Адрес
г. Москва, 2-й Тверской-Ямской переулок, дом 10, Метро «Маяковская» (5 мин. пешком)
Режим работы
График работы клиники «Медицина»
Пн-пт — с 08-00 до 21-00
Сб — с 09-00 до 19-00
Вс — с 09-00 до 15-00

График работы клиники в ноябре 2025 года
— 1 ноября 2025 г. – рабочий день по графику понедельника (сокращенный на 1 час рабочий день) – с 08:00 до 20:00;
— 2 ноября 2025 г. – рабочий день по графику воскресенья – с 09:00 до 15:00;
— 3 ноября 2025 г. – рабочий день по графику субботы – с 09:00 до 19:00;
— 4 ноября 2025 г. – праздничный день;
— 5 ноября 2025 г. – рабочий день по графику среды – с 08:00 до 21:00;

Круглосуточно работают
— Стационар (круглосуточная госпитализация)
— Скорая медицинская помощь
— Магнитно-резонансная томография
— Ультразвуковая диагностика
— Рентген-радиология


En
878 218 Пациентов
Благодарных пациентов получили помощь в АО «Медицина»
более чем за 30-летнюю работу клиники (основана в 1990 году)
Круглосуточно. We speak English
Более 30 лет
лидеру отечественного здравоохранения*
En Записаться на приём

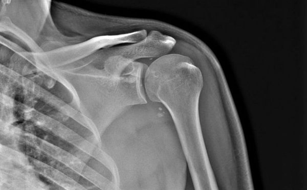
Рентген плечевого сустава

Наиболее доступный и информативный способ диагностики дисфункции плечевого сустава – рентгенография, т. е. исследование, выполняемое при помощи просвечивания больного плеча рентгеновским излучением.

В результате врач-рентгенолог получает серию изображений, которые в достаточно полном объеме раскрывают изменения в строении костных и хрящевых тканей, суставной сумки и прилегающих мягких тканей.

На основании снимков лечащий врач (травматолог, ортопед, хирург либо ревматолог) разрабатывает эффективную схему лечения пациента.

  • Стандарты безопасности лечения, признанные международной комиссией JCI
  • Первая частная клиника, сертифицированная Росздравнадзором
  • Премия Правительства РФ в области качества

О процедуре

Чтобы сделать рентген плечевого сустава, необходимо заранее записаться на определенное время в рентгеновский кабинет. Если же необходимость исследования вызвана травмой, его проводят во внеочередном порядке.

  • Пациент освобождает плечевой пояс от одежды и металлических предметов, затем ложится на стол рентгеновской установки.
  • Врач-рентгенолог помогает принять правильное положение, наиболее полно раскрывающее особенности строения сустава.
  • Во время съемки пациент сохраняет полную неподвижность.
  • После первого снимка больной при помощи врача изменяет позу, чтобы выполнить съемку в другой проекции.
  • При необходимости некоторые снимки делают в положении стоя.
  • icon

    Показания

    icon

    Рентген плеча назначают в случаях:

    • появления острой боли в суставе;
    • травме плеча – вывихе или подвывихе сустава, переломе или трещине в кости, ушибе мягких тканей;
    • развитии симптомов, позволяющих заподозрить наличие опухоли;
    • ограничении подвижности сустава;
    • врожденных либо приобретенных из-за болезни деформаций;
    • появления симптомов воспалительного процесса – припухлости, покраснения, отека, боли, повышения температуры;
    • подозрения на наличие в суставной сумке инородного тела.

    Кроме того, исследование назначают для контроля результативности лечения.

  • icon

    Подготовка к процедуре

    icon

    Специально готовиться к исследованию не нужно. Непосредственно перед процедурой следует снять металлические украшения, часы, одежду и белье с металлическими застежками, которые могут ухудшить качество снимков.

  • icon

    Противопоказания

    icon

    Желательно воздерживаться от лучевых диагностических исследований:

    • беременным и кормящим женщинам;
    • детям до 15 лет;
    • людям, которые перед этим неоднократно подвергались облучению по другим причинам.

