухоли.
Срок наблюдения после окончания терапии составил 9 месяцев: безрецидивное течение.
Клинически: состояние пациента удовлетворительное, признаков дыхательной недостаточности нет, явления постлучевого эзофагита купированы.