Рак молочной железы – симптомы и лечение
Рак молочной железы (РМЖ) – общее название целого ряда онкозаболеваний. Для каждого из них характерно появление опухоли в области груди, которая имеет злокачественный характер. Примерно 99 % пациентов, у которых заболевания диагностированы, – женщины, и только 1 % случаев приходится на мужчин. Другое название этой группы болезни – рак груди. Для заболевания характерно агрессивное течение, опухоль растет быстро, метастазирует в другие органы. Прогноз будет хорошим, если своевременно поставить диагноз и приступить к лечению.
Причины развития заболевания, факторы риска
Рак груди у женщин и мужчин представляет собой злокачественное перерождение клеток, которые затем образуют опухоль. Медицина не установила, как начинает работу этот внутриклеточный механизм. Поэтому ученые не всегда способны объяснить, почему возникает онкология молочной железы. Однако есть факторы, повышающие вероятность развития этой патологии.
Первый фактор – наследственность. Согласно статистике, если раком болела близкая родственница женщины, риск увеличивается в 2-3 раза, а если это родная сестра, то в 8 раз. Это связано с нарушениями в генах BRCA, которые в норме отвечают за регулировку роста здоровых клеток и предотвращение возможного появления злокачественных новообразований. У родственников выше вероятность одинаковых генных нарушений.
Следующий фактор – возраст. Риск возникновения онкологических заболеваний увеличивается у пациентов, которым исполнилось 50 лет. Дополнительно влияет климакс после 55 лет и месячные, которые начались ранее 12 лет, так как это означает продолжительное воздействие на организм гормонов эстрогена и прогестерона.
Еще один фактор – ранее перенесенное онкозаболевание того же органа либо репродуктивной системы.
Также вероятность рака молочной железы у женщин повышают:
- продолжительный прием гормональных контрацептивов либо лекарственных средств иного назначения, особенно если они влияют на баланс гормонов в организме;
- вредные привычки – многолетнее курение, неумеренное употребление алкоголя;
- неправильное питание – увлечение жирной, жареной пищей, частое употребление фастфуда;
- избыточный вес, низкая физическая активность;
- некоторые заболевания, например сахарный диабет.
По статистике, деторождение и естественное грудное вскармливание уменьшают риск.
У мужчин такие онкопатологии обычно развиваются на фоне гормонального дисбаланса или из-за генетической предрасположенности.
Многие из перечисленных факторов риска – управляемые. Можно в целях профилактики изменить образ жизни, чтобы уменьшить вероятность возникновения онкологических заболеваний.
Симптомы
Сначала признаки рака молочной железы малозаметны или вообще незаметны. Как следствие, опухоль обнаруживают не сразу, лечение приходится начинать, когда заболевание уже перешло на вторую-третью стадию. Небольшие новообразования сложно прощупать, но их легко выявить с помощью инструментальной диагностики. Поэтому надо периодически посещать врача, проходить осмотры и скрининговые обследования.
Возможные симптомы рака груди – это:
- повышенная чувствительность молочных желез, доходящая до болезненности;
- выделения из сосков, которые не имеют отношения к кормлению ребенка;
- уплотнения, которые можно почувствовать во время прощупывания;
- участки со втянутой кожей: они становятся заметны, если поднять руки;
- изменения цвета сосков или ареол;
- возникновение сыпи в области ареол;
- появление отеков, покраснений на коже, участков, покрытых «апельсиновой коркой»;
- втягивание сосков;
- возникновение небольших язв, которые не заживают в течение длительного времени;
- увеличение размеров подмышечных лимфоузлов.
Онкология груди – системное заболевание, которое отражается на всем организме. Поэтому его специфические проявления сочетаются с симптомами, характерными для всех онкологических заболеваний. Поводами для волнения, обращения к врачу могут быть:
- общая слабость;
- пониженная работоспособность;
- постоянное стремление ко сну;
- повышение температуры тела, причины которого неочевидны;
- потеря веса, ухудшение аппетита, заметное похудение.
Не стоит откладывать визит к врачу. Болезнь не пройдет самостоятельно, симптомы будут усугубляться. Форма груди исказится, появятся признаки, свидетельствующие об интоксикации организма продуктами жизнедеятельности раковых клеток. При движении рукой или плечом с той стороны, где находится злокачественное образование, будет ощущаться боль. К тому же лечение будет более длительным и сложным, если оно начато на средней или поздней стадии онкозаболевания.
