Лечение стенозирующего атеросклероза коронарных артерий и выполнение правосторонней нефрэктомии в рамках одной госпитализации
Разбор клинического случая, представленного Соколовым Денисом Владимировичем, к.м.н, врачом-кардиологом АО «Медицина» (клиника академика Ройтберга)
Пациентка Р. 73 года.
Жалобы
Жалобы на периодические боли в области сердца сжимающего характера, длящиеся до 10-15 минут, без иррадиации, без связи с физической нагрузкой. Нитропрепаратами не пользуется.
Анамнез заболевания
Наблюдается в клинике АО «Медицина» с 2000 года. В анамнезе гипертоническая болезнь с максимальными цифрами АД до 160/100 мм рт. ст. Эпизодически беспокоили боли в области сердца сжимающего характера, длящиеся до 10-15 минут, без иррадиации и без связи с физической нагрузкой (нитропрепаратами не пользовалась). Указаний на перенесенные инфаркты миокарда, острое нарушение мозгового кровообращения нет. Ранее принимала конкор – 2,5 мг утром, тромбоасс – 100 мг вечером, торвакард – 10 мг на ночь.
Более 20 лет наблюдается и лечится по поводу хронического пиелонефрита.
Перенесенные травмы и операции, хронические заболевания
В 1989 году – автомобильная политравма с повреждением грудной клетки, костей черепа, лица (оперирована).
Хроническая обструктивная болезнь легких.
Хронический пиелонефрит, кисты обеих почек.
Ревматоидный артрит, полиартрит серонегативный, вторичный коксартроз с явлениями асептического некроза головки левой бедренной кости.
Язвенная болезнь 12-перстной кишки, стойкая ремиссия.
Трудовой анамнез: художественный руководитель, профессиональные вредности отрицает.
Курение: в настоящее время не курит, ранее длительный стаж курения.
Результаты обследований в поликлинике «Медицина»
Клинический анализ крови от 06.08.2011 – нормохромная анемия легкой степени.
Клинический анализ мочи от 06.08.2011 – без существенных отклонений.
Б/х исследования крови от 06.08.2011: дислипидемия II А типа (уровень ЛНП 3,8 ммоль/л, уровень ЛВП 1,4 ммоль/л), повышение уровня мочевины до 8,7 ммоль/л, креатинина до 121 ммоль/л (скорость клубочковой фильтрации по CKD-EPI 38,2 мл/мин/1,73 м2), снижение уровня ионизированного кальция до 1,37 ммоль/л.
ЭКГ от 19.07.2011 – синусовый ритм, нормосистолия, отклонение электрической оси сердца влево.
Эхокардиография от 19.07.2011 – склеротические изменения аорты, аортального клапана с формированием невыраженного аортального стеноза и аортальной недостаточности, толщина стенок и размеры камер сердца в норме, диастолическая дисфункция левого желудочка.
Суточное мониторирование ЭКГ от 22.07.2011 – одиночная наджелудочковая и желудочковая экстрасистолия, на фоне стойкой горизонтальной депрессии ST-T на 2 канале от -0,3 до -0,9 мм отмечены 2 эпизода увеличения депрессии до -1,2-1,9 мм в 21:42 и 12:05, продолжительностью 20-30 мин., без клинических проявлений и связи с физической нагрузкой.
МСКТ коронарных артерий от 08.2010
Ствол ЛКА широкий, имеет ровные контуры, не стенозирован. ПНА в проксимальном сегмента имеет неровные контуры за счет кальцинированных и частично кальцинированных бляшек, просвет артерии на этом уровне сужен до 30-50%, в среднем сегменте определяется ряд пристеночных и циркулярных мягких бляшек, со стенозом артерии до 60-75%, дистальные отделы артерии малого калибра, плохо заполняются контрастным веществом. ОА нормального диаметра, заполняется контрастным веществом без признаков гемодинамически значимого стеноза. ПКА нормального диаметра, в проксимальном сегменте имеются смешанные частично кальцинированные бляшки, стенозирующие просвет до 30%, в среднем сегменте визуализируется пристеночная смешанная бляшка, стенозирующая просвет до 50-70%, дистальный сегмент не изменен. Правый тип коронарного кровоснабжения.
