Тендинит
Тендинит — заболевание, проявляющееся как воспалительный процесс в области сухожилий. Патология может протекать в острой или хронической формах. Во втором случае в пораженном сухожилии развиваются дегенеративные процессы. В большинстве случаев очаг воспаления локализуется в тканях, примыкающих к кости. Симптомы тендинита неспецифичны: пациент страдает от болей при совершении движений конечностями и местного повышения температуры. Возможно образование слабовыраженного отека и зоны умеренной гиперемии. Лечение патологии на начальных стадиях предполагает применение консервативных методик. Запущенный воспалительный процесс может потребовать проведения оперативного вмешательства.
Общие сведения
Тендинит развивается у пациентов всех возрастов. В группу риска входят профессиональные спортсмены и лица, занимающиеся монотонным физическим трудом. Очаг воспаления формируется из-за чрезмерных нагрузок, которым подвергаются сухожилия человека. Микротравмы тканей становятся причиной возникновения болей и повышения местной температуры.
Наиболее часто патология затрагивает сухожилия, расположенные рядом с локтевыми, коленными и тазобедренными суставами. Реже воспаление развивается в области голеностопных и лучезапястных суставов. Возрастные изменения в суставных тканях приводят к ослаблению связок — вероятность развития воспаления возрастает. Пациенты старше 60 лет могут страдать от отложения солей кальция, приводящих к появлению кальцифицирующей формы заболевания.
Причины развития патологии
Симптомы тендинита, выявленные ортопедом при осмотре пациента, могут указать на причины развития воспаления в сухожилии. Часто микротравмы тканей становятся следствием высокого уровня двигательной активности человека. Патология распространена среди профессиональных теннисистов, гольфистов, метателей копья и лыжников. Монотонные движения, характерные для садовников, плотников или маляров, нередко становятся причиной воспаления сухожилий.
Четверть клинически диагностируемых случаев тендинита развивается под действием иных факторов: ревматических патологий или заболеваний щитовидной железы. Воспаление сухожилий может стать следствием гонореи, интоксикации организма или аномалий костного скелета (разная длина конечностей и т. д.).
Патогенез
Сухожилия формируются в виде плотных неэластичных тяжей, состоящих из пучков коллагеновых волокон. Благодаря им мышечные ткани соединяются с костями. Сухожилия обеспечивают передачу движений от мышц к скелету и поддерживают стабильную работу суставов. Интенсивные и однообразные движения мешают процессу естественного восстановления коллагеновых волокон — появляются первые признаки тендинита.
Структуры сухожилия отекают, отдельные нити коллагена начинают расщепляться. При сохранении высокой нагрузки в тканях образуются очаги жирового перерождения, некроза и отложения солей кальция. Отвердевшие кальцификаты приводят к повторному травмированию ранее поврежденного участка. Воспалительный процесс постепенно распространяется на все сухожилие.
Виды патологии
Тендинит может затрагивать сухожилия любого размера — воспалительные процессы развиваются в тканях пальца, кисти, стопы, локтя или колена. Классификация патологии, используемая ортопедами, учитывает локализацию очага патологии. Врачи выделяют следующие формы заболевания:
- латеральную,
- медиальную,
- воспаление сухожилия надколенника,
- воспаление сухожилия плечевого сустава.
Латеральный тип патологии развивается в сухожилиях, примыкающих к мышам запястья (короткому и длинному разгибателям, плечелучевой мышце и т. д.). Пациент сталкивается с болью, распространяющейся по наружной поверхности локтевого сустава. Со временем у спортсменов-профессионалов и любителей развивается слабость кисти. Человек начинает испытывать сложности при совершении элементарных действий: выкручивании белья, поднятии чашки с напитком, рукопожатии.
Медиальная форма заболевания затрагивает сухожилия, примыкающие к мышцам-сгибателям предплечья, локтя и ладони. Патология диагностируется в 7–10 раз реже латерального тендинита и развивается у лиц, регулярно выполняющих вращательные движения рук. В группу риска входят гольфисты, швеи, профессиональные протоколисты, гимнасты, теннисисты и бейсболисты. Основной симптом заболевания — острая боль, локализованная на внутренней стороне локтевого сустава.
Воспаление сухожилия связки надколенника диагностируется у лиц, часто выполняющих прыжки. Причиной микротравмы становятся кратковременные интенсивные нагрузки на четырехглавую мышцу. На начальных стадиях развития патологии болевой синдром возникает после завершения пациентом физической активности. Позднее боль появляется во время выполнения упражнения или в состоянии покоя.
Воспаление сухожилий плечевого сустава затрагивает ткани, примыкающие к мышцам вращательной манжеты плеча. Боли возникают при любых действиях, требующих подвижности руки. Острые приступы могут развиваться в ночные часы. Увеличение размеров очага воспаления приводит к формированию выраженного отека.
