Латерализация и постеориоризация нижнечелюстного нерва

Пациентка C. 48 лет.
Жалобы. При первичном обращении в стоматологическое отделение клиники АО «Медицина» в июне 2018 г. – жалобы на отсутствие зубов.

Анамнез заболевания.
Соматической патологии нет.
Ранее протезировалась съемными протезами.
При осмотре.
Конфигурация лица не изменена.
Кожные покровы в области жевательных мышц и суставов чистые, нормальной окраски.
Открывание рта свободное, симметричное, без посторонних шумов со стороны ВНЧС.
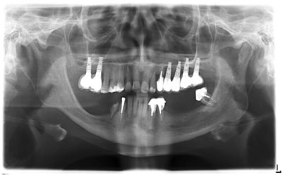
В полости рта:
17, 16, 24, 25, 26, 27 – дентальные имплантаты, покрытые коронками;
37, 36, 35, 45, 46, 47 – отсутствуют;
металлокерамические мостовидные протезы с опорой на 34-33, 43-44 (патологическая подвижность III степени, герметизм нарушен);
23 – под металлокерамической коронкой;
на нижней челюсти – бюгельный протез.

Проведенное лечение.
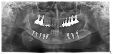
По согласованию с пациенткой проведено удаление 33, 34, 38, 43, 44 зубов, а также произведены трапециевидные разрезы слизистой оболочки альвеолярного отростка в области 35-47 и 45-47.
Отслоены слизисто-надкостничные лоскуты.
С помощью Пьезотома проведена операция латерализации и постеориоризации нижнечелюстного нерва в области 35-37 и 45-47.
С помощью боров и костных конденсоров XiVE сформированы 7 лож имплантатов. Введены имплантаты XiVE в области 35, 36, 37 – D3,4/L13; 45, 46, 47 – D3,4/L9,5; 44 – D3,8/L9,5; 43 – D3,8/L11.
Костной крошкой заполнены дефекты в пришеечных областях имплантатов, уложен BIO OSS.
Сверху, перекрывая гребень, установлены барьерные мембраны Bio-Gide и фиксированы 6-ю мембранными гвоздями.
Мобилизован лоскут. Наложены швы профимед. Аппликация Solcoseril Dental

Заключение.
Швы сняты на 7-й день. Чувствительность не нарушена.
В настоящий момент пациентка находится на динамическом наблюдении.
Планируется раскрытие имплантатов и протезирование на имплантатах в сроки, согласно клиническим протоколам.