Адрес
г. Москва, 2-й Тверской-Ямской переулок, дом 10, Метро «Маяковская» (5 мин. пешком)
Режим работы
График работы клиники «Медицина»
Пн-пт — с 08-00 до 21-00
Сб — с 09-00 до 19-00
Вс — с 09-00 до 15-00


Круглосуточно работают
— Стационар (круглосуточная госпитализация)
— Скорая медицинская помощь
— Магнитно-резонансная томография
— Ультразвуковая диагностика
— Рентген-радиология


En
878 218 Пациентов
Благодарных пациентов получили помощь в АО «Медицина»
более чем за 30-летнюю работу клиники (основана в 1990 году)
Круглосуточно. We speak English
Более 30 лет
лидеру отечественного здравоохранения*
En Записаться на приём

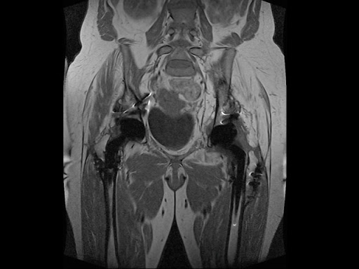
МРТ малого таза с контрастом

Одним из наиболее информативных и при этом абсолютно безвредных диагностических исследований является МРТ органов малого таза с контрастированием.

Процедура не подразумевает использования рентгеновского излучения, визуализация изображения выполняется благодаря резонансным колебаниям атомов водорода в магнитном поле.

Введение парамагнетического контрастного раствора обеспечивает максимально четкое отображение внутренних структур.

Исследование позволяет урологам, гинекологам, хирургам и проктологам выявлять патологии на ранних стадиях, оценивать степень поражения тканей и выбирать наиболее эффективные методы лечения.

МРТ малого таза с контрастом
  • Стандарты безопасности лечения, признанные международной комиссией JCI
  • Первая частная клиника, сертифицированная Росздравнадзором
  • Премия Правительства РФ в области качества

Используем самое современное оборудование для проведения МРТ - SIEMENS MAGNETOM Skyra - 3 Тесла (64 среза, 48 каналов)

Его основные отличия от аналогичных аппаратов предыдущих поколений заключаются в следующем:
  • icon

    Максимально четкое изображение

    Технические возможности 3 Тесла позволяют исследовать наиболее глубокие слои тканей и органов без потери точности и создавать четкое, информативное изображение.

  • icon

    Высокоточная детализация

    64-срезовая технология сегодня является революционной, так как обеспечивает высокоточную детализацию изображений и позволяет регистрировать даже мельчайшие признаки патологии, что дает возможность диагностировать онкологические заболевания на самых ранних стадиях!

  • icon

    Подходит для самых маленьких пациентов

    Мощность аппарата позволяет получить высококачественное изображение за более короткое время, что облегчает процедуры МРТ для детей; поэтому если вы решили записаться на прием с ребенком в АО «Медицина» (клиника академика Ройтберга), то сделали правильный выбор.

  • icon

    Никаких ограничений

    Наш аппарат оборудован столом с высокой грузоподъемностью, благодаря чему мы можем проводить процедуру для пациентов с большим весом (до 250 кг*).
    * Рабочая грузоподъемность стола - 250 кг, но решение о назначении процедуры принимается врачом, исходя из наличия апертуры аппарата 70 см.

  • icon

    Технология Tim 4G

    Это уникальная разработка компании SIEMENS, которая изменила МРТ. Благодаря ей пропала необходимость в смене позы у пациента при исследовании нескольких областей тела, а также стала возможной высокоточная визуализация процессов в реальном времени.

  • icon

    Точный и объективный результат

    Вышеперечисленные особенности позволяют максимально точно создавать компьютерную модель тканей мозга, отображающую нарушения структуры и позволяющую ставить правильный диагноз на основе объективных данных. Если вам необходим предельно точный и объективный результат, то его обеспечит обследование в АО «Медицина» (клиника академика Ройтберга).

О процедуре

МРТ с контрастированием – высокоточный метод диагностики, при котором вводится специальный препарат для улучшения визуализации тканей с целью точного определения размеров, границ и характера патологий – опухолей, воспалений и сосудистых аномалий.

Исследование включает нативную часть (до контрастирования), внутривенное введение контрастного вещества (мануально или болюсно через автоматический инжектор с контролем параметров введения) и последующее сканирование.