Виды
Медицине известно примерно 200 видов онкозаболеваний, поражающих молочную железу. От точной диагностики онкопатологии зависит эффективность лечения рака груди.
По характеру разрастания выделяют два типа патологий:
- неинвазивные, или неинфильтрующие: они остаются в пределах органа, обычно находясь еще на начальной стадии, и, как правило, хорошо поддаются лечению;
- инвазивные, либо инфильтрующие: такие опухоли стремятся к прорастанию в другие ткани, лечить их существенно сложнее.
По расположению образования могут быть протоковыми либо дольковыми. Первые, соответственно, развиваются в тканях, которыми выстланы молочные протоки, вторые – в тканях долек молочной железы.
По клиническому течению можно говорить о двух формах болезней.
Узловая форма наблюдается особенно часто. На первых стадиях нет выраженных симптомов, женщины обычно обращаются к врачу из-за безболезненных уплотнений, обнаруженных случайно либо при прощупывании, которое проводилось для выявления возможных симптомов онкопатологии.
Диффузная форма – более агрессивная. Для нее характерны повышение температуры кожи на пораженном участке, отеки кожи и подкожных тканей, значительная местная распространенность, метастазирование.
По гистологическим признакам различают следующие разновидности онкозаболевания:
- папиллярное – растет в просвет млечного протока, уровень злокачественности обычно низкий;
- медуллярное – образуется опухоль большого объема с четко определенными границами, которая медленно разрастается;
- воспалительный, или маститоподобный, вид – сопровождается воспалением, из-за которого молочные железы отекают, в груди появляются уплотнения;
- аденокарцинома – возникает у женщин между 40 и 50 годами, опухоль склонна к метастазированию, быстро прорастает в другие ткани.
Специфическая разновидность – болезнь Педжета. Ее характерная особенность – появление злокачественного образования, которое поражает молочную железу рядом с соском. Она затрагивает протоки соска и околососковую область, сочетается с воспалением кожи. В результате уже на ранней стадии образуются язвы, которые могут покрыться корочками. Для болезни Педжета характерно медленное развитие, но со временем оно может затронуть другие участки груди.
Стадии
В своем развитии онкозаболевание проходит несколько стадий. На ранних этапах оно существенно лучше поддается терапии, поэтому важно обнаружить его как можно быстрее.
По всему миру применяется общая классификация TNM, которая описывает заболевание по трем параметрам:
- T – размер первичной опухоли;
- N – степень поражения лимфоузлов;
- M – наличие либо отсутствие метастазов.
Когда говорят про степени рака молочной железы, обычно учитывают в первую очередь параметр T, то есть размер опухоли. Можно выделить четыре стадии:
- Первая – диаметр новообразования составляет не более 2 сантиметров. Оно остается в границах протока либо дольки, в которых возникло. На этом этапе нет метастазов в лимфоузлы и прочие органы.
- Вторая – размер образования может составлять не менее 2 и не более 5 сантиметров. Оно распространяется за пределы молочной железы. Нередко наблюдаются метастазы в подмышечные лимфоузлы, находящиеся с той стороны, с которой располагается злокачественное образование, хотя это не обязательное условие.
- Третья – опухоль продолжает увеличиваться, диаметр превышает 5 сантиметров. Метастазы проникают в лимфатические узлы, которые находятся в груди и подмышечной впадине, но в иных органах признаки поражения отсутствуют.
- Четвертая – величина опухоли не имеет значения, главный критерий – метастазы в отдаленные органы. Чаще всего пораженными оказываются печень, легкие, кости. Метастазирование может затронуть головной мозг.
Степень поражения лимфатических узлов, которая обозначается буквой N, может выглядеть так:
- N0 – лимфоузлы не затронуты;
- N1, N2, N3 – наблюдается поражение различного количества лимфоузлов.
Наличие либо отсутствие метастазов в отдаленных органах обозначается как M0 или M1.
Также онкологи выделяют несколько степеней злокачественности опухоли.
Степень 1 – высокодифференцированное образование. Для него характерны клетки, которые похожи на нормальные, объединяются в маленькие группы, не показывают быстрый рост.
Степень 2 – умеренно дифференцированное образование. Вид клеток – атипичный, они растут несколько быстрее нормы.
