Адрес
г. Москва, 2-й Тверской-Ямской переулок, дом 10, Метро «Маяковская» (5 мин. пешком)
Режим работы
График работы клиники «Медицина»
Пн-пт — с 08-00 до 21-00
Сб — с 09-00 до 19-00
Вс — с 09-00 до 15-00


Круглосуточно работают
— Стационар (круглосуточная госпитализация)
— Скорая медицинская помощь
— Магнитно-резонансная томография
— Ультразвуковая диагностика
— Рентген-радиология


En
878 218 Пациентов
Благодарных пациентов получили помощь в АО «Медицина»
более чем за 30-летнюю работу клиники (основана в 1990 году)
Круглосуточно. We speak English
Более 30 лет
лидеру отечественного здравоохранения*
En Записаться на приём

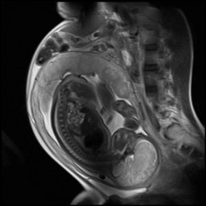
МРТ при беременности

В случае невозможности достоверно определить патологические изменения в организме матери или плода врач может принять решение о назначении МРТ при беременности.

Однако риск неблагоприятного влияния в первом триместре вынашивания, когда формируются основные системы и органы будущего ребенка, чересчур высок, поэтому исследование обычно проводят во время второго либо третьего триместра.

На текущий момент нет никаких фактов, говорящих о возможности осложнений развития плода из-за процедуры. Тем не менее, врачи предпочитают избегать даже теоретически возможных рисков и принимают решение о необходимости магнитно-резонансной томографии лишь при условии, если присутствует серьезная угроза здоровью женщины.

МРТ при беременности
  • Стандарты безопасности лечения, признанные международной комиссией JCI
  • Первая частная клиника, сертифицированная Росздравнадзором
  • Премия Правительства РФ в области качества

Используем самое современное оборудование для проведения МРТ - SIEMENS MAGNETOM Skyra - 3 Тесла (64 среза, 48 каналов)

Его основные отличия от аналогичных аппаратов предыдущих поколений заключаются в следующем:
  • icon

    Максимально четкое изображение

    Технические возможности 3 Тесла позволяют исследовать наиболее глубокие слои тканей и органов без потери точности и создавать четкое, информативное изображение.

  • icon

    Высокоточная детализация

    64-срезовая технология сегодня является революционной, так как обеспечивает высокоточную детализацию изображений и позволяет регистрировать даже мельчайшие признаки патологии, что дает возможность диагностировать онкологические заболевания на самых ранних стадиях!

  • icon

    Подходит для самых маленьких пациентов

    Мощность аппарата позволяет получить высококачественное изображение за более короткое время, что облегчает процедуры МРТ для детей; поэтому если вы решили записаться на прием с ребенком в АО «Медицина» (клиника академика Ройтберга), то сделали правильный выбор.

  • icon

    Никаких ограничений

    Наш аппарат оборудован столом с высокой грузоподъемностью, благодаря чему мы можем проводить процедуру для пациентов с большим весом (до 250 кг*).
    * Рабочая грузоподъемность стола - 250 кг, но решение о назначении процедуры принимается врачом, исходя из наличия апертуры аппарата 70 см.

  • icon

    Технология Tim 4G

    Это уникальная разработка компании SIEMENS, которая изменила МРТ. Благодаря ей пропала необходимость в смене позы у пациента при исследовании нескольких областей тела, а также стала возможной высокоточная визуализация процессов в реальном времени.

  • icon

    Точный и объективный результат

    Вышеперечисленные особенности позволяют максимально точно создавать компьютерную модель тканей мозга, отображающую нарушения структуры и позволяющую ставить правильный диагноз на основе объективных данных. Если вам необходим предельно точный и объективный результат, то его обеспечит обследование в АО «Медицина» (клиника академика Ройтберга).

О процедуре

МРТ беременным женщинам проводят точно так же, как и всем прочим пациентам.

