Адрес
г. Москва, 2-й Тверской-Ямской переулок, дом 10, Метро «Маяковская» (5 мин. пешком)
Режим работы
График работы клиники «Медицина»
Пн-пт — с 08-00 до 21-00
Сб — с 09-00 до 19-00
Вс — с 09-00 до 15-00

График работы клиники в ноябре 2025 года
— 1 ноября 2025 г. – рабочий день по графику понедельника (сокращенный на 1 час рабочий день) – с 08:00 до 20:00;
— 2 ноября 2025 г. – рабочий день по графику воскресенья – с 09:00 до 15:00;
— 3 ноября 2025 г. – рабочий день по графику субботы – с 09:00 до 19:00;
— 4 ноября 2025 г. – праздничный день;
— 5 ноября 2025 г. – рабочий день по графику среды – с 08:00 до 21:00;

Круглосуточно работают
— Стационар (круглосуточная госпитализация)
— Скорая медицинская помощь
— Магнитно-резонансная томография
— Ультразвуковая диагностика
— Рентген-радиология


En
878 218 Пациентов
Благодарных пациентов получили помощь в АО «Медицина»
более чем за 30-летнюю работу клиники (основана в 1990 году)
Круглосуточно. We speak English
Более 30 лет
лидеру отечественного здравоохранения*
En Записаться на приём

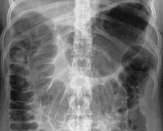
Рентген брюшной полости

Первоочередным методом обследования брюшины является рентгенография органов брюшной полости. При пропускании через тело пациента рентгеновских лучей на чувствительном экране формируется проекционное изображение внутренних органов, позволяющее судить о наличии патологических изменений. Поскольку мягкие ткани, как правило, плохо отображаются на снимках, для улучшения визуализации в организм иногда вводят контрастный раствор, который выделяет отдельные структуры. В качестве контраста обычно используются безвредные соединения бария.

Рентген брюшной полости
  • Стандарты безопасности лечения, признанные международной комиссией JCI
  • Первая частная клиника, сертифицированная Росздравнадзором
  • Премия Правительства РФ в области качества

О процедуре

Наиболее часто для определения причин недомогания требуется обзорная рентгенография брюшной полости, которая проводится без контрастных препаратов. Она позволяет обнаружить серьезные патологии, исключить некоторые из вариантов диагноза и определить направление дальнейших диагностических исследований. Процедура обычно проводится при наличии острых и неотложных состояний.


Прибывший в клинику пациент снимает металлические аксессуары, которые могут исказить изображение.

Медсестра помогает лечь на стол рентгеновского аппарата с вытянутыми вдоль тела конечностями. Врач-рентгенолог делает первый снимок в фронтальной проекции.

Пациента укладывают на бок и делают второй снимок.

Если предусмотрено исследование с контрастированием, больному вводят контрастный раствор и делают дополнительные снимки.


Во время съемки необходимо сохранять полную неподвижность, чтобы обеспечить четкость изображений.

  • icon

    Показания

    icon

    Рентгенография брюшной полости необходима в случаях, когда требуется оперативная информация о состоянии внутренних органов брюшины, т. е. в случае появления тревожных симптомов:

    • острой боли в животе;
    • болей в поясничном отделе;
    • травмы живота;
    • признаков забрюшинного абсцесса;
    • подозрения на непроходимость кишечника;
    • подозрения на наличие инородного тела.

    Применение контрастного раствора в ряде случаев позволяет более точно определить причину появления болей, однако такое исследование проводится только при отсутствии внутренних повреждений и после исключения непроходимости кишечника.

  • icon

    Противопоказания

    icon

    Нежелательно выполнять рентген брюшной полости:

    • беременным женщинам и кормящим матерям;
    • пациентам в тяжелом состоянии;
    • с внутренним кровотечением;
    • людям, в течение текущего года получившим высокую дозу облучения.

    Однако при наличии угрозы для жизни больного лечащий врач может назначить исследование даже при наличии перечисленных противопоказаний.

