Флюороз
Флюороз — патология, поражающая зубную эмаль временного или постоянного прикуса человека. Заболевание развивается на фоне попадания в организм ребенка или взрослого избыточного количества фтора или его соединений. Флюороз ранних стадий характеризуется появлением зубах пациентов белесых пятен или полос. Окраска первичных очагов постепенно меняется, обретая желтый и темно-коричневый цвет. Осложненное течение патологии может сопровождаться поражением костных тканей скелета. Диагностика и лечение заболевания выполняется стоматологами.
Общие сведения
Первые описания патологии были сделаны европейскими врачами в конце XIX века. В тот период заболеванием именовалось «пятнистой эмалью», а причины его появления оставались неизвестными. В начале 1930-х годов американские стоматологи провели исследования и выяснили, что поражение зубной эмали становится следствием избыточного количества фтористых соединений, поступающих в организм человека вместе с питьевой водой. Видоизмененное латинское обозначение фтора — fluorom — стало названием заболевания.
Причины
Повышенная концентрация фтористых соединений в питьевой воде рассматривается врачами в качестве основной причины, вызывающей флюороз. Фтор необходим человеческому организму для поддержания различных физиологических процессов. Максимальное количество вещества накапливается в костных тканях и структурах зубов. Избыток элемента приводит к формированию очагов пигментации на зубной эмали.
Симптомы патологии выявляются у пациентов различных возрастных групп. Характерные полосы и точки на зубных единицах выявляются при прорезывании постоянных зубов у детей, проживавших в регионах с высокой концентрацией фтора в воде (более 3 мг на литр жидкости). В редких случаях стоматологи диагностируют у младенцев врожденный флюороз. Причиной этого явления становятся патологии внутриутробного развития плода, развивающиеся на фоне употребление матерью воды, перенасыщенной фтором (от 6 мг на литр, в нормальных условиях плацента препятствует поступлению избытка фтора к плоду).
Виды патологии
В процесс диагностики заболевания врачи определяют причину его возникновения, выделяя профессиональный и эндемический флюороз. Первый вид патологии возникает у лиц, работающих на промышленных предприятиях (фтор используется при изготовлении некоторых сплавов, частицы вещества попадают в воздух и вдыхаются сотрудниками заводов). Заболевания эндемического характера диагностируется у жителей регионов с неблагоприятной экологической обстановкой.
Выявляемые у пациентов особенности повреждения эмали позволяют стоматологам выделять пять форм заболевания:
- пятнистую,
- штриховую,
- меловидно-крапчатую,
- эрозивную,
- деструктивную.
Зубные единицы пациента могут поражаться несколькими формами заболевания одновременно. Исследования американских стоматологов показали, что первичный тип патологии может сохраняться у пациента на протяжении всей жизни. Повреждение эмали обретает хроническое течение и обостряется при поступлении в организм мужчины или женщины избыточного количества фтора.
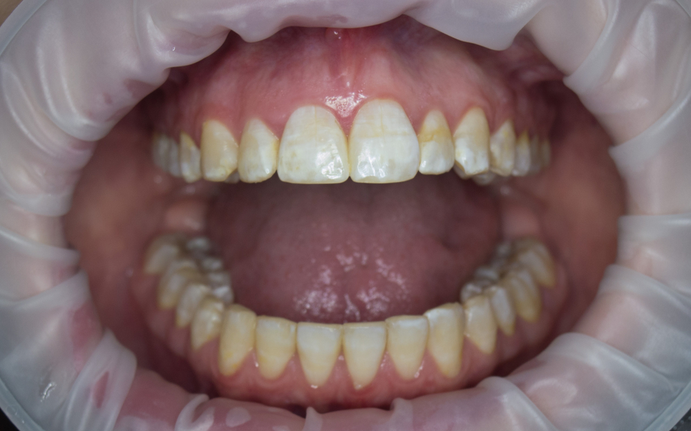
Симптомы
Флюороз обладает специфическими симптомами. При эндемической форме заболевания на поверхности зубных единиц появляются белые полосы или пятна. В течение нескольких лет они меняют окраску, становясь желтыми и бурыми. Очаги патологии формируются на резцах верхней челюсти. Накопление в организме пациента значительных объемов фтора приводит к поражениям других зубов, появлению на эмали многочисленных сколов и очагов эрозии.
Штриховой тип патологии сопровождается появлением на поверхности резцов тонких полос, заметных при высыхании зубов. В редких случаях несколько полос могут объединиться в крупное пятно.