Степень 3 – низкодифференцированное образование. Опухоли, которые относятся к этой категории, – наиболее агрессивные. Они состоят из явно выраженных атипичных клеток с высокой способностью к дальнейшему росту.
Лечение будет зависеть от того, какой рак молочной железы обнаружен при диагностическом обследовании.
проверена экспертом
Диагностика
Своевременное обнаружение опухоли, точная постановка диагноза – обязательные условия результативного лечения. Соответственно, обычного осмотра недостаточно. Онкологи проводят обследование, для которого применяют высокоточное оборудование.
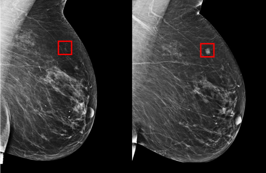
В качестве первичного диагностического исследования врачи используют маммографию. Это рентгенографическая процедура, позволяющая обнаружить патологические изменения на ранней стадии. До 90 % опухолей выявляются этим способом. Сейчас широко применяется цифровая маммография, которая дает возможность увеличивать изображение, делать его более ярким или контрастным, пересылать по интернету для онлайн-консультации. Этот диагностический метод позволяет обнаружить новообразования, оценить их структуру, но дополнительные сведения можно получить только с помощью других исследований.
Также онкологи проводят ультразвуковое исследование. Этот метод обладает особенно высокой информативностью при выявлении признаков онкозаболеваний молочных желез у молодых женщин за счет того, что плотность тканей у них более высокая. Его также используют, чтобы проконтролировать результаты биопсии.
Биопсия – это процедура получения образцов тканей, из которых состоит опухоль. Для забора тканей используют иглу, что делает это исследование малотравматичным. Полученные образцы отправляют в лабораторию для дальнейших гистологических и цитологических анализов. По их результатам можно понять, является ли образование злокачественным, насколько быстро оно развивается, какое лечение опухоли груди будет особенно эффективным.
Магнитно-резонансную томографию (МРТ) молочных желез применяют, если нужно уточнить результаты, полученные с помощью других методов диагностики. МРТ дает возможность определить размеры образования, точно локализовать его: без этой информации нельзя проводить хирургическое вмешательство.
Если есть подозрения на метастазы, необходимо изучить состояние других органов. Может понадобиться обследование костной ткани.
Лечение
Рак груди без лечения не проходит. Для решения проблемы врачи применяют комплексный подход, принимают во внимание стадию, на которой находится онкозаболевание, учитывают специфику опухолевой ткани, степень ее разрастания и прочие факторы. Онколог выбирает методы лечения рака груди с учетом индивидуальных особенностей состояния здоровья пациентки. Он может назначить операцию, лучевую или химическую терапию, использовать другие методы.
Операция
Для лечения рака молочных желез в большинстве случаев используют хирургическое вмешательство. Удалить надо не только саму опухоль, но и лимфоузлы, пораженные метастазами. Другие причины, по которым необходимо удалить лимфатические узлы, – для получения дополнительной информации и уточнения стадии заболевания, а также, если требуется, для корректировки терапии.
Доступно несколько вариантов:
- радикальная резекция – позволяет сохранить орган;
- радикальная мастэктомия – предполагает полное удаление молочной железы;
- разные виды реконструктивной хирургии с использованием собственных тканей либо с последующей установкой имплантов.
В настоящее время хирурги предпочитают органосохраняющие операции с реконструкцией формы груди, особенно если пациентки – молодые женщины.
Лучевая терапия
Как правило, этот метод используют:
- перед операцией – это дает возможность уменьшить размеры опухоли, которую надо удалить;
- после хирургического вмешательства – с целью уничтожения сохранившихся очагов заболевания.
Применяют два варианта. Это:
- наружная или дистанционная терапия, при которой источник облучения располагается на некотором расстоянии от участка тела, на который надо воздействовать;
- брахитерапия – микрокапсулу внедряют поблизости от опухоли и оставляют на несколько месяцев или даже на всю жизнь, при условии, что ее радиоактивность стала нулевой.
Количество сеансов и мощность воздействия врач определяет в соответствии с конкретной ситуацией.
Как самостоятельный вид терапии лучевое воздействие применяют, если надо вылечить неоперабельную опухоль.
Химиотерапия
Терапия с помощью химических средств лечения рака, как и лучевое воздействие, может проводиться:
- перед хирургическим вмешательством – для сокращения размеров опухоли либо для определения реакции организма на препараты;
- после операции – для полного уничтожения сохранившихся раковых клеток.
