Трудности в диагностике заболевания "Рак легкого"
Пациентка К., 37 лет.
Пациентка наблюдается в клинике с января 1990 г.
· Основная жалоба на момент прикрепления в клинику – на интенсивные головные боли, наблюдение у терапевта и невролога.
· Из анамнеза известно, что в детстве была травма позвоночника в области шеи.
· При МРТ – признаки перелома С1 и С2 со смещением отломков, на этом уровне – признаки сужения позвоночного канала.
С 1999 по 2013 гг.
· Наблюдение у стоматолога и невролога.
· Данных по лабораторным и инструментальным исследованиям в истории болезни не представлено.
2013 г.
· Первое обращение к эндокринологу с жалобами на слабость, сухость во рту, дискомфорт в области шеи.
· При пальпации щитовидная железа не увеличена, плотноватой консистенции, неоднородная, узлы не пальпируются.
· Диагноз – «Аутоиммунный тиреоидит».
Общий анализ крови от 18.04.2013 г.
С 2013 по 2016 гг.
· По одному обращению к неврологу и терапевту по поводу выраженной головной боли.
· Проведено рентгенологическое исследование позвоночника, без динамики.
Апрель 2016 г.
Обращение к терапевту:
· Жалобы: на кашель с трудно-отделяемой прозрачной мокротой, учащенное сердцебиение, чувство не полного вдоха, слабость, потливость.
· Диагноз: острая респираторно-вирусная инфекция.
· Обследования в рамках МЭС, дополнительно – ЭКГ.
Повторный визит к терапевту
Острая респираторно-вирусная инфекция, течение?
Острый фарингит, течение?
ВСД по кардиальному типу, ухудшение?
В мае 2016 г. роды.
После родов похудела на 7 кг (при сравнении с весом до беременности). С мая 2017 г. вес не снижался. С мая 2017 г. ИМТ: 17,31 кг/м2.
Общий анализ крови (динамика).
Общий анализ мочи.
Январь 2017г.
Обращение к терапевту: жалобы на дискомфорт в верхней половине живота, снижение аппетита, сухой кашель, сердцебиение.
Диагноз:
· хронический паренхиматозный панкреатит в стадии обострения?
· ДЖВП в стадии обострения?
· нарушение ритма?
· острый трахеит (по поводу острого трахеита назначена антибактериальная терапия).
Следующее обращение: июнь 2017 г.
Жалобы на сухой кашель и герпетические высыпания на крыльях носа.
Ухудшение самочувствия в течение недели.
Диагноз: острый трахеит.
Консультация пульмонолога
Жалобы на сухой кашель, усиливающийся при разговоре, в положении лежа, при выходе в холодное помещение.
Кашель с декабря 2016 г., температура тела не повышалась.
Назначено обследование.
Функция внешнего дыхания:
· на исходной спирограмме легкое снижение ЖЕЛ. Проходимость по бронхиальному дереву не нарушена;
· после ингаляции бронхолитика (вентолин 2 дозы) ОФВ1 снизился на 3% (парадоксальная реакция);
Проба парадоксальная.
Повторная консультация пульмонолога по результатам обследования.
· С учетом снижения гемоглобина в динамике, снижения веса в динамике, длительной персистенции кашля и сохранения ускоренного СОЭ, рекомендовано провести рентгенограмму легких.
· Сформировано направление.
Рентгенография органов грудной клетки (13.06.2017 г.).
Заключение: левосторонняя верхнедолевая пневмония.
Предварительный диагноз:
Внегоспитальная бронхопневмония в верхней доле левого лёгкого – ?
Туберкулёз лёгких – ?
План дообследования:
СРБ
Диаскинтест
чувствительность составляет 85%, а специфичность – 99%.
Проба Манту
чувствительность составляет 100%, а специфичность – 75%.
T-SPOT
чувствительность составляет 100%, а специфичность – 98,8%.
Общий анализ крови, динамика.
Общий анализ мочи, динамика.
Консультация
Хронологическая связь кашлевого анамнеза и обнаружения затемнения в легких с имевшими место год назад родами может говорить о пузырном заносе – хорионэпителиома.
Требуется консультация онколога и гинеколога.
Вторым по значимости может быть эозинофильный инфильтрат, как проявление аллергии на проживающую в семье безпородную собаку, подобранную на улице 2 года назад, проходившую лечение по поводу клещей.
Необходима консультация аллерголога.
Третьей причиной кашля может быть гастробронхиальный рефлюкс с присоединением банальной пневмонии. С диагностической и лечебной целью (ex uvantibus) назначить Пантопразол или Рабепразол.
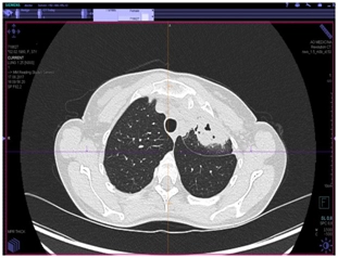
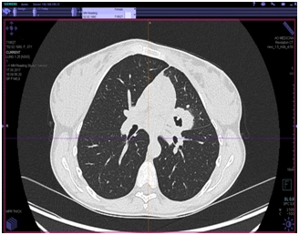
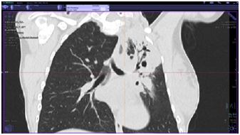
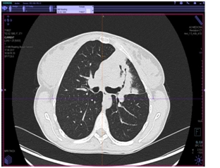
КТ органов грудной клетки (от 17.08.2017 г.)
Заключение: массивные инфильтративные изменения в верхней доле левого легкого полностью неясного генеза, возможно имеет место как воспалительный специфический характер поражения с распадом, так и осложнение пневмонии с формированием абсцесса, злокачественный процесс с распадом мало вероятен.


Дополнительно проведено исследование (26.08.2017 г.).
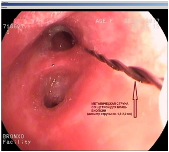
Протокол эндоскопического исследования (от 29.08.2017 г.).
Заключение: патологических изменений трахеобронхиального дерева, доступных диаметру аппарата, на момент осмотра не выявлено.

Контрольная рентгенография легких после проведенной бронхоскопии (от 29.08.2017 г.).
Заключение: левосторонний напряженный пневмоторакс.
С-реактивный белок (мг/л).
Цитологическое исследование.
Щеточная биопсия из левого верхнедолевого бронха. В исследованном материале на фоне эритроцитов, множества разрушенных клеточных элементов и большого количества полисегментоядерных гранулоцитов и альвеолярных макрофагов обнаружены отдельно расположенные и в небольших скоплениях цилиндрические клетки бронхиального эпителия с признаками пролиферации и выраженными реактивными изменениями; отмечается плоскоклеточная метаплазия. Цитограмма выраженного неспецифического воспаления.



«Центральный научно-исследовательский институт туберкулеза»
Диагноз при поступлении: Конгломератная туберкулема верхней доли левого легкого фазе распада, МБТ(-).
Окончательный диагноз:
Рак верхней доли левого легкого.
Состояние после верхней лобэктомии левого легкого 18.10.2017 г.