Адрес
г. Москва, 2-й Тверской-Ямской переулок, дом 10, Метро «Маяковская» (5 мин. пешком)
Режим работы
График работы клиники «Медицина»
Пн-пт — с 08-00 до 21-00
Сб — с 09-00 до 19-00
Вс — с 09-00 до 15-00

График работы клиники в ноябре 2025 года
— 1 ноября 2025 г. – рабочий день по графику понедельника (сокращенный на 1 час рабочий день) – с 08:00 до 20:00;
— 2 ноября 2025 г. – рабочий день по графику воскресенья – с 09:00 до 15:00;
— 3 ноября 2025 г. – рабочий день по графику субботы – с 09:00 до 19:00;
— 4 ноября 2025 г. – праздничный день;
— 5 ноября 2025 г. – рабочий день по графику среды – с 08:00 до 21:00;

Круглосуточно работают
— Стационар (круглосуточная госпитализация)
— Скорая медицинская помощь
— Магнитно-резонансная томография
— Ультразвуковая диагностика
— Рентген-радиология


En
878 218 Пациентов
Благодарных пациентов получили помощь в АО «Медицина»
более чем за 30-летнюю работу клиники (основана в 1990 году)
Круглосуточно. We speak English
Более 30 лет
лидеру отечественного здравоохранения*
En Записаться на приём

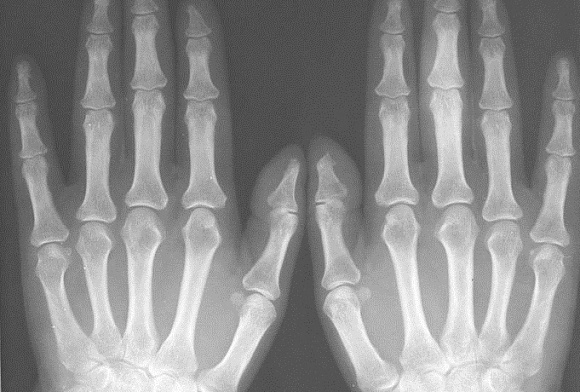
Рентген кисти рук

Чтобы выяснить состояние костно-мышечной системы верхних конечностей, травматолог или ортопед назначает пациенту рентген кисти руки.

Цена исследования невысока, выполняется оно очень просто и быстро, поэтому при травмах и заболеваниях рук рентгеновские снимки, как правило, становятся основной диагностической процедурой.

С их помощью лечащий врач выявляет патологические изменения, которые невозможно обнаружить при визуальном осмотре, и выбирает схему лечения, которая быстрее и эффективнее прочих позволит восстановить функции кисти и запястья.

  • Стандарты безопасности лечения, признанные международной комиссией JCI
  • Первая частная клиника, сертифицированная Росздравнадзором
  • Премия Правительства РФ в области качества

О процедуре

Из-за высокой востребованности диагностического метода сделать рентген руки в Москве можно либо по предварительной записи, либо по неотложным показаниям, связанным с травматическим повреждением конечностей.

  • В рентгенологическом кабинете пациент снимает с рук кольца, часы и другие изделия из металла.
  • На туловище надевают свинцовую накидку для защиты здоровых тканей от облучения.
  • Пациент кладет кисти на стол рентгеновского аппарата для съемки в прямой проекции – ладонями вниз, с распрямленными и слегка разведенными пальцами.
  • Для снимков в боковой проекции медицинская сестра помогает уложить руки боком, с выступающими вперед большими пальцами.
  • При необходимости выполняют снимки в косых проекциях – ладонной и тыльной.
  • Возможно, для наиболее точной диагностики понадобятся прицельные снимки отдельных костей.

Длительность процедуры обычно не превышает четверти часа, по ее окончании пациент получает результаты в виде классических изображений на бумаге либо в электронном формате.

  • icon

    Показания

    icon

    Ортопед или травматолог назначает рентген кисти руки при:

    • травмах пальцев, ладоней или запястий – ушибах мягких тканей, переломах или вывихах костей;
    • болях, возникающих после физических усилий либо в спокойном состоянии;
    • видимых деформациях суставов;
    • сильной отечности мягких тканей кистей;
    • чрезмерном выпячивании сосудистого рисунка;
    • подозрении на воспалительный процесс;
    • подозрении на образование опухоли;
    • врожденных или приобретенных суставных дефектах.
  • icon

    Подготовка к процедуре

    icon

    Специально готовиться к рентгену руки не нужно. Достаточно вовремя явиться в рентген-кабинет и во время обследования тщательно выполнять все просьбы врача-рентгенолога.

