Адрес
г. Москва, 2-й Тверской-Ямской переулок, дом 10, Метро «Маяковская» (5 мин. пешком)
Режим работы
График работы клиники «Медицина»
Пн-пт — с 08-00 до 21-00
Сб — с 09-00 до 19-00
Вс — с 09-00 до 15-00


Круглосуточно работают
— Стационар (круглосуточная госпитализация)
— Скорая медицинская помощь
— Магнитно-резонансная томография
— Ультразвуковая диагностика
— Рентген-радиология


График работы клиники в марте 2026 года
— 7 марта 2026 г. – рабочий день по графику субботы, с 09-00 до 19-00;
— 8 марта 2026 г. – праздничный день;
— 9 марта 2026 г. – рабочий день по графику воскресенья, с 09-00 до 15-00

En
878 218 Пациентов
Благодарных пациентов получили помощь в АО «Медицина»
более чем за 30-летнюю работу клиники (основана в 1990 году)
Круглосуточно. We speak English
Более 30 лет
лидеру отечественного здравоохранения*
En Записаться на приём

Подвижность искусственной коронки

Врач Корольков Александр Владимирович
Стоматолог-ортопед
Корольков
Александр Владимирович
Стаж 22 года
Врач-стоматолог-ортопед, член Евразийской ассоциации специалистов в области эстетической стоматологии
Записаться на прием

Королев Роман Константинович
Королев Роман Константинович (врач-Хирург)
стоматология имплантология, стоматология хирургия

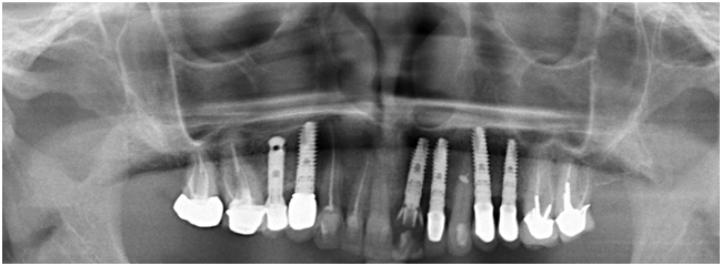
Пациентка Ш., 64 года

Жалобы на подвижность искусственной коронки, установленной около 10 лет назад в другом ЛПУ.

Объективно:

·         клиническое и рентгенологическое обследования показали, что прогноз повторного эндодонтического лечения неблагоприятный, корень восстановлению не подлежит;

·         имеются идеальные показания (отсутствие воспаления в области предполагаемого имплантата) для одномоментного удаления зуба 2.1, имплантации и немедленной нагрузки.

Зубы

План лечения.

Пациентка выбрала одномоментное замещение зуба имплантатом, отказавшись от мостовидного протеза.

С целью планирования данного лечения были проведены подготовительные этапы:

·         компьютерная томография;

·         изготовление хирургического шаблона по компьютерной томограмме.

Лечение.

В качестве опоры был выбран конический имплантат XiVe.

Зуб 2.1 удалили без отслоения слизисто-надкостничного лоскута и выполнили препарирование ложа имплантата.

Установили конический имплантат с помощью хирургического шаблона с одномоментной костной аугментацией с применением остеокондуктивного материала Bio-Oss и барьерной мембраны Bio-Gide.

Контрольный постоперационный снимок показал удовлетворительное соединение имплантата с костной тканью лунки.

Первичная стабильность имплантата позволила установить временную реставрацию (коронку) с винтовой фиксацией.

С целью минимизирования окклюзионной и боковой нагрузки на имплантат режущий край коронки оставили на 1-1,5 мм короче, чем у соседних зубов.

Постоперационный период.

·         Зубы2Первый осмотр – через 1 неделю после операции.

·         Повторные осмотры – через 1 месяц после операции, через 3 месяца.

·         Смена временной конструкции через 6 мес.

·         Постоперационное течение без особенностей.

Завершающий этап лечения.

Через 6 месяцев проведен контрольный осмотр. Вокруг временной реставрации сформирован безупречный контур десны, соответствующий естественному зубу за счет поддержки мягких тканей десны в период остеоинтеграции имплантата.

Десневой сосочек и краевая десна без признаков воспаления.

Сделан слепок для изготовления постоянной ортопедической конструкции.

Через 1 неделю зафиксировали постоянную коронку на имплантат.

Через 2 года.

Клинически и рентгенологически имплантат остается стабильным. Ортопедическая реставрация состоятельной.

Контент


(Голосов: 3, Рейтинг: 2)
Лицензии
Лицензия на осуществление медицинской деятельности № Л041-00110-77/00363409 Срок действия: бессрочная
Ваш браузер устарел рекомендуем обновить его до последней версии
или использовать другой более современный.