Пациенту устанавливается в/в катетер для введения контрастного препарата 

Во время введения препарата возможно возникновение чувства прохлады в вене, появление металлического привкуса во рту и легкого головокружения, что является нормой и быстро проходит.

На протяжении всего исследования у пациента в руках находится сигнальная груша. При появлении дискомфортных ощущений и ухудшения самочувствия необходимо нажать на нее для оповещения медицинского работника, проводящего и непрерывно контролирующего исследование, который сразу же прекратит введение препарата и остановит сканирование.

МРТ с контрастом является более продолжительной процедурой, чем исследование без контрастного усиления, и занимает примерно 35-60 минут, что зависит от конкретной зоны сканирования.

Контрастный препарат выводится почками самостоятельно в течение 24 часов.

МРТ органов малого таза с контрастом проводится следующим образом.

  • Врач-диагност проводит предварительную беседу, чтобы выяснить наличие аллергической реакции на препарат, проверить, нет ли противопоказаний, и объяснить, как следует себя вести во время сканирования.
  • Пациент снимает с себя металлические предметы.
  • Медсестра вводит контрастный препарат.
  • Пациент ложится на выдвижной стол, при необходимости конечности фиксируют мягкими ремнями, чтобы обеспечить полную неподвижность тела.
  • Стол вдвигается в тоннель, после чего начинается сканирование.
  • По окончании процедуры пациент встает и отправляется домой.
  • icon

    Показания

    icon

    Причинами проведения МРТ малого таза с контрастом, как правило, становятся:

    • новообразования в нижнем отделе кишечника, репродуктивных органах либо предраковое состояние;
    • метастазы в мягкие ткани, лимфоузлы, костную ткань и позвоночник;
    • воспалительный процесс;
    • травма;
    • бесплодие, заболевания репродуктивных органов;
    • аномалии развития репродуктивных органов;
    • подготовка к хирургическому вмешательству либо контроль восстановления после операции.
  • icon

    Подготовка к процедуре

    icon

    Исследование проводится планово, и определенная подготовка к МРТ малого таза с контрастом способствует повышению качества снимков.

    • За 3-4 дня до сканирования необходимо скорректировать рацион питания, убрав из него жирные, острые, жареные блюда и продукты, вызывающие брожение в кишечнике.
    • За 6 часов до процедуры следует воздержаться от любой пищи и газированных напитков.
    • Непосредственно перед исследованием нужно снять с себя все металлические предметы, в том числе одежду и белье с фурнитурой из металла.
  • icon

    Противопоказания

    icon

    Не рекомендуется проводить МРТ таза с контрастом, если у пациента:

    • в теле присутствуют металлические имплантаты, протезы, устройства, которые невозможно снять на время процедуры;
    • обнаружена аллергия на контрастное вещество;
    • диагностирована беременность в первом триместре;
    • имеется почечная недостаточность;
    • имеются неврологические патологии либо сильные боли, препятствующие сохранению неподвижности в течение длительного времени.

    При клаустрофобии либо сильном беспокойстве показано назначение седативного препарата.

Назначьте дату МРТ малого таза с контрастом

Медицинский администратор свяжется с вами и согласует удобное время исследования

form
Клиника академика Ройтберга АО «Медицина»

Преимущества клиники

Для проведения МРТ малого таза с контрастом в Москве многие пациенты предпочитают обращаться в АО «Медицина», так как в нашей клинике:

  • мустановлено современное оборудование, обеспечивающее высокую точность результатов;
  • исследование проводят высококвалифицированные специалисты с многолетним опытом;
  • уровень медицинских услуг соответствует «золотому стандарту» мировой медицины;
  • процедуру можно пройти в любой день, в том числе выходной или праздничный, в удобное время;
  • каждый пациент получает постоянный онлайн-доступ к результатам в личном кабинете на сайте клиники.

Адрес клиники:

г. Москва, 2-й Тверской-Ямской переулок, 10

Оборудование

Для проведения МРТ таза с контрастом используется томограф последнего поколения MAGNETOM Skyra с мощностью магнитного поля 3 Тл. Диаметр тоннеля установки составляет 70 см, а грузоподъемность стола – 250 кг, благодаря чему отсутствуют ограничения для пациентов с ожирением. Технология параллельной визуализации позволяет получать изображения с максимально высокой четкостью и создавать на компьютере объемную модель внутренних органов малого таза.

