Адрес
г. Москва, 2-й Тверской-Ямской переулок, дом 10, Метро «Маяковская» (5 мин. пешком)
Режим работы
График работы клиники «Медицина»
Пн-пт — с 08-00 до 21-00
Сб — с 09-00 до 19-00
Вс — с 09-00 до 15-00

График работы клиники в ноябре 2025 года
— 1 ноября 2025 г. – рабочий день по графику понедельника (сокращенный на 1 час рабочий день) – с 08:00 до 20:00;
— 2 ноября 2025 г. – рабочий день по графику воскресенья – с 09:00 до 15:00;
— 3 ноября 2025 г. – рабочий день по графику субботы – с 09:00 до 19:00;
— 4 ноября 2025 г. – праздничный день;
— 5 ноября 2025 г. – рабочий день по графику среды – с 08:00 до 21:00;

Круглосуточно работают
— Стационар (круглосуточная госпитализация)
— Скорая медицинская помощь
— Магнитно-резонансная томография
— Ультразвуковая диагностика
— Рентген-радиология


En
878 218 Пациентов
Благодарных пациентов получили помощь в АО «Медицина»
более чем за 30-летнюю работу клиники (основана в 1990 году)
Круглосуточно. We speak English
Более 30 лет
лидеру отечественного здравоохранения*
En Записаться на приём

Рак восходящей ободочной кишки

Пациент Н. 74 года.

Рост – 180 см.

Вес – 91 кг.

Диагноз: Рак восходящей ободочной кишки St IIIВ pT3N1(1/19)M0 G2.

Анамнез заболевания.

При плановом обследовании по поводу доброкачественной гиперплазии предстательной железы (ДГПЖ) выявлена анемия.

Дообследован:

онкомаркеры от 16.03.16 – ПСА-общий – 4,22, СА19-9 – 32, РЭА – 2,53, АФП – 1,35, SCC – 0,6;

КТ грудной клетки от 03.04.16 – без очаговой патологии;

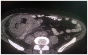
КТ брюшной полости от 21.03.16 – в слепой кишке объемное образование размерами до 98×118×108 мм, параколитическая клетчатка инфильтрирована, в окружающей клетчатке множественные лимфоузлы;

колоноскопия от 25.03.16 – опухоль слепой кишки. ГДз: хронический колит.

лабораторно гемоглобин – 76 г/л.

Консультирован онкологом, хирургом АО «Медицина» (клиника академика Ройтберга).

При объективном осмотре – состояние удовлетворительное. Кожные покровы бледные, чистые, умеренной влажности, эластичные. Периферические лимфоузлы не пальпируются. Отеков нет.

Голова-шея – щитовидная железа не увеличена.

Органы дыхания – дыхание свободное через нос. Частота дыхания – 17/мин. Грудная клетка цилиндрической формы, равномерно участвует в акте дыхания. При пальпации безболезненная. При аускультации дыхание проводится во все отделы, везикулярное, хрипов нет.

Органы кровообращения – патологической пульсации в области сердца, сосудов шеи и эпигастрия нет. При аускультации тоны сердца приглушены, ритмичные, шумов нет.

Органы пищеварения – аппетит хороший. Живот правильной формы, не вздут, участвует в акте дыхания равномерно. При пальпации мягкий. В правой половине живота в проекции слепой и восходящей ободочной кишки пальпируется плотная подвижная опухоль до 12 см в диаметре, умеренно болезненная. Печень у края реберной дуги. Край печени при пальпации острый, эластической консистенции, безболезненный.

Клинико-рентгенологически – рак слепой кишки. 

Вторичная анемия тяжелой степени тяжести.

Рекомендовано:

повторная колоноскопия;

ПЭТ-КТ;

ирригоскопия;

коррекция гематологических осложнений – переливание компонентов крови.

Планируется:

проведение консилиума специалистов онкоцентра;

госпитализация;

гемотрансфузия.

Данные лабораторно-инструментальных исследования.

Клинический анализ крови – гемоглобин 71 г/л.

Биохимический анализы крови, клинический анализ мочи без отклонений от нормы.

ЭКГ синусовый ритм, нормосистолия. Нормальное положение электрической оси сердца. Ротация сердца по часовой стрелке (SIQIII). Неспецифические изменения реполяризации миокарда левого желудочка.

Группа крови А(II) вторая Резус фактор Rh (+) положительный.

