Адрес
г. Москва, 2-й Тверской-Ямской переулок, дом 10, Метро «Маяковская» (5 мин. пешком)
Режим работы
График работы клиники «Медицина»
Пн-пт — с 08-00 до 21-00
Сб — с 09-00 до 19-00
Вс — с 09-00 до 15-00


Круглосуточно работают
— Стационар (круглосуточная госпитализация)
— Скорая медицинская помощь
— Магнитно-резонансная томография
— Ультразвуковая диагностика
— Рентген-радиология


График работы в выходные и предпраздничные дни
— 8 мая 2026 г. – рабочий день по графику пятницы (сокращенный на 1 час рабочий день), с 08:00 до 20:00;
— 9 мая 2026 г. – праздничный день;
— 10 мая 2026 г. – рабочий день по графику воскресенья, с 09:00 до 15:00;
— 11 мая 2026 г. – рабочий день по графику субботы, с 09:00 до 19:00;

En
878 218 Пациентов
Благодарных пациентов получили помощь в АО «Медицина»
более чем за 30-летнюю работу клиники (основана в 1990 году)
Круглосуточно. We speak English
Более 30 лет
лидеру отечественного здравоохранения*
En Записаться на приём

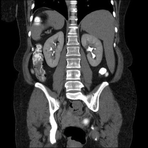
МСКТ брюшной полости с контрастированием

Мультиспиральная (многосрезовая) компьютерная томография – наиболее информативная диагностическая процедура, обеспечивающая врачей сведениями о состоянии органов и тканей пациента. МСКТ брюшной полости выполняется с контрастом, представляющим собой йодсодержащий раствор. Его накопление в очагах патологий позволяет визуализировать их под действием лучей сканера-томографа. Принцип действия установки основан на различной плотности и проводимости внутренних тканей человеческого тела.
МСКТ брюшной полости с контрастированием
  • Стандарты безопасности лечения, признанные международной комиссией JCI
  • Первая частная клиника, сертифицированная Росздравнадзором
  • Премия Правительства РФ в области качества

Единственный в Москве компьютерный томограф Revolution CT (GE), 512 срезов

Компьютерная томография (КТ) на уникальном оборудовании последнего поколения для точной постановки диагноза
  • icon

    Сканирование за 1 секунду

    Оборудование производит сканирование 512 срезов при скорости вращения 5 оборотов в секунду. Это позволяет делать точные срезы даже движущихся органов за короткое время, а для детей проводить обследование без наркоза и задержки дыхания

  • icon

    Высочайшая точность сканирования

    Сканирование со скоростью до 0,83 м/сек позволяет выполнить 3D визуализацию сердца и сосудов за одно сокращение с высоким качеством изображения, что обеспечивает высокую точность постановки диагноза

  • icon

    Высокая информативность

    3D изображение в сочетание со специальным спектральным изображением дает полную картину о состоянии органов и тканей. Даже в сложных случаях видна полная картина

  • icon

    Лучевая нагрузка снижена на 82%

    Уровень излучения у оборудования последнего поколения в 4 раза ниже, чем у предыдущих поколений и сопоставим с лучевой нагрузкой во время 10 часового перелета в самолете. Низкий уровень излучения делает исследование безопасным даже для детей

  • icon

    Комфорт во время исследования

    Уменьшенный уровень шума, высокая скорость выполнения сканирования и открытая конструкция оборудования обеспечивают комфортное проведение исследования

  • icon

    Получение результатов до 2-х часов

    Сразу после завершения сканирования команда врачей начинает готовить описание и заключение,чтобы в кратчайшие сроки начать лечение

  • icon

    Показания

    icon

    Рассматриваемое исследование выполняется после прохождения пациентом УЗИ и классической пленочной рентгенографии. Томография позволяет уточнить размер и локализацию обнаруженных ранее патологий и выявить их характер. На основании полученных данных врачи могут поставить пациенту окончательный диагноз и дифференцировать заболевание от поражений организма со схожей симптоматикой.

    Основные показания к проведению спиральной томографии:

    • систематические острые боли в области живота;
    • травмы и их осложнения;
    • поиск первичных и вторичных очагов онкологических патологий;
    • непроходимость желчевыводящих протоков;
    • планируемое оперативное вмешательство или повторная диагностика после проведения операции.

    Иными причинами для приглашения пациента на сканирование могут стать хронические заболевания ЖКТ или рецидивы злокачественных опухолей.

