Адрес
г. Москва, 2-й Тверской-Ямской переулок, дом 10, Метро «Маяковская» (5 мин. пешком)
Режим работы
График работы клиники «Медицина»
Пн-пт — с 08-00 до 21-00
Сб — с 09-00 до 19-00
Вс — с 09-00 до 15-00


Круглосуточно работают
— Стационар (круглосуточная госпитализация)
— Скорая медицинская помощь
— Магнитно-резонансная томография
— Ультразвуковая диагностика
— Рентген-радиология


En
878 218 Пациентов
Благодарных пациентов получили помощь в АО «Медицина»
более чем за 30-летнюю работу клиники (основана в 1990 году)
Круглосуточно. We speak English
Более 30 лет
лидеру отечественного здравоохранения*
En Записаться на приём

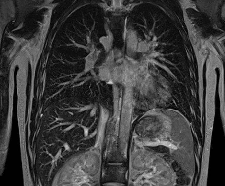
МРТ грудной клетки

МРТ органов грудной клетки – оптимальный метод для выявления патологических изменений в плевральной полости, трахее, легких, перикарде и сердечной мышце, межпозвоночных дисках и спинном мозге, диафрагме, лимфоузлах, сосудах лимфотока и кровотока.

Исследование обычно назначают для уточнения и дополнения данных, полученных с использованием других диагностических методов – рентгенографии, КТ, УЗДГ. Из-за наполненности воздухом сканирование легочной паренхимы не отличается высокой эффективностью, но для других органов, расположенных в пределах грудной клетки, оно подходит как нельзя лучше.

МРТ грудной клетки
  • Стандарты безопасности лечения, признанные международной комиссией JCI
  • Первая частная клиника, сертифицированная Росздравнадзором
  • Премия Правительства РФ в области качества

Используем самое современное оборудование для проведения МРТ - SIEMENS MAGNETOM Skyra - 3 Тесла (64 среза, 48 каналов)

Его основные отличия от аналогичных аппаратов предыдущих поколений заключаются в следующем:
  • icon

    Максимально четкое изображение

    Технические возможности 3 Тесла позволяют исследовать наиболее глубокие слои тканей и органов без потери точности и создавать четкое, информативное изображение.

  • icon

    Высокоточная детализация

    64-срезовая технология сегодня является революционной, так как обеспечивает высокоточную детализацию изображений и позволяет регистрировать даже мельчайшие признаки патологии, что дает возможность диагностировать онкологические заболевания на самых ранних стадиях!

  • icon

    Подходит для самых маленьких пациентов

    Мощность аппарата позволяет получить высококачественное изображение за более короткое время, что облегчает процедуры МРТ для детей; поэтому если вы решили записаться на прием с ребенком в АО «Медицина» (клиника академика Ройтберга), то сделали правильный выбор.

  • icon

    Никаких ограничений

    Наш аппарат оборудован столом с высокой грузоподъемностью, благодаря чему мы можем проводить процедуру для пациентов с большим весом (до 250 кг*).
    * Рабочая грузоподъемность стола - 250 кг, но решение о назначении процедуры принимается врачом, исходя из наличия апертуры аппарата 70 см.

  • icon

    Технология Tim 4G

    Это уникальная разработка компании SIEMENS, которая изменила МРТ. Благодаря ей пропала необходимость в смене позы у пациента при исследовании нескольких областей тела, а также стала возможной высокоточная визуализация процессов в реальном времени.

  • icon

    Точный и объективный результат

    Вышеперечисленные особенности позволяют максимально точно создавать компьютерную модель тканей мозга, отображающую нарушения структуры и позволяющую ставить правильный диагноз на основе объективных данных. Если вам необходим предельно точный и объективный результат, то его обеспечит обследование в АО «Медицина» (клиника академика Ройтберга).

О процедуре

  • Пациент снимает с себя все металлические предметы – часы, украшения, одежду и белье с металлической фурнитурой.
  • После короткой ознакомительной беседы с рентгенологом, проводящим исследование, пациент укладывается на выдвижной стол томографа и принимает удобную фиксированную позу при помощи мягких валиков и ремней.
  • Стол задвигается в тоннель устройства, и начинается сканирование, во время которого необходимо сохранять неподвижность тела.
  • По окончании обследования стол выдвигается из тоннеля, пациент встает и приводит себя в порядок.
Клиника академика Ройтберга АО «Медицина»

Преимущества клиники

Обращайтесь в АО «Медицина» для выполнения МРТ грудной клетки в Москве. В пользу медицинского учреждения свидетельствуют следующие аргументы.

  • Оборудование. Современный томограф MAGNETOM Skyra с расширенными возможностями обеспечивает высокую точность и доступность обследования.
  • Персонал. Высококвалифицированные рентгенологи обладают глубокими знаниями и навыками в проведении обследований.
  • Качество. Многократная аккредитация Joint Commission International свидетельствует об оказании медицинских услуг на уровне «золотого стандарта» мировой медицины.
  • Доступность. Обследование можно пройти не только в будний, но и в выходной день, выбрав удобное время, в том числе по окончании рабочего дня.