Многочисленные мелкие точки белесой окраски на внешних поверхностях резцов, клыков или премоляров характерны для пятнистой формы заболевания. Пятна обладают блестящей гладкой поверхностью, плавно переходящей в здоровую зубную эмаль.
Меловидно-крапчатый флюороз проявляется в виде матовых очагов пигментации на поверхности зубов. Пятна окрашены в желтый цвет, внутри них присутствуют мелкие участки деструкции. Зубная эмаль склонна к быстрому разрушению — сквозь истонченную поверхность можно разглядеть темно-коричневый дентин.
Эрозивный тип заболевания характеризуется формированием крупных очагов деструкции зубной эмали. Эрозии возникают на жевательных поверхностях моляров и премоляров.
Деструктивный вид патологии может стать причиной разрушения не только эмали, но и твердых зубных тканей. Зубы пациента становятся хрупкими — в тяжелых случаях возможны переломы или глубокие сколы коронок.
Диагностические мероприятия
Диагностика заболевания выполняется стоматологом при осмотре полости рта ребенка или взрослого. Подтверждение диагноза не требует от пациента прохождения аппаратных исследований или сдачи биоматериалов для лабораторных тестов.
Лечение
Флюороз нуждается в комплексном лечении. После подтверждения диагноза стоматолог может рекомендовать пациенту сдать образцы употребляемой питьевой воды в лабораторию. Анализ жидкости лаборантами позволит установить концентрацию фтора. В случае превышения нормы (2–2,5 мг на литр) взрослым и детям не следует использовать данную воду для питья и приготовления пищи. Лицам, страдающим от избыточной минерализации эмали, необходимо отказаться от зубных паст и ополаскивателей для полости рта с содержанием фтора.
Медикаментозное лечение направлено на вывод из организма пациента избытков фтористых соединений. Пациентам назначаются препараты, содержащие кальций и фосфор. При легких формах патологии стоматологи выполняют химическое или светодиодное отбеливание зубов детей и взрослых. После этой процедуры врачи осуществляют реминерализацию эмали, нанося на ее поверхность препараты фосфора и кальция посредством ультрафонофореза или электрофореза. Количество процедур определяется стоматологом на основании клинической картины заболевания.
Деструктивная и меловидно-крапчатая формы патологии могут привести к необходимости реставрации зубов с помощью виниров или люминиров. Частичное или полное разрушение резцов, клыков, премоляров или моляров становится показанием для обращения пациента к ортопеду. Врач определит наиболее эффективный метод восстановления целостности верхнего или нижнего зубного ряда.
проверена экспертом
Профилактические меры
Флюороз развивается в течение длительного времени — профилактика патологии направлена на снижение количества фтора, попадающего в организм человека. Взрослым и детям, проживающим в регионах с неблагоприятной экологической обстановкой, рекомендуется исключить из рациона фторсодержащие продукты (рыбу, сливочное масло, злаки, картофель) и ограничить использование гигиенических средств с содержанием фтористых соединений (зубные пасты, ополаскиватели для полости рта).
Диагностика и лечение флюороза в Москве
АО «Медицина» (клиника академика Ройтберга) обладает всем необходимым оборудованием для диагностики и лечения избыточной минерализации зубной эмали. Прием пациентов осуществляется в современном диагностическом комплексе, построенном с учетом последних достижений медицины.
Вопросы и ответы

Источники
- Намханов В.В. Современный взгляд на флюороз // Вестник Бурятского государственного университета. Медицина и фармация. - 2021. Источник: sciup.org
- Керимли Н.К. Краткий обзор методов профилактики флюороза зубов // Проблемы современной науки и образования. - 2021. Источник: scienceproblems.ru
- Тиунова Н.В., Набережнова С.С. Минимально-инвазивное лечение флюороза зубов //Медицинский альманах. - 2022. Источник: medalmanac.ru
- Куприна И.В. Случаи флюороза зубов в Кемеровской области // Медицина в Кузбассе. - 2023. Источник: mednauki.ru
- Набережнова С.С., Тиунова Н.В. Особенности выбора минимально-инвазивного лечения пятнистой формы флюороза зубов // Медицинский альманах. - 2022. Источник: medalmanac.ru
Оставьте заявку, мы Вам перезвоним
Узнать подробности проведения процедуры, цены на имплантацию Вы можете по телефону:
+7 (495) 775-73-60