Адрес
г. Москва, 2-й Тверской-Ямской переулок, дом 10, Метро «Маяковская» (5 мин. пешком)
Режим работы
График работы клиники «Медицина»
Пн-пт — с 08-00 до 21-00
Сб — с 09-00 до 19-00
Вс — с 09-00 до 15-00


Круглосуточно работают
— Стационар (круглосуточная госпитализация)
— Скорая медицинская помощь
— Магнитно-резонансная томография
— Ультразвуковая диагностика
— Рентген-радиология


График работы клиники в марте 2026 года
— 7 марта 2026 г. – рабочий день по графику субботы, с 09-00 до 19-00;
— 8 марта 2026 г. – праздничный день;
— 9 марта 2026 г. – рабочий день по графику воскресенья, с 09-00 до 15-00

En
878 218 Пациентов
Благодарных пациентов получили помощь в АО «Медицина»
более чем за 30-летнюю работу клиники (основана в 1990 году)
Круглосуточно. We speak English
Более 30 лет
лидеру отечественного здравоохранения*
En Записаться на приём

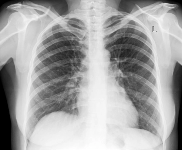
Рентген легких

Наиболее популярным методом исследования, используемым для диагностики заболеваний дыхательной системы, является рентген легких. Так называют процедуру, во время которой область грудной клетки просвечивают рентгеновскими лучами, а полученное изображение проецируют на фотопленку.


Благодаря тому, что ткани внутренних органов имеют различную плотность, на снимке хорошо видны уплотнения, очаги воспаления и другие патологии. Рентгеновские снимки позволяют выявить туберкулез, злокачественную опухоль, пневмонию, последствия травм, другие заболевания и состояния, требующие лечения.

Рентген легких
  • Стандарты безопасности лечения, признанные международной комиссией JCI
  • Первая частная клиника, сертифицированная Росздравнадзором
  • Премия Правительства РФ в области качества

Преимущества лечения в клинике академика Ройтберга АО «Медицина»

Пациенты, которые привыкли делать рентген легких в Москве платно, чтобы получить качественные снимки, отдают предпочтение клинике «Медицина», поскольку у нас:
  • advantag

    Современное оборудование

    Процедура выполняется на современном оборудовании, обеспечивающем высокую четкость изображений и минимальную лучевую нагрузку на организм

  • advantag

    Врачи с большим опытом

    Прием ведут высококвалифицированные рентгенологи с многолетним опытом диагностики легочных заболеваний

  • advantag

    Уровень обслуживания

    Медицинские услуги предоставляются в соответствии с «золотым стандартом» международного уровня

  • advantag

    Удобное время

    Процедуру можно пройти в удобное для вас время, в том числе вечером или в выходной день

  • advantag

    Награды клиники

    Заслуги клиники отмечены множеством наград от российских и международных организаций, а также от Правительства России

О процедуре

Рентген легких в Москве является наиболее популярным видом диагностики благодаря своей доступности и информативности. Существует два основных метода: обзорный, когда делают снимки органа целиком, и прицельный, когда необходимо уделить внимание отдельным участкам легкого. Стандартное исследование выполняется в следующем порядке.


Пациент раздевается до пояса, снимает металлические украшения, поднимает волосы вверх, надевает свинцовый фартук.

Наиболее часто снимки выполняются в положении стоя: пациента просят встать между излучателем и принимающим устройством.

Врач просит сделать вдох и задержать дыхание на несколько секунд, затем повернуться боком к излучателю, поднять руки и повторить процедуру.

В некоторых случаях требуется уложить больного на стол, чтобы сделать снимок в косой проекции.

  • icon

    Показания и подготовка

    icon

    Поскольку цена рентгена легких невелика, то его назначают во время первичного обследования при подозрении на:

    • пневмонию, вызванную различными причинами;
    • другие воспалительные заболевания;
    • доброкачественные и злокачественные новообразования;
    • распространение метастазов из другого органа;
    • туберкулез;
    • патологии легочных сосудов;
    • травмы грудной клетки, при которых могут быть повреждены легочные ткани;
    • профзаболевания, вызванные длительным пребыванием в запыленном помещении;
    • эхинококкоз и другие паразитарные инвазии;
    • патологии позвоночника, локализованные в грудном отделе.