В распоряжении врачей имеются разные препараты. Цитотоксины разрушают опухолевую ткань, цитостатики останавливают деление раковых клеток. Используют полихимиотерапию – сочетание лекарственных препаратов, оказывающих разное воздействие для комплексного лечения. Но их применение сопровождается сильными побочными эффектами, поэтому надо тщательно выбирать препараты с учетом клинической ситуации и индивидуальных особенностей пациентки. Химиотерапия может существенно продлить срок жизни даже при наличии опухоли с множественными метастазами, которая не поддается оперативному лечению.
Прочие методы лечения
Гормональная терапия менее токсична по сравнению с воздействием химиопрепаратов. Ее используют для устранения эстроген- и прогестерон-позитивных опухолей, назначают перед операцией либо после ее проведения.
Таргетная терапия дает возможность воздействовать непосредственно на изменившиеся клетки, не затрагивая при этом здоровые ткани. При раке молочной железы таргетные препараты применяют, в частности, чтобы повлиять на клеточные рецепторы эстрогена.
При наличии метастазов в костной ткани онколог может назначить препараты-остеопротекторы. Они замедляют и останавливают распространение патологии, укрепляют кости.
Прогнозы и реабилитация
При раке молочной железы прогноз во многом определяется этапом, на котором врачи приступили к лечению болезни. Пятилетняя выживаемость составляет:
- на первой стадии – до 95 %;
- на второй – около 80 %;
- на третьей – примерно 50 %;
- на четвертой – до 11 %.
Реабилитация зависит от способа лечения рака груди у женщин, объема проведенного оперативного вмешательства. Операция в любом возрасте оказывает серьезную нагрузку на организм. Поэтому надо иметь хотя бы общее представление о послеоперационном восстановлении, чтобы избежать возможных осложнений. Врачи дадут советы, которым необходимо следовать.
Общие рекомендации:
- в первый раз вставать с кровати надо под контролем медсестры либо врача, лучше сначала немного посидеть и только потом попробовать подняться на ноги;
- после снятия мочевого катетера нередко возникают сложности с самостоятельным мочеиспусканием, если такое случилось, надо пить больше воды;
- в первое время после операции, особенно при проведении мастэктомии, возможны сильные боли, не нужно их терпеть, необходимо рассказать врачу о своих ощущениях, он назначит болеутоляющие препараты.
- стресс, боли, прием болеутоляющих средств могут стать причиной запора, поэтому надо пить больше воды без газа и обратиться к врачу, если это не помогает решить проблему, чтобы он назначил слабительные препараты.
Важно контролировать вес тела. Поэтому нельзя переедать, необходимо отдать предпочтение здоровому, сбалансированному питанию. В рацион нужно включить больше фруктов и овощей, зелень, кисломолочные продукты, мясо и рыбу невысокой жирности. Полезен хлеб из цельнозерновой муки.
Физическая активность нужна, но она должна быть умеренной. Рекомендуются короткие прогулки, но только если на это есть силы. Сначала нельзя будет даже немного двигать рукой с той стороны, где проводилось хирургическое вмешательство. Также возможны ограничения по весу, который разрешается поднимать этой рукой.
Необходимо следить за своим эмоциональным состоянием, не допускать стрессов, чрезмерных волнений, нервных расстройств. Приступы страха и печали, переживания, вызванные изменением внешности, естественны. Возможно, понадобятся помощь психолога, групповая психотерапия.
Реконструктивная маммопластика, которая проводится после основного лечения, – хорошее решение. Можно использовать собственные ткани или импланты. Форму груди надо восстановить, чтобы:
- обеспечить психологический комфорт;
- устранить дисбаланс нагрузки на позвоночник, предупредить его искривление, воспрепятствовать возникновению нарушений в работе внутренних органов.
Профилактика
Можно снизить вероятность развития РМЖ. Для этого необходимо принять несложные меры предосторожности.
- Правильное питание. Один из факторов, способствующих возникновению опухолей, – химические вещества, которые содержатся в продуктах питания. Поэтому стоит предпочитать вареную и тушеную пищу, реже употреблять жареную еду. Также необходимо исключить из рациона фастфуд в любых его проявлениях. Наиболее здоровое мясо – курятина. Полезно есть рыбу, орехи, зеленый лук, помидоры, капусту, пить зеленый чай.