Симптоматика
Симптомы заболевания проявляются постепенно. На ранних этапах пациент сталкивается с болями в момент максимальных физических нагрузок. В остальное время травмированное сухожилие не причиняет ребенку или взрослому дискомфорта. С течением времени болевой синдром становится более интенсивным: неприятные ощущения возникают при минимальной двигательной активности. При отсутствии лечения пациент может столкнуться с невозможностью выполнения повседневных дел: мытья посуды, надевания одежды, застегивания пуговиц, завязывания шнурков.
Кожа рядом с очагом воспаления краснеет, формируется отек. Возможно повышение местной температуры. Пальпация сухожилия усиливает болезненные ощущения. При резких движениях травмированной конечностью пациент может услышать хруст или треск.
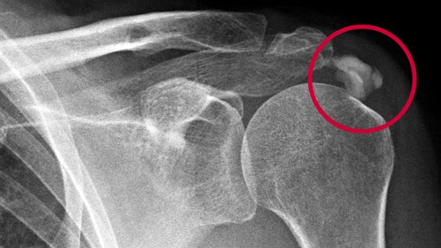
Диагностика
Диагностика тендинита выполняется ортопедом. Врач осматривает пациента и собирает данные для анамнеза. Подтверждение первичного диагноза выполняется посредством рентгенографии, ультразвукового исследования и магнитно-резонансной томографии травмированного сухожилия.
Рентген позволяет выявить очаги кальцификации, сформировавшиеся в коллагеновых волокнах. Визуализация сухожилий во время УЗИ демонстрирует утолщение тканей и снижение их эхогенности. МРТ используется для определения локализации очага воспаления и его размеров.
проверена экспертом
Лечение
Тактика лечения тендинита определяется ортопедом с учетом данных, полученных во время диагностических процедур. При выраженном болевом синдроме пациенту показана кратковременная иммобилизация конечности. Медикаментозная терапия включает противовоспалительные препараты. Отечность тканей устраняется посредством фонофореза и электрофореза.
Купирование болевого синдрома позволит пациенту приступить к лечебной гимнастике. В случае сохранения острых болей ребенок или взрослый получает глюкокортикостероидные препараты в виде инъекций. Неэффективность консервативной терапии становится показанием к проведению хирургического вмешательства.
В ходе операции хирурги могут выполнить полное или частичное отсечение сухожилий от мышц с целью последующего удлинения. Период послеоперационной реабилитации может продолжаться несколько месяцев.
Прогноз и профилактика
Своевременное начало лечения воспалительных процессов в сухожилиях позволяет врачам формировать благоприятный прогноз для большинства пациентов. При запущенном течении патологии вероятных систематические рецидивы и тяжелые травмы конечностей. Хирургическое лечение позволяет добиться полного восстановления подвижности конечностей в 85–90% случаев.
Профилактика тендинитов основана на исключении чрезмерных нагрузок на сухожилия. Спортсменам-любителям и профессионалам следует проводить полноценную разминку перед началом тренировок или соревнований.
Диагностика и лечение тендинита в Москве
АО «Медицина» (клиника академика Ройтберга) обладает всем необходимым оборудованием для диагностики и лечения воспалительных процессов в тканях сухожилий. Прием пациентов осуществляется в современном диагностическом комплексе, построенном с учетом последних достижений медицины.
Вопросы и ответы

Лечение патологии осуществляется ортопедом. При осложненном течении заболевания пациенту могут потребоваться консультации других врачей — хирурга или физиотерапевта.
Хирургическое вмешательство — крайняя мера, применяемая врачами при низкой эффективности медикаментозной терапии. Консервативное лечение позволяет восстановить подвижность суставов при выявлении воспалительного процесса в сухожилии на ранней стадии.
Пациенту необходимо обратиться к ортопеду. Врач осмотрит поврежденное сухожилие и назначит курс лечения. До визита в клинику ребенку или взрослому необходимо минимизировать нагрузку на поврежденные ткани. Для снятия острой боли можно использовать нестероидные противовоспалительные препараты (ибупрофен и аналоги).
Источники
- Järvinen, T. A. H., et al. (2018). Tendon injuries and their management. British Journal of Sports Medicine, 52(11), 714-721. doi:10.1136/bmjsem-2017-000306.
- Maffulli, N., et al. (2018). Tendinitis: A review of current treatment options. Orthopaedics & Traumatology: Surgery & Research, 104(5), 673-679. doi:10.1016/j.otsr.2018.05.002.
- Rees, J. D., et al. (2019). Tendon injury and repair: Current approaches. Journal of Orthopaedic Research, 37(6), 1118-1128. doi:10.1002/jor.24004.
- López-Vidriero, E., et al. (2020). Advances in the management of tendinitis and tendinopathy. Sports Medicine, 50(3), 377-388. doi:10.1007/s40279-019-01154-0.
- Cameron, M., et al. (2018). Treatment strategies for tendinitis: An overview. American Journal of Sports Medicine, 46(7), 1765-1773. doi:10.1177/0363546518761723.
Оставьте заявку, мы Вам перезвоним
Узнать подробности проведения процедуры, цены на имплантацию Вы можете по телефону:
+7 (495) 775-73-60