Адрес
г. Москва, 2-й Тверской-Ямской переулок, дом 10, Метро «Маяковская» (5 мин. пешком)
Режим работы
График работы клиники «Медицина»
Пн-пт — с 08-00 до 21-00
Сб — с 09-00 до 19-00
Вс — с 09-00 до 15-00


Круглосуточно работают
— Стационар (круглосуточная госпитализация)
— Скорая медицинская помощь
— Магнитно-резонансная томография
— Ультразвуковая диагностика
— Рентген-радиология


График работы в выходные и предпраздничные дни
— 8 мая 2026 г. – рабочий день по графику пятницы (сокращенный на 1 час рабочий день), с 08:00 до 20:00;
— 9 мая 2026 г. – праздничный день;
— 10 мая 2026 г. – рабочий день по графику воскресенья, с 09:00 до 15:00;
— 11 мая 2026 г. – рабочий день по графику субботы, с 09:00 до 19:00;

En
878 218 Пациентов
Благодарных пациентов получили помощь в АО «Медицина»
более чем за 30-летнюю работу клиники (основана в 1990 году)
Круглосуточно. We speak English
Более 30 лет
лидеру отечественного здравоохранения*
En Записаться на приём

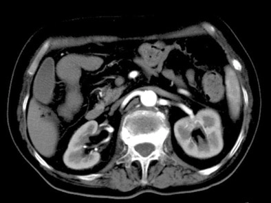
КТ почек с контрастом

Одним из наиболее информативных диагностических методов при урологических заболеваниях является КТ почек с контрастированием. Исследование, как правило, назначают в тех случаях, когда другие инструментальные методы (УЗИ, рентген) не позволяют уверено установить причины заболевания, степень поражения тканей и другие важные подробности. Современная компьютерная томография позволяет создавать на основе данных, поступающих от датчиков томографа, трехмерную модель почек пациента со всеми присущими этим органам патологиями и индивидуальными особенностями строения. На ее основании рентгенолог формирует заключение о наличии объективных признаков заболевания, которое позволяет урологу или нефрологу разработать эффективную схему лечения.

КТ почек с контрастом
  • Стандарты безопасности лечения, признанные международной комиссией JCI
  • Первая частная клиника, сертифицированная Росздравнадзором
  • Премия Правительства РФ в области качества

Компьютерная томография почек с контрастом на уникальном оборудовании последнего поколения для точной постановки диагноза

Единственный в Москве компьютерный томограф Revolution CT (GE), 512 срезов
  • icon

    Сканирование за 1 секунду

    КТ-сканер выполняет 512 послойных изображений с шагом 1 мм и совершает 5 оборотов в секунду. Это позволяет получать точные снимки движущихся органов и проводить обследование без седации.

  • icon

    Изображение в 3D

    Пространственное и временное разрешение сделало возможным быстрое построение 3D модели почек. Это обеспечивает высокую диагностическую ценность исследования.

  • icon

    Высокая информативность

    3D изображение дополняет спектральная визуализация для определения состава тканей. КТ-диагностика дает полную картину состояния почек при наличии новообразований или конкрементов.

  • icon

    Сниженная лучевая нагрузка

    При обследовании на КТ-сканере Revolution CT уровень излучения в 4 раза ниже, чем в томографе предыдущего поколения. Лучевая нагрузка сопоставима с 10 часовым перелетом на самолете. Исследование безопасно даже для детей.

  • icon

    Комфортное исследование

    Уменьшение уровня акустического шума на 50%, высокая скорость сканирования и открытая конструкция томографа Revolution CT снижают стресс во время исследования. Как правило, пациентам не требуется сохранять неподвижность или надолго задерживать дыхание.

  • icon

    Результат в течение 2 часов

    Сразу после завершения сканирования команда врачей-рентгенологов начинает готовить описание и заключение. Одно исследование даёт комплекс данных, которые потребуются для постановки точного диагноза и подбора эффективного лечения.

О процедуре

КТ почек с контрастом выполняется по следующей схеме.


Пациент ложится на выдвижной стол томографа и принимает удобную позу при помощи подушек и валиков.

Стол задвигается в тоннель, после чего врач выполняет нативное сканирование без контрастного вещества, необходимое для контроля результата.

По окончании первого этапа стол выдвигается, после чего медсестра устанавливает пациенту катетер в бедренную или локтевую вену.

Через катетер при помощи специального инжектора в организм пациента поступает контрастный раствор. Рентгенолог в течение пары минут ведет наблюдение за состоянием пациента, чтобы убедиться в отсутствии побочных эффектов.

Стол снова задвигается в тоннель, начинается сканирование с контрастным веществом. Датчики, вращающиеся вокруг человека по спирали, снимают сигналы и передают их на компьютер, который формирует 3D изображение почек пациента.

Периодически рентгенолог просит больного сделать вдох или немного изменить положение тела, чтобы получить более отчетливое изображение.

По окончании сканирования вращение отключается, стол выдвигается из тоннеля.

  • icon

    Показания

    icon

    Из-за достаточно высокой стоимости КТ почки с контрастом назначают, как правило, в случаях, когда данные для точного диагноза невозможно получить другими способами. Исследование проводят только при диагностировании серьезных заболеваний:

    • злокачественных опухолей и метастазов из других органов;
    • инфекций, приводящих к развитию воспалительного процесса;
    • серьезных травм и повреждений одной или обеих почек;
    • мочекаменной болезни, гидронефроза;
    • сосудистых нарушений;
    • врожденных аномалий строения и патологических изменений структуры тканей;
    • доброкачественных новообразований, препятствующих работе почек.