Трехмерная реконструкция
Онкологический поиск
28.06.2011 впервые по данным КТ органов мочеполовой системы с в/в контрастированием выявлена КТ-картина опухолевого образования правой почки, с признаками распространения на паранефральную клетчатку и фасцию Герота. Неполное удвоение правой почки. Кисты обеих почек. Гемангиома тела L4.
КТ органов брюшной полости от 06.08.2011 – КТ-картина кисты левой доли печени. КТ-данных о вторичном поражении органов брюшной полости не получено.
МРТ малого таза от 08.08.2011 – МР-признаки инволютивных изменений органов малого таза с участками обызвествления в проекции левого яичника. Достоверных данных о наличии объемного образования полости малого таза на момент исследования не выявлено.
УЗИ молочных желез, маммография от 06.08.2011 – фиброзно-кистозная инволюция молочных желез.
КТ органов грудной клетки от 04.08.2011 – КТ-признаки ХОБЛ. Диффузный пневмосклероз. Интерстициальные и очаговые изменения в обоих легких дифференцировать между явлениями пневмосклероза и вторичным поражением (учитывая основной диагноз).
Тактика дальнейшего ведения пациентки
У пациентки абсолютные показания к проведению оперативного вмешательства по поводу рака правой почки, однако риск операции в условиях стенозирующего атеросклероза коронарных артерий крайне велик.
Вместе с тем, проведение селективной коронарной ангиографии с последующей ангиопластикой и установкой стентов, выделяющих лекарственное покрытие, требовало бы длительного приема двойной антиагрегантной терапии (плавикс, ацетилсалициловая кислота), что увеличит риск геморрагических осложнений в условиях предстоящей урологической операции и в послеоперационном периоде.
Консилиум от 12.08.2011
У больной имеется несколько конкурирующих заболеваний:
1. Определяющим прогноз жизни является опухоль правой почки. Неясными остаются нечеткие изменения в обоих легких, больше справа. Размер образований не превышает 5-6 мм; их расположение, наличие кальцинатов и участков уплотнения на предыдущих КТ заставляет сомневаться в метастазах рака почки.
У больной частые обострения хронической обструктивной болезни легких, поэтому их необходимо дифференцировать с участками фиброза. При этом необходимо учесть, что даже наличие метастазов минимальных размеров не освобождает от необходимости проведения операции на правой почке.
2. Отягощающим фактором является ИБС со стенозированием коронарных артерий, обнаруженным по данным МСКТ коронарных артерий. С учетом того, что при проведении Холтеровского мониторирования ЭКГ имеется стресс-индуцированная ишемия миокарда, то в ближайшее время показано проведение селективной коронарной ангиографии. При необходимости будут установлены стенты без лекарственного покрытия с последующей антикоагулянтной терапией гепарином и отменой данного препарата в минимальные сроки перед очередным оперативным вмешательством. Выбор данного вида стентов обусловлен возможностью проведения менее интенсивного режима антиагрегантной терапии в условиях предстоящей операции нефрэктомии, а также в послеоперационном периоде.
Стационарный этап лечения
Пациентка была госпитализирована в стационар клиники «Медицина» 18.08.2011.
18.08.2011 выполнена селективная коронарная ангиография.
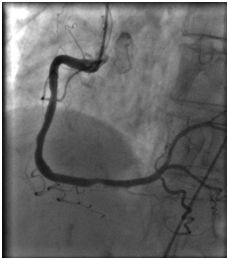
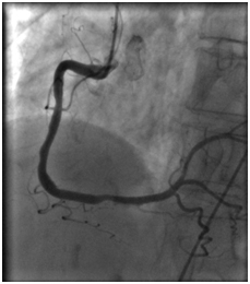
В процессе процедуры выявлено: ствол левой коронарной артерии обычно расположен. Передняя нисходящая артерия – в средней трети стеноз 80%.
