Адрес
г. Москва, 2-й Тверской-Ямской переулок, дом 10, Метро «Маяковская» (5 мин. пешком)
Режим работы
График работы клиники «Медицина»
Пн-пт — с 08-00 до 21-00
Сб — с 09-00 до 19-00
Вс — с 09-00 до 15-00


Круглосуточно работают
— Стационар (круглосуточная госпитализация)
— Скорая медицинская помощь
— Магнитно-резонансная томография
— Ультразвуковая диагностика
— Рентген-радиология


График работы клиники в марте 2026 года
— 7 марта 2026 г. – рабочий день по графику субботы, с 09-00 до 19-00;
— 8 марта 2026 г. – праздничный день;
— 9 марта 2026 г. – рабочий день по графику воскресенья, с 09-00 до 15-00

En
878 218 Пациентов
Благодарных пациентов получили помощь в АО «Медицина»
более чем за 30-летнюю работу клиники (основана в 1990 году)
Круглосуточно. We speak English
Более 30 лет
лидеру отечественного здравоохранения*
En Записаться на приём

Повторная эндодонтия

Врач Смолярчук Елена Георгиевна
Стоматолог-терапевт
Смолярчук
Елена Георгиевна
Стаж 37 лет
Врач стоматолог-терапевт высшей категории, член эндодонтической секции СтАР, член Международной эндодонтической федерации Европейского эндодонтического общества, член общества по изучению цвета в стоматологии
Записаться на прием

Повторная эндодонтия

Смолярчук Елена Георгиевна, врач стоматолог-терапевт высшей категории, член Эндодонтической секции СтАР, член Международной эндодонтической федерации Европейского эндодонтического общества

Пациентка И. 22 года.

Студентка.

Жалобы.

При первичном обращении в стоматологическое отделение АО «Медицина» – жалобы не предъявляла.

Цель обращения – профилактический осмотр перед ортодонтическим лечением (исправлением прикуса).

Осмотр.

Общих заболеваний нет.

Стоматологический анамнез.

Пациентка сообщила, что посещает стоматолога нерегулярно.

При этом отмечает периодические ноющие боли в области нижней челюсти справа.

Со стороны полости рта.

Индивидуальная гигиена полости рта неудовлетворительная: обильный мягкий налет в пришеечной (околодесневой) области и межзубных промежутках. Имеется кариозные полости.

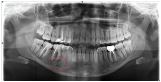
На диагностическом снимке – ортопантомограмме.

В двух жевательных зубах нижней челюсти справа и одном жевательном зубе нижней челюсти слева обнаружены околокорневые кисты. Зубы ранее депульпированы, каналы были пломбированы.

эндодонтия

Лечение.

С пациенткой согласовывалось 2 варианта лечения.

1. Провести перепломбировку каналов этих зубов с последующим восстановлением их ортопедическими коронками.

2. Удаление зубов с последующей имплантацией.

Пациентке объяснили преимущества и недостатки каждого из планов лечения, возможные риски, процент успешности перелечивания.

По согласованию с пациенткой проведено:

перелечивание каналов жевательных зубов справа;

удаление жевательного зуба слева.

Через 6 месяцев.

эндодонтия2

Жалоб со стороны пролеченных зубов нет. Пациентка проходит ортодонтическое лечение. На контрольном снимке определяется восстановление костной ткани вокруг корней жевательных зубов. Лунка удаленного зуба «готова» к проведению имплантации.

Через год.

Жалоб нет. Пациентка продолжает ортодонтическое лечение.           

эндодонтия3

На контрольном снимке:

костная ткань в области перелеченных зубов полностью восстановлена. Имплантат интегрирован («прижился»);

пациентка направлена на восстановление перелеченных зубов и имплантата коронками.

(Голосов: 4, Рейтинг: 2.25)
Лицензии
Лицензия на осуществление медицинской деятельности № Л041-00110-77/00363409 Срок действия: бессрочная
Ваш браузер устарел рекомендуем обновить его до последней версии
или использовать другой более современный.