Подготовка к процедуре

Нет необходимости в специальной подготовке к обзорной рентгенографии брюшной полости, так как от исследования не требуется высокой точности отображения внутренних органов. Однако в случае, если после обзорных снимков запланировано исследование с контрастным препаратом, то накануне требуется:

  • за 24 часа – исключить из рациона пищу, вызывающую газообразование;
  • за 12 часов – прекратить прием твердой пищи;
  • за 2 часа – опорожнить толстую кишку при помощи клизмы или ректальных свечей.

Оборудование

В клинике «Медицина» вам сделают рентген брюшной полости при помощи цифровой рентгеновской установки, которая сегодня служит эталоном безопасности и качества лучевой диагностики. Благодаря оцифровке данных, получаемых во время исследования, повышается четкость и информативность снимков. Кроме того, аппаратура предусматривает сниженную в несколько раз интенсивность излучения, что позволяет существенно уменьшить лучевую нагрузку на организм пациента.

Стоимость

Доступная цена рентгена брюшной полости и других видов радиологических исследований – один из важных факторов выбора нашей клиники. Мы стремимся делать качественные медицинские услуги еще более доступными для пациентов.

Цены на рентген брюшной полости

  • Название услуги
    Цена
  • Рентгенография желудка и двенадцатиперстной кишки, с двойным контрастированием
    18 500 руб.
  • Рентгенография желудка и двенадцатиперстной кишки
    10 400 руб.
  • Ирригография
    18 500 руб.
  • Рентгенография тонкой кишки с контрастированием
    11 900 руб.
  • Фистулография свищей тонкой кишки
    9 700 руб.
  • Рентгенография почек и мочевыводящих путей
    6 000 руб.
  • Ретроградная уретеропиелография с внутривенным вливанием с омнипаком
    31 200 руб.
  • Ретроградная уретеропиелография с внутривенным вливанием с урографином/тразографом
    21 200 руб.
  • Цистография
    17 700 руб.
  • Внутривенная урография
    10 600 руб.
  • Гистеросальпингография
    13 100 руб.
  • Фистулография свищей толстой кишки
    12 200 руб.
  • Описание и интерпретация рентгенографических изображений
    6 300 руб.
  • Рентгенография таза
    8 500 руб.
  • Обзорная рентгенография органов брюшной полости
    9 200 руб.

Назначьте дату рентгена брюшной полости

Медицинский администратор свяжется с вами и согласует удобное время исследования

form

Врачи

В нашей клинике рентген брюшной полости и другие виды исследований проводят рентгенологи высшей категории, пользующиеся уважением среди коллег за свой профессионализм и практический опыт в диагностике. Обращаясь к нашим специалистам, вы получаете качественные снимки, которые послужат основой для правильного диагноза.

Наши врачи

Врач-рентгенолог высшей категории, European society of radiology
Бушов
Игорь Викторович
Стаж 41 год
Рентген
Врач рентгенолог, член European Society of Radiology
Романов
Роман Владимирович
Стаж 23 года
Рентген

Вопросы и ответы

doctor
Бушов
Игорь Викторович
Стаж 41 год
Врач-рентгенолог высшей категории, European society of radiology
  • Что показывает рентген брюшной полости?

    По рентгеновским снимкам опытный рентгенолог-диагност может определить:

    • распределение газа в брюшине, наличие свободной жидкости в брюшной полости;
    • наличие инородных тел;
    • наличие конкрементов в почках и желчном пузыре;
    • повреждения органов;
    • внутренние кровотечения;
    • смещение внутренних органов;
    • непроходимость кишечника.
  • Как делают рентген брюшной полости?

    Обследование проводится в специально оборудованном рентген-кабинете, где созданы все условия для комфорта и безопасности пациентов. Процедура не причиняет малейшей боли или неприятных ощущений. Снимки выполняются, как минимум, в двух проекциях – прямой и боковой. Во время исследования пациент может находиться в стоячем либо лежачем положении. Необходимо сохранять полную неподвижность, чтобы обеспечить высокую четкость изображений.

Лицензии
Лицензия на осуществление медицинской деятельности № Л041-00110-77/00363409 Срок действия: бессрочная
Ваш браузер устарел рекомендуем обновить его до последней версии
или использовать другой более современный.