Огибающая коронарная артерия без признаков стенозирующего атеросклероза.
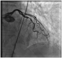
Правая коронарная артерия – в средней трети стеноз 70%. Правый тип коронарного кровообращения.
Передняя межжелудочковая артерия
Правая коронарная артерия

Ангиопластика и стентирование коронарных артерий
18.08.2011 интервенционным кардиохирургом в область стеноза проксимальной трети передней межжелудочковой артерии проведен баллонный катетер со стентом «Мульти-линк 8» размерами 3×12 мм, произведена имплантация.
В дистальную часть правой коронарной артерии проведен проводник 0,014". В область стеноза проведен баллонный катетер со стентом «Мульти-линк 8» размерами 3×12 мм, произведена имплантация.
На контрольных ангиограммах получен хороший кровоток
В послеоперационном периоде проводилась непрерывная инфузия гепарина под контролем АЧТВ с последующей заменой на подкожное введение клексана в лечебных дозировках с последующей отменой за 12 часов до следующего оперативного лечения.
С учетом полной реваскуляризации коронарных артерий пациентка подготовлена к плановой нефрэктомии справа, для дальнейшей курации передана врачу-урологу.
Хирургический этап госпитализации
22.08.2011 в рамках основной госпитализации в стационаре клиники «Медицина» пациентке выполнена лапароскопическая радикальная нефрэктомия справа.
Послеоперационный период протекал без осложнений, в раннем периоде проводилась антикоагулянтная терапия клексаном с целью профилактики тромбоэмболических осложнений; продолжены кардиотропные препараты; назначена стандартная антибактериальная терапия.
На вторые сутки после оперативного лечения начата двойная антитромбоцитарная терапия, включающая клопидогрель в дозе 75 мг в сутки, ацетилсалициловую кислоту в дозе 100 мг в сутки.
На фоне комплексной терапии пациентка активизирована, послеоперационная рана зажила первичным натяжением; ухудшения течения ишемической болезни сердца не отмечено.
Пациентка выписана из стационара в стабильном состоянии 07.09.2011.
Рекомендации при выписке:
Бисопролол 2,5 мг по 1 табл. утром.
Амлодипин 5 мг по ½ табл. вечером.
Клопидогрель 75 мг по 1 табл. утром.
Ацетилсалициловая кислота100 мг по 1 табл. вечером.
Аторвастатин 20 мг вечером.
Рабепразол 20 мг по 1 табл. утром.
Клинический диагноз
Ишемическая болезнь сердца. Стенокардия напряжения II функционального класса. Атеросклероз коронарных артерий. Ангиопластика и стентирование передней нисходящей артерии стентом без лекарственного покрытия «Мульти-линк 8» размерами 3×12 мм. Ангиопластика и стентирование правой коронарной артерии стентом без лекарственного покрытия «Мульти-линк 8» размерами 3×12 мм от 18.08.2011.
Гипертоническая болезнь III стадии. Артериальная гипертензия II степени. Дислипидемия II А типа. Риск ССО 4.
Гипертоническая нефропатия. Хроническая болезнь почек 3 Б стадия (скорость клубочковой фильтрации по CKD-EPI 38,2 мл/мин/1,73 м2).
Нарушение ритма сердца: желудочковая и наджелудочковая экстрасистолия. Недостаточность кровообращения I стадии.
Рак правой почки Т1N0M0G1. Лапароскопическая нефрэктомия справа от 22.08.2011. Хронический пиелонефрит, стадия ремиссии.
Особенности клинического случая
Особенностью тактики ведения данной пациентки стала преемственность между интервенционными методами лечения стенозирующего атеросклероза коронарных артерий и выполненной правосторонней нефрэктомии по поводу рака в рамках одной госпитализации.