  • Перед исследованием женщина избавляется от часов, украшений и других металлических предметов на своем теле. В их число входит, в том числе, одежда и белье с металлической фурнитурой.
  • Пациентка укладывается на выдвижной стол и принимает удобную позу, которую дополнительно фиксируют мягкими ремнями.
  • Стол въезжает в тоннель томографа, выполняется сканирование интересующей диагноста зоны.
  • По окончании процедуры женщина встает со стола, приводит себя в порядок и возвращается к обычному распорядку дня.

При появлении неприятных ощущений во время обследования пациентка может нажать «тревожную кнопку», после чего сканирование тут же будет прекращено.

Клиника академика Ройтберга АО «Медицина»

Преимущества клиники

Чтобы избежать негативных последствий, МРТ беременным в Москве следует проводить в медицинском учреждении, которое обеспечивает наилучшие условия безопасности и врачебного контроля. В клинике «Медицина»:

  • исследование выполняется на современном высококлассном томографе MAGNETOM Skyra;
  • процедуру проводят рентгенологи высшей категории с многолетним опытом в своей сфере деятельности;
  • уровень оказания медицинских услуг соответствует мировому «золотому стандарту», что подтверждает многократная аккредитация JCI;
  • пациентка может пройти обследование не только в будни, но и в выходной день, утром, днем или в вечерние часы;
  • результаты доступны онлайн в личном кабинете на сайте клиники.

Адрес клиники:

г. Москва, 2-й Тверской-Ямской переулок, 10

  • icon

    Показания

    icon

    Как правило, МРТ беременным назначают в тех случаях, когда существует серьезная угроза жизни или здоровью матери и плода, причем другие способы диагностики, в том числе УЗИ, не дают точной картины патологических изменений. Показаниями к проведению процедуры служат:

    • высокий риск развития внутриутробной патологии;
    • симптомы нарушений работы внутренних органов женщины или ребенка;
    • признаки появления опухоли в организме матери;
    • спорные или сомнительные результаты лабораторных анализов;
    • недостаточно точные данные УЗИ и других методов диагностики;
    • травмы, полученные во время беременности, в особенности черепно-мозговые.

    Наиболее частой причиной назначения магнитно-резонансной томографии становится подозрение на патологию развития плода. Исследование необходимо, чтобы женщина могла принять осознанное решение либо о прерывании беременности, либо о лечении ребенка после его появления на свет.

  • icon

    Подготовка к процедуре

    icon
    • Оставьте дома украшения из металла, а если по каким-либо причинам это невозможно, снимите с себя все металлические предметы в больнице перед исследованием.
    • Выберите для визита в клинику удобную одежду и белье, не содержащие металлических застежек, фурнитуры, декора.
    • За 3-4 часа до процедуры воздержитесь от принятия пищи.
  • icon

    Противопоказания

    icon
    • Наличие в организме металлических инородных предметов – протезов, штифтов, стентов, клипс, осколков.
    • Наличие имплантированных в тело женщины устройств с металлическими деталями – кардиостимулятора, инсулиновой помпы и др.
    • Клаустрофобия, заболевания нервной системы.

    В первые три месяца беременности исследование проводят только при наличии непосредственной угрозы для матери или плода. Полностью противопоказаны на любом сроке процедуры с применением контрастного вещества.

Назначьте дату МРТ при беременности

Медицинский администратор свяжется с вами и согласует удобное время исследования

form

Оборудование

В клинике «Медицина» установлен современный томограф MAGNETOM Skyra, который создает магнитное поле напряженностью 3 Тесла и выполняет сканирование с использованием технологии параллельной визуализации. Тоннель томографа расширен до 70 см, а грузоподъемность стола увеличена до 250 кг, благодаря чему отсутствуют ограничения по массе тела пациентов.

В «АО Медицина» проводится широкий спектр услуг магнитно-резонансной томографии:

Виды МРТ исследований

Стоимость

Установленные в клинике цены на МРТ беременным женщинам учитывают текущие затраты на выполнение исследований и обеспечивают доступность процедуры для всех, кому она необходима.

