Адрес
г. Москва, 2-й Тверской-Ямской переулок, дом 10, Метро «Маяковская» (5 мин. пешком)
Режим работы
График работы клиники «Медицина»
Пн-пт — с 08-00 до 21-00
Сб — с 09-00 до 19-00
Вс — с 09-00 до 15-00


Круглосуточно работают
— Стационар (круглосуточная госпитализация)
— Скорая медицинская помощь
— Магнитно-резонансная томография
— Ультразвуковая диагностика
— Рентген-радиология


График работы в выходные и предпраздничные дни
— 8 мая 2026 г. – рабочий день по графику пятницы (сокращенный на 1 час рабочий день), с 08:00 до 20:00;
— 9 мая 2026 г. – праздничный день;
— 10 мая 2026 г. – рабочий день по графику воскресенья, с 09:00 до 15:00;
— 11 мая 2026 г. – рабочий день по графику субботы, с 09:00 до 19:00;

En
878 218 Пациентов
Благодарных пациентов получили помощь в АО «Медицина»
более чем за 30-летнюю работу клиники (основана в 1990 году)
Круглосуточно. We speak English
Более 30 лет
лидеру отечественного здравоохранения*
En Записаться на приём

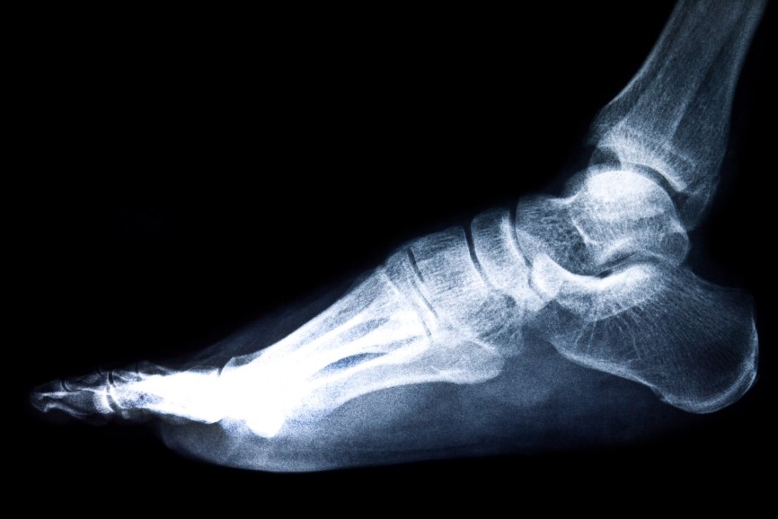
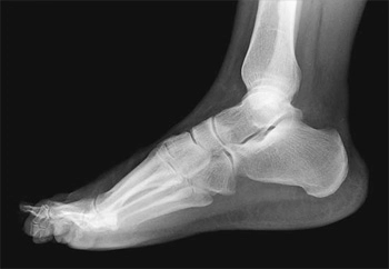
Рентген голеностопного сустава

Востребованным диагностическим методом при травмах и заболеваниях ног в течение многих десятилетий остается рентген голеностопного сустава.

Исследование выполняется при помощи рентгеновского излучения, которое пропускают через нижнюю конечность.

В результате на чувствительном экране появляется изображение костей, формирующих сустав и стопу.

По характеру деформаций костных структур и другим признакам, отображенным на снимках, определяется диагноз и назначается оптимальный вид лечения.

  • Стандарты безопасности лечения, признанные международной комиссией JCI
  • Первая частная клиника, сертифицированная Росздравнадзором
  • Премия Правительства РФ в области качества

О процедуре

Чтобы сделать рентген голеностопного сустава без длительного ожидания в очереди, необходимо заранее записаться на определенное время. Экстренная процедура проводится при травматических повреждениях ног, когда пациент нуждается в срочной медицинской помощи. Обычное исследование выполняется в следующем порядке.

  • Придя в клинику к назначенному времени, пациент входит в рентген-кабинет и готовится к процедуре.
  • Медсестра помогает пациенту лечь на стол и принять нужную позу, прикрыв туловище пациента свинцовой накидкой, чтобы снизить уровень облучения организма.
  • Для снимка в прямой проекции пациента укладывают на спину с согнутыми в коленях ногами, стопы которых стоят на поверхности стола.
  • Для снимка в боковой проекции пациенту помогают принять положение лежа на боку так, чтобы поврежденная нога оказалась снизу.
  • Для более точной диагностики может понадобиться съемка в прямой тыльной проекции (лежа на животе, с пяткой, обращенной кверху) или в косой проекции с углом поворота около 30 градусов.
  • При диагностике плоскостопия выполняется снимок с нагрузкой: пациент стоит на одной ноге, поджав вторую.