    Подготовка к процедуре

    Сделать рентген легких в Москве можно в любое удобное для вас время, так как специально готовиться к исследованию не нужно. Непосредственно перед процедурой нужно:

    • раздеться до пояса;
    • снять с себя металлические украшения, которые носят на шее и грудной клетке (цепочки, пирсинг), ремень с металлической пряжкой;
    • надеть освинцованный фартук на нижнюю половину тела.
  • icon

    Противопоказания

    icon

    Не рекомендуется делать рентген легких:

    • детям и подросткам;
    • женщинам с беременностью на любом сроке;
    • при наличии открытой раны или кровотечения в исследуемой области;
    • при открытом пневмотораксе;
    • пациентам в тяжелом состоянии.

    Однако существуют ситуации, в которых на первое место выступает возможность быстро получить информацию о состоянии пациента. Даже при наличии противопоказаний решение о выполнении обследования принимает рентгенолог или пульмонолог, осуществляющий лечение.

Оборудование

Для выполнения процедуры желательно выбрать медицинское учреждение, где сделают рентген легких с минимальной степенью облучения организма. Именно такое оборудование последнего поколения установлено в клинике академика Ройтберга. Вы получите высококачественные, четкие и информативные снимки с подробной расшифровкой, раскрывающей содержание элементов изображения. По вашему желанию информация может быть получена на цифровом носителе.

Назначьте дату рентгена легких

Медицинский администратор свяжется с вами и согласует удобное время процедуры

form

Стоимость

Узнайте, сколько стоит рентген легких, позвонив в клинику по телефону  +7 (495) 775-73-60. Для ознакомления мы предлагаем нижеследующую таблицу, в которой приведены цены на наиболее распространенные исследования. Если потребуется более сложная процедура, ее стоимость будет рассчитана индивидуально.

Цены на Рентген легких

  • Название услуги
    Цена
  • Рентгенография легких
    8 910 руб.
  • Описание и интерпретация рентгенографических изображений
    6 930 руб.

Врачи

Рентгенологи, выполняющие исследования легких в нашей клинике, обладают огромным опытом проведения диагностики этого органа. Многим из них присвоена высшая врачебная категория, свидетельствующая о высокой квалификации в своей специальности.

Наши врачи

Врач-рентгенолог высшей категории, European society of radiology
Бушов
Игорь Викторович
Стаж 42 года
Рентген
Врач рентгенолог, член European Society of Radiology
Романов
Роман Владимирович
Стаж 24 года
Рентген

Вопросы и ответы

doctor
Бушов
Игорь Викторович
Стаж 42 года
Врач-рентгенолог высшей категории, European society of radiology
  • Что показывает рентген легких?

    В диагностике заболеваний дыхательных органов рентген легких является одним из обязательных исследований, которое выполняют на начальном этапе лечения. Он позволяет обнаружить очаги воспаления и гнойные процессы, уплотнения в тканях, наличие полостей, в том числе заполненных жидкостью, патологические скопления воздуха (пневмоторакс), разрывы тканей, кровоизлияния, патологии легочных сосудов и др.
  • Как часто можно делать рентген легких?

    В профилактических целях рентген легких рекомендуют делать не чаще раза в два года. При необходимости диагностики тяжелой болезни или травмы частоту исследований определяет пульмонолог: в некоторых случаях процедуру выполняют даже несколько раз в неделю.
  • Рентген легких показывает коронавирус?

    При коронавирусной инфекции рентгеновский снимок не покажет наличие возбудителя в организме, но поможет обнаружить патологические изменения, развивающиеся в легочной ткани: очаги воспалительного процесса, фиброз и др.
  • Рентген легких показывает пневмонию?

    При подозрении на пневмонию рентген легких является обязательной диагностической процедурой, которая показывает наличие участков затемнения или воспалительных очагов, а также состояние и структуру легочных тканей. В дальнейшем при необходимости могут быть назначены другие виды исследований.
Лицензии
Лицензия на осуществление медицинской деятельности № Л041-00110-77/00363409 Срок действия: бессрочная
Ваш браузер устарел рекомендуем обновить его до последней версии
или использовать другой более современный.