Адрес клиники:

г. Москва, 2-й Тверской-Ямской переулок, 10

  • icon

    Показания

    icon

    Необходимость в проведении МРТ грудной клетки возникает при подозрении на следующие патологии:

    • пороки клапанов сердца, нарушения в тканях миокарда, другие кардиозаболевания;
    • нарушения кровотока из-за склерозирования сосудов, аневризмы и других патологий;
    • воспалительные процессы, вызванные инфекцией или неинфекционные;
    • наличие новообразований в тканях грудной клетки или метастазов из других органов;
    • нарушения функции лимфатической системы;
    • скопление жидкости в плевральной полости;
    • неопределенные результаты, полученные при проведении КТ, рентгена грудной клетки или других исследований.
  • icon

    Подготовка к процедуре

    icon

    Специально готовиться к МРТ грудной клетки не нужно. Желательно за пару часов до проведения процедуры воздержаться от еды и питья. При сильном волнении пациента или возможном приступе клаустрофобии врач назначает седативное средство.

  • icon

    Противопоказания

    icon

    Категорически запрещена магнитно-резонансная томография грудной клетки при наличии в организме пациента металлических элементов или устройств, которые невозможно извлечь на время процедуры. В число относительных противопоказаний входят:

    • беременность в первом триместре;
    • клаустрофобия и наличие неврологических нарушений;
    • острые боли и заболевания, не позволяющие пациенту сохранять неподвижность;
    • нарушения психики.

Назначьте дату МРТ грудной клетки

Медицинский администратор свяжется с вами и согласует удобное время исследования

form

Оборудование

Современный мощный томограф MAGNETOM Skyra использует технологию параллельной визуализации, которая позволяет провести обследование быстрее, чем обычно, а значит, пациенту меньше придется неподвижно лежать в тоннеле установки. Благодаря 70-сантиметровому диаметру тоннеля и увеличенной до 250 кг грузоподъемности стола обследования стали доступными для пациентов с повышенной массой тела.

В «АО Медицина» проводится широкий спектр услуг магнитно-резонансной томографии:

Виды МРТ исследований

Стоимость

Установленная в нашей клинике цена МРТ грудной клетки учитывает затраты на проведение исследования, на расходные материалы и компоненты.

Цены на МРТ грудной клетки

  • Название услуги
    Цена
  • Магнитно-резонансная ангиография грудного отдела аорты с контрастированием
    44 500 руб.
  • Магнитно-резонансная томография всего тела
    68 900 руб.

Что входит в услугу?

  • Проведение диагностики;
  • Получение заключения на бумажном носителе;
  • Получение CD диска с изображением исследования;
  • Гарантии АО "Медицина";

При проведении исследований МРТ за наличный расчет неприкрепленным пациентам, получающим услуги более, чем одна одновременно, применяются скидки:

  • на вторую услугу – 10%
  • на третью услугу – 20%
  • на четвертую услугу – 30%

Подробности можно уточнить по телефону

+7 (495) 126 - 13- 12

МРТ в ночное время с 23.00 до 07.00

Уважаемые пациенты, мы рады предложить вам возможность пройти МРТ обследование в ночное время, когда атмосфера в клинике особенно спокойна и комфортна.

Преимущества ночного МРТ:

  • Более быстрый доступ к оборудованию, так как ночью значительно меньше пациентов, что позволяет минимизировать ожидание.
  • Минимум внешних отвлекающих факторов, что помогает сосредоточиться и снизить стресс при обследовании.
  • Удобство для тех, чей график не позволяет выделить время на обследование днем — ночные часы подходят для занятых людей, кто ценит гибкость и комфорт в расписании.

Этот ночной формат создан для вашего удобства, чтобы диагностика проходила максимально комфортно и с минимальными временными затратами.

Важная информация

Если у вас нет направления на исследование — это не препятствие для записи. Вы можете пройти диагностику по собственной инициативе. Перед процедурой наш врач проведет краткую консультацию и при необходимости оформит медицинское заключение о целесообразности исследования.

Наши врачи

Инструктор-методист по лечебной физической культуре
Зедин
Алексей Алексеевич
Стаж 11 лет
Врач-рентгенолог МРТ
Никогосян
Михаил Ашотович
Стаж 12 лет
Врач-рентгенолог МРТ

Вопросы и ответы

  • Что показывает МРТ грудной клетки?

    Исследование позволяет выявить опухоли в легких и прочих органах, расположенных внутри грудной клетки, оценить их расположение и размеры, установить стадию развития, а также обнаружить метастазы из других органов. Кроме того, томография помогает распознавать воспалительные процессы в тканях, выявлять кардиопатологии, оценивать параметры кровотока и состояние кровеносных сосудов.
  • Как делают МРТ грудной клетки?

    Магнитно-резонансная томография грудной клетки выполняется амбулаторно, в специально оборудованном помещении клиники. Это безболезненная, безопасная, неинвазивная процедура, основанная на резонансных колебаниях атомов водорода в магнитном поле установки. По окончании сканирования врач-диагност формирует заключение, которое выдается сразу либо на следующий день.
  • Сколько по времени делают МРТ грудной клетки?

    В зависимости от задач, которые решает исследование, и от особенностей организма пациента обследование без использования контрастного вещества занимает около получаса плюс-минус десять минут.
Лицензии
Лицензия на осуществление медицинской деятельности № Л041-00110-77/00363409 Срок действия: бессрочная
Ваш браузер устарел рекомендуем обновить его до последней версии
или использовать другой более современный.