    Однако абсолютного запрета на рентген плечевого сустава не существует: лечащий врач в каждом случае самостоятельно определяет необходимость исследования.

Клиника академика Ройтберга АО «Медицина»

Преимущества клиники

Постоянные пациенты АО «Медицина» предпочитают делать рентген плеча и другие виды рентгенографических исследований в нашей клинике, поскольку мы предлагаем лучшие условия для диагностики любых заболеваний:

  • современный цифровой аппарат для рентгенографии;
  • собственная лаборатория, оснащенная для выполнения любых исследований;
  • высококвалифицированные рентгенологи и врачи других специальностей;
  • медицинский сервис, соответствующий наиболее жестким международным нормам;
  • удобное местоположение больницы в центре Москвы;
  • возможность пройти диагностику после работы или в выходной день;
  • привлекательные цены на рентген плеча и другие услуги.

Адрес клиники:

г. Москва, 2-й Тверской-Ямской переулок, 10

Оборудование

В клинике «Медицина» нормой для рентгена плечевого сустава или других видов исследований стало выполнение снимков при помощи современного цифрового оборудования. Оно выгодно отличается от аппаратов предыдущего поколения пониженной лучевой нагрузкой на организм. Это означает, что процедура стала намного более безопасной для пациентов. При этом качество снимков заметно улучшилось, так как цифровая обработка делает изображения более четкими и информативными. Постановка диагнозов на их основе стала более простой и безошибочной. Пациент получает результат в виде обычных снимков на бумаге либо в электронном виде.

Назначьте дату рентгена плечевого сустава

Медицинский администратор свяжется с вами и согласует удобное время процедуры

form

Стоимость

Клиника «Медицина» поддерживает адекватные цены на рентген плечевого сустава и других органов. Наша ценовая политика направлена на обеспечение доступа широкого круга пациентов к качественному медицинскому сервису.

Цены на рентген плечевого сустава

  • Название услуги
    Цена
  • Рентгенография плечевой кости
    6 000 руб.
  • Описание и интерпретация рентгенографических изображений
    6 300 руб.
  • Рентгенография плечевого сустава
    5 200 руб.

Врачи

Работающие у нас высококвалифицированные рентгенологи обладают многолетним опытом практической диагностики, что обеспечивает высокую информативность исследований. Сделанные ими снимки и заключения позволяют безошибочно распознавать патологии плечевого сустава и других внутренних органов.

Наши врачи

Врач-рентгенолог высшей категории, European society of radiology
Бушов
Игорь Викторович
Стаж 41 год
Рентген
Врач рентгенолог, член European Society of Radiology
Романов
Роман Владимирович
Стаж 23 года
Рентген

Вопросы и ответы

doctor
Бушов
Игорь Викторович
Стаж 41 год
Врач-рентгенолог высшей категории, European society of radiology
  • Что показывает рентген плечевого сустава?

    Рентгеновские снимки позволяют обнаруживать даже незначительные патологические изменения в костной и хрящевой ткани сустава: наличие воспалительного процесса, гноя, некротического поражения, деформации костей, скопления жидкости в суставной сумке и т. д. Наиболее явственно исследование показывает травматические повреждения костной ткани – переломы, трещин, наличие отломков кости. Помимо плечевого сустава, на снимке присутствует лопаточная кость и ключица, что обеспечивает комплексный подход к диагностике.
  • Как делают рентген плечевого сустава?

    Рентгеновское исследование плеча выполняется в специальном кабинете клиники, в котором установлен рентгеновский аппарат. Если пациент ограничен в передвижениях, то бригада рентгенологов прибудет к нему на дом с портативной установкой, чтобы сделать необходимые снимки. Процедура полностью безболезненна и не занимает много времени: чтобы сделать снимки в нескольких проекциях, достаточно всего 10-15 минут.

Оставьте заявку, мы Вам перезвоним

Узнать подробности проведения процедуры, цены на рентген плечевого сустава:

+7 (495) 775-73-60
Лицензии
Лицензия на осуществление медицинской деятельности № Л041-00110-77/00363409 Срок действия: бессрочная
Ваш браузер устарел рекомендуем обновить его до последней версии
или использовать другой более современный.