В «АО Медицина» проводится широкий спектр услуг магнитно-резонансной томографии:

Виды МРТ исследований

Стоимость

Запишитесь на МРТ малого таза с контрастом, цена которой соответствует уровню оказания услуги и формируется с учетом текущих расходов клиники на проведение исследования. Стоимость услуг».

Цены на МРТ малого таза с контрастом

  • Название услуги
    Цена
  • Магнитно-резонансная томография височно-нижнечелюстных суставов
    33 000 руб.
  • Магнитно-резонансная томография органов малого таза с внутривенным контрастированием
    42 700 руб.
  • Магнитно-резонансная томография урография с контрастированием
    39 900 руб.
  • Магнитно-резонансная томография тонкой кишки с контрастированием
    46 000 руб.
  • Магнитно-резонансная томография мошонки с контрастированием
    42 700 руб.

Что входит в услугу?

  • Проведение диагностики;
  • Получение заключения на бумажном носителе;
  • Получение CD диска с изображением исследования;
  • Гарантии АО "Медицина";

При проведении исследований МРТ за наличный расчет неприкрепленным пациентам, получающим услуги более, чем одна одновременно, применяются скидки:

  • на вторую услугу – 10%
  • на третью услугу – 20%
  • на четвертую услугу – 30%

Подробности можно уточнить по телефону

+7 (495) 154 - 15- 94

МРТ в ночное время с 23.00 до 07.00

Уважаемые пациенты, мы рады предложить вам возможность пройти МРТ обследование в ночное время, когда атмосфера в клинике особенно спокойна и комфортна.

Преимущества ночного МРТ:

  • Более быстрый доступ к оборудованию, так как ночью значительно меньше пациентов, что позволяет минимизировать ожидание.
  • Минимум внешних отвлекающих факторов, что помогает сосредоточиться и снизить стресс при обследовании.
  • Удобство для тех, чей график не позволяет выделить время на обследование днем — ночные часы подходят для занятых людей, кто ценит гибкость и комфорт в расписании.

Этот ночной формат создан для вашего удобства, чтобы диагностика проходила максимально комфортно и с минимальными временными затратами.

Врачи

Процедуру МРТ малого таза с контрастом проводят рентгенологи-диагносты высшей категории с многолетним стажем работы. Многие из них являются членами международных профессиональных сообществ, участвуют в медицинских конференциях, публикуют статьи в научных изданиях.

Важная информация

Если у вас нет направления на исследование — это не препятствие для записи. Вы можете пройти диагностику по собственной инициативе. Перед процедурой наш врач проведет краткую консультацию и при необходимости оформит медицинское заключение о целесообразности исследования.

Наши врачи

Инструктор-методист по лечебной физической культуре
Зедин
Алексей Алексеевич
Стаж 11 лет
Врач-рентгенолог МРТ
Никогосян
Михаил Ашотович
Стаж 12 лет
Врач-рентгенолог МРТ

Вопросы и ответы

  • Что показывает МРТ малого таза с контрастом?

    Исследование позволяет обнаружить воспалительные процессы, опухоли, кисты, спайки, аномалии развития, метастазы злокачественных новообразований, травмы и их последствия, сосудистые патологии в мягких тканях органов малого таза. Эти и другие патологии обнаруживаются даже при отсутствии клинических симптомов заболевания.
  • Как делают МРТ малого таза с контрастом?

    Исследование проводится амбулаторно на специальной установке, по предварительной записи. В назначенное время необходимо явиться в клинику, предварительно подготовившись к процедуре. МРТ малого таза с контрастом не вызывает неприятных ощущений. Во время сканирования может ощущаться тепло в исследуемой области. Медицинское заключение по итогам обследования будет подготовлено сразу после его завершения либо на следующий день.
  • Сколько по времени делают МРТ малого таза с контрастом?

    Продолжительность сканирования составляет около 40-50 минут, в зависимости от индивидуальных особенностей пациента.
Лицензии
Лицензия на осуществление медицинской деятельности № Л041-00110-77/00363409 Срок действия: бессрочная
Ваш браузер устарел рекомендуем обновить его до последней версии
или использовать другой более современный.