  • icon

    Подготовка

    icon

    Применение контрастного вещества в рамках диагностического сканирования предполагает отказ пациента от приема пищи за 8-10 часов до визита в клинику. Подробные инструкции о рекомендуемой диете и питьевом режиме участники исследования получают от терапевта, хирурга, онколога, гастроэнтеролога или иного специалиста, выдавшего направление на мультиспиральную томографию

    Стандартные правила сканирований с контрастом предполагают превентивное (за 2-3 дня до явки в клинику) исключение из рациона человека следующих позиций:

    • газированных напитков (в т.ч. с природной газацией);
    • блюд из капусты и бобовых;
    • кисломолочных продуктов;
    • выпечки из теста любого вида.
  • icon

    Противопоказания

    icon

    Основным противопоказанием для процедуры становится индивидуальная непереносимость компонентов контрастного вещества пациентом. Острая реакция на продукты йода может привести к угнетению дыхательной функции или развитию шокового состояния.

    Прочие противопоказания включают:

    • гипертиреоз (гиперфункция щитовидной железы);
    • почечную и печеночную недостаточности в любой стадии;
    • беременность и период грудного вскармливания.

    Прохождение мультиспирального сканирования не рекомендуется детям младше 14 лет. Решение о проведении диагностики принимается лечащим врачом.

Запись на обследование

Записаться на диагностические процедуры в АО «Медицина» (клиника академика Ройтберга) можно на сайте – интерактивная форма позволяет выбрать врача по специализации или осуществить поиск сотрудника любого отделения по имени и фамилии. Расписание каждого доктора содержит информацию о приемных днях и доступных для визитов пациентов часах.

Администраторы клиники готовы принять заявку на прием или вызов врача на дом по телефону +7 (495) 775-73-60.

Удобное расположение на территории центрального административного округа Москвы (ЦАО) – 2-й Тверской-Ямской переулок, дом 10 – позволяет быстро добраться до клиники от станций метро «Маяковская», «Новослободская», «Тверская», «Чеховская» и «Белорусская».

Оставьте заявку, мы Вам перезвоним

Узнать подробности проведения процедуры, цены на МСКТ брюшной полости с контрастированием Вы можете по телефону:

+7 (495) 775-73-60
Важная информация

Если у вас нет направления на исследование — это не препятствие для записи. Вы можете пройти диагностику по собственной инициативе. Перед процедурой наш врач проведет краткую консультацию и при необходимости оформит медицинское заключение о целесообразности исследования.

Наши врачи

Врач-радиолог ПЭТ/КТ
Бузырихина
Елена Ивановна
Стаж 23 года
Врач-радиолог ПЭТ/КТ
Врач-рентгенолог
Декушева
Елена Витальевна
Стаж 24 года
Компьютерная томография (КТ)
Врач-рентгенолог компьютерной томографии (КТ)
Книгина
Ольга Юрьевна
Стаж 20 лет
Компьютерная томография (КТ)
Чащина
Алена Игоревна
Стаж 15 лет
Врач-рентгенолог

Что показывает МСКТ брюшной полости

Сканирующие диагностические процедуры выполняются в двух случаях: для поиска патологических изменений в органах или контроля результатов проведенной терапии и радикального лечения. Исследование позволяет обнаружить:

  • абсцессы;
  • опухоли и иные новообразования;
  • травмы и их осложнения;
  • накопление экссудата в полостях.

Высокая разрешающая способность сканера обеспечивает врачей возможностью масштабирования отдельных участков сканируемого органа в режиме реального времени. Достоинством мультиспирального метода становится способность оборудования к одновременному исследованию паренхиматозных (не имеющих внутренних полостей) и полых органов человека.

Как проходит обследование

Сканирование проходит по стандартному сценарию – пациенты снимают все металлические украшения и предметы одежды с застежками или декоративными элементами из металла. Человек размешается на диагностическом столе в положении лежа на спине. Стол направляется внутрь сканирующего контура.


Предварительно в вену пациента устанавливается катетер, через который подается контрастное вещество. Скорость подачи регулируется программным обеспечением томографа на основании сканируемых тканей. Продолжительность процедуры составляет 60-70 минут. По ее завершении пациент получает заключение с диагнозом и подробным описанием состояния внутренних органов и тканей.

Цены на МСКТ брюшной полости с контрастированием

  • Название услуги
    Цена
  • Компьютерная томография органов брюшной полости
    26 600 руб.
  • Компьютерная томография органов брюшной полости с внутривенным болюсным контрастированием
    36 500 руб.

Оставьте заявку, мы Вам перезвоним

Узнать подробности проведения процедуры, цены на МСКТ брюшной полости с контрастированием Вы можете по телефону:

+7 (495) 775-73-60
Лицензии
Лицензия на осуществление медицинской деятельности № Л041-00110-77/00363409 Срок действия: бессрочная
Ваш браузер устарел рекомендуем обновить его до последней версии
или использовать другой более современный.