Сразу после окончания съемки изображения распечатывают или переносят на электронный носитель для передачи пациенту.

  • icon

    Показания

    icon

    Направление на рентген голеностопа выдает травматолог, ортопед, ревматолог или онколог при:

    • острой боли, опухании, появлении кровоподтека в области сустава;
    • невозможности опереться на конечность;
    • признаках остеомиелита;
    • врожденных патологиях строения костей;
    • подозрении на опухоль или метастазы;
    • симптомах остеоартроза или артрита.
  • icon

    Подготовка к процедуре

    icon

    Специально готовиться к рентгену голеностопного сустава не нужно: исследование может проводиться в любое время, когда в нем возникнет потребность. Непосредственно перед процедурой необходимо:

    • снять обувь и носки или другую одежду, которая может помешать выполнению снимков;
    • снять с ноги браслеты и другие украшения из металла, если они есть;
    • защитить туловище от облучения специальной свинцовой накидкой.
  • icon

    Противопоказания

    icon

    Не рекомендуется выполнять рентген лодыжки:

    • во время беременности и кормления младенца;
    • детям, не достигшим 15 лет;
    • людям в тяжелом состоянии.

    Перечисленные состояния не являются поводом к абсолютному запрету. Решение об исследовании в каждом конкретном случае принимает лечащий врач.

Клиника академика Ройтберга АО «Медицина»

Преимущества клиники

Пациенты, которым необходимо сделать рентген голеностопа в Москве, обращаются в клинику «Медицина», чтобы воспользоваться ее преимуществами, в числе которых:

  • цифровая рентгенографическая техника последнего поколения;
  • высокая квалификация рентгенологов-диагностов;
  • оказание медицинских услуг в соответствии со стандартами лучших западных клиник;
  • удобный график работы медицинского учреждения;
  • привлекательная стоимость диагностики.

Адрес клиники:

г. Москва, 2-й Тверской-Ямской переулок, 10

Оборудование

В нашей клинике для рентгенографии костей голени и стопы используется цифровой аппарат последнего поколения, обеспечивающий максимальную четкость снимков благодаря оцифровке получаемых данных. Скорость исследования тоже увеличена в несколько раз, как и чувствительность приемного экрана, что позволяет существенно снизить дозу облучения в процессе диагностики. Снимки сразу после фиксации становятся доступны для вывода на печать или перенос на электронный носитель.

Цены на рентген голеностопного сустава

  • Название услуги
    Цена
  • Описание и интерпретация рентгенографических изображений
    6 930 руб.
  • Рентгенография голеностопного сустава
    5 720 руб.

Назначьте дату рентгена голеностопного сустава

Медицинский администратор свяжется с вами и согласует удобное время процедуры

form

Врачи

Высококвалифицированные врачи-рентгенологи, работающие в нашей клинике, обеспечивают максимальную достоверность и точность диагностики. Помимо качественных снимков, они предоставят в распоряжение пациента подробное медицинское заключение по поводу рентгена голени или другого вида исследований.

Наши врачи

Врач-рентгенолог высшей категории, European society of radiology
Бушов
Игорь Викторович
Стаж 42 года
Рентген
Врач рентгенолог, член European Society of Radiology
Романов
Роман Владимирович
Стаж 24 года
Рентген

Вопросы и ответы

doctor
Бушов
Игорь Викторович
Стаж 42 года
Врач-рентгенолог высшей категории, European society of radiology
  • Что показывает рентген голеностопного сустава?

    На снимке опытный диагност легко различает:

    • трещины или переломы костей;
    • вывихи сустава;
    • наличие новообразований;
    • признаки воспалительных процессов;
    • нарушения костной структуры;
    • кальциноз сосудов нижней конечности;
    • некротический процесс мягких тканей;
    • наличие пяточной шпоры;
    • врожденные или приобретенные деформации костей.
  • Как делают рентген голеностопного сустава?

    Рентгенографическое обследование лодыжки обычно проводят в оборудованном кабинете клиники, в котором установлена специальная аппаратура. Если пациент лишен возможности самостоятельно передвигаться, рентгенолог с портативной рентген-установкой посетит его на дому. Во время процедуры не возникает неприятных ощущений или болей. Продолжительность исследования составляет не более 10-15 минут.

Оставьте заявку, мы Вам перезвоним

Узнать подробности проведения процедуры, цены на рентген голеностопного сустава Вы можете по телефону:

+7 (495) 775-73-60
Лицензии
Лицензия на осуществление медицинской деятельности № Л041-00110-77/00363409 Срок действия: бессрочная
Ваш браузер устарел рекомендуем обновить его до последней версии
или использовать другой более современный.