- Правильный выбор бюстгальтера. Он должен подходить по размеру и форме, иначе будет натирать кожу, вызывая микротравмы, и нарушать кровообращение. Этот предмет нижнего белья не должен сдавливать грудь, нарушать ее естественную форму. Не следует часто пользоваться бюстгальтерами без бретелей – из-за них увеличивается вероятность травмы молочных желез.
- Отказ от вредных привычек. Алкоголь влияет на выработку женских половых гормонов, активизирует ее, а это может стать причиной онкозаболевания. Поэтому надо отказаться от употребления спиртных напитков или резко сократить их потребление.
- Контроль веса тела. Избыточная масса тела нарушает гормональный баланс. Поэтому лишний вес, ведущий к ожирению, тоже входит в список факторов, повышающих риск возникновения онкозаболеваний.
- Прием гормональных контрацептивов под контролем гинеколога. Это также нужно для того, чтобы поддержать баланс гормонов в организме на приемлемом уровне.
- Занятия спортом. Умеренные нагрузки укрепляют организм, снижают вероятность любых заболеваний, в том числе онкологических.
- Кормление ребенка грудью. Это естественный процесс, который уменьшает шанс развития патологий молочных желез. Вскармливание надо продолжать, пока ребенку не исполнится 6 месяцев.
Не забывайте о наследственных факторах. Если у близких родственниц было подобное заболевание, старайтесь уделять больше внимания профилактике, не пренебрегайте осмотрами у врача.
Женщинам, которым исполнилось 20-40 лет, надо обращаться к специалисту раз в год. После 40 лет следует проходить:
- ультразвуковую диагностику – раз в 12 месяцев;
- рентгенографическое диагностическое обследование – не реже чем раз в 2 года.
Надо записаться на консультацию к врачу, если подозреваете, что у вас появились признаки онкологического заболевания.
Запишитесь на прием к врачу
При появлении клинических признаков РМЖ обратитесь в АО «Медицина» (клиника академика Ройтберга) для точной диагностики заболевания и последующего лечения. Наши преимущества – это:
- отдельный онкологический центр Sofia;
- безупречный профессионализм и солидный практический опыт врачей – у нас работают доктора и кандидаты наук, врачи высшей квалификационной категории;
- наличие современного диагностического оборудования;
- применение передовых методик лечения онкологии груди;
- комфортабельный стационар;
- соблюдение строгих российских и международных стандартов качества и безопасности – наша клиника первой в России получила престижный международный сертификат JCI.
Позвоните нам по указанному на сайте телефону, чтобы выбрать удобное время визита в клинику и записаться на прием. Если у вас есть вопросы, на них ответит менеджер клиники. Также вы можете воспользоваться онлайн-кнопкой "Записать на прием": оставьте свой номер телефона, менеджер оперативно перезвонит вам.
Часто задаваемые вопросы

Источники
- Выхристюк Ю. В., Ройтберг Г. Е., Дорош Ж. В., Карасева Н. В., Акобова Р. А. – «Профилактика развития рака молочной железы» – «Южно-Российский онкологический журнал», 2021, Т. 2, № 1 – С. 50-56. Источник: cancersp.com
- Жукова Л. Г., Андреева Ю. Ю., Завалишина Л. Э. и другие – «Рак молочной железы. Клинические рекомендации» – «Современная онкология, 2021, №.23 (1) – С..5-40. Источник: istina.msu.ru
- Рябчиков А. Д., Петровский А. В., Амосова В. А. – «Рак молочной железы», М, ГЭОТАР-Медиа, 2023.
- Стенина М. Б., Жукова Л. Г., Королева И. А., Пароконная А. А., Семиглазова Т. Ю., Тюляндин С. А., Фролова М. А. – «Практические рекомендации по лекарственному лечению инвазивного рака молочной железы» – «Злокачественные опухоли», 2019, Том 9, № 3s2 – С. 128-163. Источник: elibrary.ru
- Франк Г. А., Завалишина Л. Э., Андреева Ю. Ю. – «Рак молочной железы. Морфологическая диагностика и генетика. Руководство для врачей», М, «Практическая медицина», 2020.
Оставьте заявку, мы Вам перезвоним
Узнать подробности проведения процедуры, цены на имплантацию Вы можете по телефону:
+7 (495) 775-73-60