УЗДГ сосудов нижних конечностей патологии глубоких вен нижних конечностей не выявлено. Недостаточность стволовых и остиальных клапанов обеих БПВ. Варикозная трансформация притоков и основных стволов БПВ с обеих сторон. Расширение перфорантных вен с обеих сторон с признаками ретроградного кровотока.

Эндоскопия – в области в/3 восходящей ободочной кишки определяется объемное опухолевое образование, распространяющееся на область печеночного изгиба кишки, размерами 2,5-3,0×1,0×0,5-0,7 см. Произведена биопсия (3 кус), при которой отмечается выраженная фрагментация и умеренно выраженная кровоточивость. Стенозирующая опухоль в области границы н/3 восходящей ободочной и слепой кишки также при взятии биопсии (3 кус) с выраженной фрагментацией и умеренно выраженной кровоточивостью.

Заключение. Опухолевый процесс восходящей ободочной и слепой кишок.

Гистологиское исследование – изъязвленное злокачественное новообразование восходящей ободочной кишки с переходом на слепую кишку с участками полного прорастания стенок, сосудистой инвазией, метастазами в 1 лимфоузел из 19 брыжейки толстой кишки, мелкие лимфоузлы и лимфоидные фолликулы подслизистого слоя.

Выполнено ПЭТ/КТ исследование с 18F-ФДГ.

Выявлен гиперметаболический опухолевый процесс в области слепой и восходящей ободочной кишки (SUVmax 21,9), окружающая параколитическая клетчатка неравномерно инфильтрирована, с небольшим количеством жидкостного содержимого. Просвет кишки неравномерно сужен. В окружающей параколитической клетчатке, брыжейке тонкой кишки, отмечаются лимфоузлы,  размерами до 6-8 мм по КО, с умеренным накоплением РФП, SUVmax 4,3.

IMG_4389-27-09-18-09-40.JPG IMG_4389-27-09-18-09-40.JPG IMG_4389-27-09-18-09-40.JPG IMG_4389-27-09-18-09-40.JPG

Заключение консилиума в АО «Медицина» (клиника академика Ройтберга):

первым этапом пациенту показано хирургическое лечение в объеме правосторонней гемиколонэктомии;

продолжить коррекцию анемии;

удаленный материал направить на ИГХ (k-ras,n-ras);

взять анализ крови на NSE с учетом высказанного морфологами предположения о возможности нейроэндокринной опухоли.

15.04.16. Выполнена срединная лапаротомия, правосторонняя гемиколонэктомия с формированием ручного илеотрансверзоанастомоза по типу «конец в бок», дренирование брюшной полости.

Показана адъюватная химиотерапия по схеме XELOX каждый 21 день на протяжении 6 мес.

Послеоперационный период протекал гладко, дренажи удалены, рана заживает первичным натяжением. Проводилось обезболивание (КЕТОРОЛ, трамадол), гипотензивная терапия (Престанс, Физиотенз), АБ-терапия (Роцефин, метрогил), профилактика ТЭЛА (ФРАКСИПАРИН, Эластическое бинтование), инфузионная терапия (стерофундин, раствор КМА), парентеральное питание (нутрифлекс), гемотрансфузия, плазмотрансфузия.

Пациент выписан из клиники по желанию на амбулаторное наблюдение. Явка на прием к хирургу через 4 дня.

ИГХ – иммунофенотип и гистологическое строение опухоли соответствует колоректальной карциноме (G-2).

Динамическое наблюдение

Рекомендовано динамическое наблюдение у онколога с контролем через 6 месяцев:

лабораторный контроль: гемоглобин, лейкоциты, лейкоцитарная формула, тромбоциты;

общий анализ мочи;

б/х крови – глюкоза, общий белок, мочевина, креатинин, АСАТ, АЛАТ, общий билирубин, С-реактивный белок, Д-димер;

онкомаркеры СА19-9 и РЭА;

УЗИ брюшной полости, колоноскопия, ПЭТ/КТ.

При динамическом контроле через год после окончания химиотерапии (колоноскопия, ПЭТ/КТ) признаков остаточной опухоли, рецидива заболевания не выявлено.

(Голосов: 4, Рейтинг: 3.5)
Лицензии
Лицензия на осуществление медицинской деятельности № Л041-00110-77/00363409 Срок действия: бессрочная
Ваш браузер устарел рекомендуем обновить его до последней версии
или использовать другой более современный.