    Кроме того, исследование может проводиться, если необходимо отслеживать изменения в ходе лечения или послеоперационного восстановления органа.

  • icon

    Противопоказания

    icon

    Исследование не проводят пациентам:

    • во время беременности на любом сроке;
    • при аллергии на рентгеноконтрастное вещество;
    • при выраженной почечной недостаточности;
    • с декомпенсированным сахарным диабетом и другими эндокринными заболеваниями;
    • с миеломой.

Преимущества клиники

Обращайтесь в АО «Медицина», если возникает необходимость проведения КТ почек с контрастом в Москве. В пользу клиники говорят неопровержимые аргументы:

  • 1

    Наличие современных мультиспиральных томографов, обеспечивающих высокую точность исследования и минимальную радиационную нагрузку на организм;

  • 2

    Высокая квалификация и многолетний опыт рентгенологов-диагностов, которые уверенно справляются с наиболее сложными диагностическими задачами;

  • 3

    Оказание медицинских услуг в соответствии с «золотым стандартом» мировой медицины, что подтверждается неоднократной аккредитацией Joint Commission International;

  • 4

    Наличие наград от Правительства РФ и ряда международных организаций;

  • 5

    Доступная цена КТ почек с контрастом и других видов компьютерной томографии.

Подготовка к процедуре

Как правило, о правилах подготовки к КТ почек с контрастом пациенту рассказывает рентгенолог во время предварительной консультации.

  • За 4-5 дней рекомендуется исключить из рациона продукты, которые провоцируют активное газообразование – жирную пищу, жареное мясо, выпечку и т. д.
  • В это же время желательно сделать аллергопробу на контрастные препараты, чтобы убедиться в отсутствии непереносимости.
  • За сутки до исследования желательно исключить употребление кофе и любого алкоголя.
  • За 6 часов до процедуры следует прекратить прием пищи.
  • Для визита в клинику необходимо выбрать просторную одежду и удобное белье без металлических застежек либо переодеться перед процедурой.
  • Непосредственно перед входом в кабинет для томографии нужно снять украшения из металла, часы, съемные протезы и другие предметы с металлическими деталями.

Оборудование

Для проведения КТ почек с контрастом клиника использует современное оборудование с расширенными диагностическими возможностями – мультиспиральные томографы Revolution CT или Somatom Definition. Оба устройства создают минимальную лучевую нагрузку на организм пациента и в то же время обеспечивают высокую точность сканирования, в том числе при отслеживании динамики процессов мочевыделения. Параметры тоннеля позволяют обследовать всех пациентов без ограничения веса.

Важная информация

Если у вас нет направления на исследование — это не препятствие для записи. Вы можете пройти диагностику по собственной инициативе. Перед процедурой наш врач проведет краткую консультацию и при необходимости оформит медицинское заключение о целесообразности исследования.

Врачи

Врачебный персонал АО «Медицина» составляют рентгенологи-диагносты высшей категории, проработавшие по своей специальности в течение многих лет и справляющиеся с наиболее сложными клиническими случаями.

Наши врачи

Врач-радиолог ПЭТ/КТ
Бузырихина
Елена Ивановна
Стаж 23 года
Врач-радиолог ПЭТ/КТ
Врач-рентгенолог
Декушева
Елена Витальевна
Стаж 24 года
Компьютерная томография (КТ)
Врач-рентгенолог компьютерной томографии (КТ)
Книгина
Ольга Юрьевна
Стаж 20 лет
Компьютерная томография (КТ)
Чащина
Алена Игоревна
Стаж 15 лет
Врач-рентгенолог

Цены на КТ почек с контрастом

  • Название услуги
    Цена

Вопросы и ответы

doctor
Бузырихина
Елена Ивановна
Стаж 23 года
Врач-радиолог ПЭТ/КТ
  • Что показывает КТ почек с контрастом?

    Компьютерная томография с использованием контрастного вещества позволяет выявить и визуализировать практически любые виды патологий почек:

    • мочевые конкременты с оценкой их размеров и количества;
    • тромбоз почечных сосудов и другие сосудистые нарушения;
    • новообразования и метастазы;
    • очаги воспалительного процесса и т. д.

    Кроме того, исследование позволяет оценить скорость клубочковой фильтрации и выделения мочи.

  • Как делают КТ почек с контрастом?

    Исследование проводится амбулаторно в специально оборудованном кабинете клиники. За исключением ввода катетера в вену, оно полностью безболезненно. Во время введения контрастного вещества может возникнуть ощущение тепла или металлический привкус во рту, очень редко ощущается тошнота, однако обычно эти побочные явления быстро проходят.
  • Сколько по времени делают КТ почек с контрастом?

    Процедура продолжается около получаса, причем само сканирование длится не дольше одной-двух минут. Основное время занимают подготовительные действия, в том числе введение контрастного препарата.

Назначьте дату КТ почек с контрастом

Медицинский администратор свяжется с вами и согласует удобное время исследования

form
Лицензии
Лицензия на осуществление медицинской деятельности № Л041-00110-77/00363409 Срок действия: бессрочная
Ваш браузер устарел рекомендуем обновить его до последней версии
или использовать другой более современный.