  • icon

    Противопоказания

    icon

    Нежелательно проводить исследование:

    • беременным и кормящим женщинам;
    • детям до 14 лет;
    • людям в тяжелом состоянии;
    • пациентам, недавно делавшим рентген других органов.

    В каждом отдельном случае решение о проведении диагностики принимает лечащий врач, который сопоставляет риски возможного вреда и необходимость выявления нарушений костно-мышечных структур.

Клиника академика Ройтберга АО «Медицина»

Преимущества клиники

Обратитесь в клинику «Медицина» по поводу рентгена запястья или кисти. Воспользуйтесь преимуществами, которые мы предоставляем своим пациентам.

  • Высококвалифицированные рентгенологи-диагносты.
  • Современное цифровое рентгеновское оборудование.
  • Медицинский сервис мирового уровня.
  • Возможность пройти обследование после работы или в выходной.
  • Удобное местоположение клиники в центре столицы.
  • Доступные цены на рентген руки в Москве.

Адрес клиники:

г. Москва, 2-й Тверской-Ямской переулок, 10

Назначьте дату рентгена кисти рук

Медицинский администратор свяжется с вами и согласует удобное время процедуры

form

Стоимость

Доступные цены на рентген кисти руки в Москве – один из основополагающих принципов деятельности нашей клиники. Мы хотим, чтобы как можно больше москвичей и гостей столицы имели доступ к качественной современной диагностике.

Цены на рентген кисти рук

  • Название услуги
    Цена
  • Рентгенография запястья
    4 400 руб.
  • Рентгенография пясти
    4 400 руб.
  • Рентгенография кисти
    4 400 руб.
  • Рентгенография фаланг пальцев кисти
    4 400 руб.
  • Рентгенография I пальца кисти
    4 400 руб.
  • Рентгенография лучезапястного сустава
    4 400 руб.
  • Описание и интерпретация рентгенографических изображений
    6 300 руб.

Оборудование

Для выполнения рентгена кисти и других радиологических исследований в нашей клинике используется современное цифровое оборудование, позволяющее делать снимки высокой четкости. Превосходная детализация изображений создает благоприятные условия для постановки точного диагноза и назначения наиболее эффективного лечения. Период воздействия рентгеновских лучей на пациента сокращен в два-три раза. Это означает, что существенно снизилась лучевая нагрузка на организм во время процедуры, и риски неблагоприятных побочных эффектов сведены к минимуму. Результирующие снимки пациент получает на руки сразу по окончании сеанса в виде изображений на бумаге или в цифровом формате на электронном носителе.

Врачи

Обращаясь в клинику АО «Медицина», вы делаете выбор в пользу рентгенологов высшей категории, которые с предельной точностью и аккуратностью делают рентген кисти и оказывают другие услуги лучевой диагностики. Многолетний опыт, безукоризненная репутация и международная известность наших врачей служат гарантией высокой информативности и достоверности исследования.

Наши врачи

Врач-рентгенолог высшей категории, European society of radiology
Бушов
Игорь Викторович
Стаж 41 год
Рентген
Врач рентгенолог, член European Society of Radiology
Романов
Роман Владимирович
Стаж 23 года
Рентген

Вопросы и ответы

doctor
Бушов
Игорь Викторович
Стаж 41 год
Врач-рентгенолог высшей категории, European society of radiology
  • Что показывает рентген кисти рук?

    Опытный рентгенолог выявляет на снимках практически любые патологические изменения костных структур и мягких тканей, в том числе:

    • кисты (полостные опухоли доброкачественного характера);
    • синовиты (жидкость в суставах);
    • теносиновиты (воспаления сухожилий);
    • кальцификаты и остеофиты;
    • признаки остеопороза;
    • переломы, трещины, вывихи, ушибы и другие травматические повреждения.
  • Как делают рентген кисти?

    Как правило, для рентгеновского исследования кистей рук необходимо посетить специально оборудованный кабинет клиники. Если больной малотранспортабелен, то возможно проведение рентгена кистей на дому при помощи портативной установки. Процедура абсолютно безболезненна и практически безвредна благодаря пониженному уровню облучения при использовании современной цифровой техники.

Оставьте заявку, мы Вам перезвоним

Узнать подробности проведения процедуры, цены на рентген кисти рук:

+7 (495) 775-73-60
Лицензии
Лицензия на осуществление медицинской деятельности № Л041-00110-77/00363409 Срок действия: бессрочная
Ваш браузер устарел рекомендуем обновить его до последней версии
или использовать другой более современный.