Цены на МРТ при беременности

  • Название услуги
    Цена
  • Магнитно-резонансная томография головного мозга (углубленная нейровизуализация)
    36 200 руб.
  • Магнитно-резонансная томография головного мозга
    22 100 руб.
  • Магнитно-резонансная томография органов брюшной полости
    26 300 руб.
  • Магнитно-резонансная томография органов малого таза
    25 000 руб.
  • Магнитно-резонансная томография органов брюшной полости с внутривенным контрастированием (омнискан)
    42 500 руб.
  • Магнитно-резонансная томография головного мозга с контрастированием
    40 600 руб.
  • Магнитно-резонансная томография органов малого таза с внутривенным контрастированием
    42 700 руб.

Что входит в услугу?

  • Проведение диагностики;
  • Получение заключения на бумажном носителе;
  • Получение CD диска с изображением исследования;
  • Гарантии АО "Медицина";

При проведении исследований МРТ за наличный расчет неприкрепленным пациентам, получающим услуги более, чем одна одновременно, применяются скидки:

  • на вторую услугу – 10%
  • на третью услугу – 20%
  • на четвертую услугу – 30%

Подробности можно уточнить по телефону

+7 (495) 126 - 13- 12

МРТ в ночное время с 23.00 до 07.00

Уважаемые пациенты, мы рады предложить вам возможность пройти МРТ обследование в ночное время, когда атмосфера в клинике особенно спокойна и комфортна.

Преимущества ночного МРТ:

  • Более быстрый доступ к оборудованию, так как ночью значительно меньше пациентов, что позволяет минимизировать ожидание.
  • Минимум внешних отвлекающих факторов, что помогает сосредоточиться и снизить стресс при обследовании.
  • Удобство для тех, чей график не позволяет выделить время на обследование днем — ночные часы подходят для занятых людей, кто ценит гибкость и комфорт в расписании.

Этот ночной формат создан для вашего удобства, чтобы диагностика проходила максимально комфортно и с минимальными временными затратами.

Врачи

Исследования проводят рентгенологи высшей категории, многие из которых являются членами международных профессиональных ассоциаций и сообществ. Благодаря участию в медицинских конференциях, семинарах и симпозиумах они постоянно повышают свои профессиональные знания и навыки, сразу принимают на вооружение новые методы магнитно-резонансной диагностики.

Важная информация

Если у вас нет направления на исследование — это не препятствие для записи. Вы можете пройти диагностику по собственной инициативе. Перед процедурой наш врач проведет краткую консультацию и при необходимости оформит медицинское заключение о целесообразности исследования.

Наши врачи

Инструктор-методист по лечебной физической культуре
Зедин
Алексей Алексеевич
Стаж 11 лет
Врач-рентгенолог МРТ
Никогосян
Михаил Ашотович
Стаж 12 лет
Врач-рентгенолог МРТ

Вопросы и ответы

  • Что показывает МРТ беременным?

    Магнитно-резонансная томография позволяет обнаруживать и распознавать патологические изменения в мягких и хрящевых тканях организма женщины и ее будущего ребенка. Благодаря высокой точности исследования диагностика возможна на самых ранних стадиях развития заболеваний. Визуализация позволяет обнаруживать нарушения в развитии плода, опухолевые процессы, воспалительные очаги, гематомы, деформации, расслоения тканей, дисплазии, другие патологии.
  • Как делают МРТ беременным?

    Процедура при беременности не отличается от обычного хода исследований, однако введение контрастного препарата в этом случае категорически запрещено.
  • Сколько по времени делают МРТ беременным?

    Полное обследование по времени занимает не более получаса.
Лицензии
Лицензия на осуществление медицинской деятельности № Л041-00110-77/00363409 Срок действия: бессрочная
Ваш браузер устарел рекомендуем обновить его до последней версии
или использовать другой более современный.