Адрес
г. Москва, 2-й Тверской-Ямской переулок, дом 10, Метро «Маяковская» (5 мин. пешком)
Режим работы
График работы клиники «Медицина»
Пн-пт — с 08-00 до 21-00
Сб — с 09-00 до 19-00
Вс — с 09-00 до 15-00

График работы клиники в ноябре 2025 года
— 1 ноября 2025 г. – рабочий день по графику понедельника (сокращенный на 1 час рабочий день) – с 08:00 до 20:00;
— 2 ноября 2025 г. – рабочий день по графику воскресенья – с 09:00 до 15:00;
— 3 ноября 2025 г. – рабочий день по графику субботы – с 09:00 до 19:00;
— 4 ноября 2025 г. – праздничный день;
— 5 ноября 2025 г. – рабочий день по графику среды – с 08:00 до 21:00;

Круглосуточно работают
— Стационар (круглосуточная госпитализация)
— Скорая медицинская помощь
— Магнитно-резонансная томография
— Ультразвуковая диагностика
— Рентген-радиология


En
878 218 Пациентов
Благодарных пациентов получили помощь в АО «Медицина»
более чем за 30-летнюю работу клиники (основана в 1990 году)
Круглосуточно. We speak English
Более 30 лет
лидеру отечественного здравоохранения*
En Записаться на приём

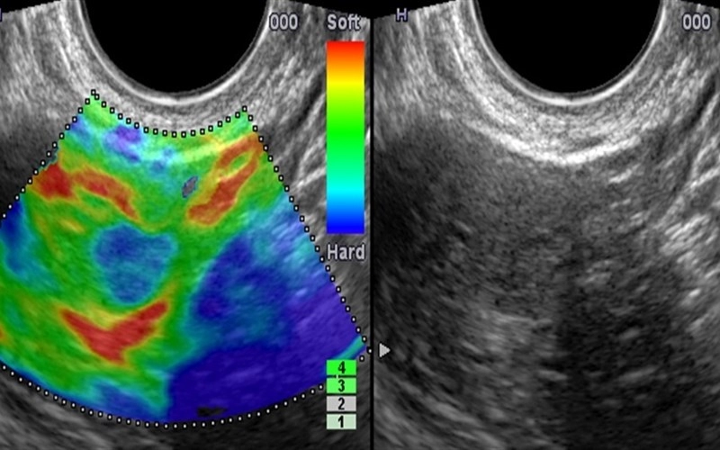
Соноэластография

СоноэластографияСоноэластография – это медицинское обследование, при котором врач выявляет плотность мягких тканей. Процедура проводится с помощью ультразвука, она совершенно неинвазивна и безболезненна. Соноэластографию всегда проводят в комплексе с ультразвуковой ангиографией (обычным УЗ-обследованием). Эта процедура дополняет и расширяет информативность основного обследования. При УЗИ на экране появляется монохромное изображение внутренних органов. УЗ-эластография же выводит цветное изображение, где по тону цвета врач определяет плотность участка мягких тканей.

Показания

Показаниями к процедуре будут любые подозрения на наличие новообразований в мягких тканях, например:

  • уплотнения и узелки в молочных железах – соноэластография позволяет дифференцировать различные новообразования в ткани;
  • наличие прощупываемого новообразования в щитовидной железе;
  • неясные образования на мягких тканях;
  • подозрения на новообразования печени – соноэластография поможет вовремя выявить ее разрушение и начать своевременную терапию.

Соноэластографию также рекомендуют проводить во время подготовки к беременности, поскольку эта диагностика позволяет тщательно изучить состояние женского здоровья. Так, ультразвуковое обследование тканей позволяет проверить шейку матки, яичники и эндометрий на наличие кист и других новообразований. Кроме того, УЗ-эластография будет полезна при подозрении на внематочную беременность.

Противопоказания

У УЗ-эластографии нет противопоказаний, она, как и УЗИ, абсолютно безопасна и применима ко всем пациентам. Даже беременность не является противопоказанием к ультразвуковому исследованию.

Где сделать соноэластографию в Москве

Эластография требует от врача не только наличия специальных приборов, но и определенного опыта. В АО «Медицина» (клиника академика Ройтберга) работают специалисты с большим стажем, которые умело диагностируют разные виды новообразований. Наш медицинский центр располагается в центральном округе Москвы (станции метро Чеховская, Новослободская, Маяковская, Белорусская и Тверская).

Наши врачи

Врач Богданова Татьяна Валерьевна
Ультразвуковая диагностика
Богданова
Татьяна Валерьевна
Стаж 16 лет
Врач-УЗД
Записаться на приём
Врач Дубровина Наталья Владимировна
Врач ультразвуковой диагностики
Дубровина
Наталья Владимировна
Стаж 26 лет
Высшая квалификационная категория по специальности «Врач ультразвуковой диагностики»,
Записаться на приём
Врач Макарова Валерия Геннадьевна
Ультразвуковая диагностика (УЗИ)
Макарова
Валерия Геннадьевна
Стаж 23 года
Врач ультразвуковой диагностики, член European Society of Radiology
Записаться на приём
Врач Хасиева Марина Евгеньевна
Ультразвуковая диагностика (УЗИ)
Хасиева
Марина Евгеньевна
Стаж 27 лет
Врач ультразвуковой диагностики, член European Society of Radiology, врач высшей квалификационной категории
Записаться на приём

Цены

Код Название Цена
(руб.)
A04.01.001.001 Эластография мягких тканей 4 700 руб.
A04.01.001 Ультразвуковое исследование мягких тканей (одна анатомическая зона) 5 900 руб.

Что выявляет

Соноэластография очень эффективна при выявлении онкологических заболеваний. С ее помощью можно определить наличие рака на ранней стадии в следующих органах:

  • кожа;
  • молочные железы;
  • щитовидная железа;
  • лимфатические узлы;
  • органы мошонки;
  • предстательная железа;
  • матка, яичники, маточные трубы;
  • все мягкие ткани.

Кроме того, соноэластография позволяет определить доброкачественные опухоли. Этот метод обследования подходит для дифференциальной диагностики кист, аденом и других новообразований.

Методику применяют и для определения границ опухоли перед пункцией – так биопсия будет более эффективной и точной, а риск осложнений сведется к минимуму.

Преимущества

Этот метод диагностики значительно более информативен, чем обычное УЗ-обследование. Соноэластография «прощупывает» мягкие ткани и определяет наличие уплотнений и узелков эффективнее, чем осмотр при УЗИ. Обычная ангиография не способна определить характер маленьких опухолей (до 20 мм), и этот недостаток компенсирует эластография.

Без соноэластографии врачу иногда приходится прибегать к многочисленным пункциям, чтобы определить размеры и характер новообразования. Ультразвуковая диагностика позволяет избежать лишних проколов и инвазий.

Как проводят диагностику

Элагстографию всегда проводят вместе с УЗИ. Это неинвазивная безболезненная процедура, которая занимает около получаса.

Подготовка

Подготовка пациента зависит от того, какой орган нуждается в осмотре. Так, при изучении мочевого пузыря, рекомендуется перед обследованием посетить уборную, чтобы жидкость не мешала проводить осмотр.

Перед процедурой врач собирает анамнез и определяет, какие органы нуждаются в тщательном изучении. Если соноэластография назначена для дальнейшего проведения точной биопсии, то сразу после диагностики пациента могут направить на пункцию.

Процедура

Эластография проводится вместе с УЗИ. На кожу пациента наносят специальный гель, который нужен для облегчения движения датчика. Врач водит датчиком по изучаемому органу, и на экране отображается цветовая карта мягких тканей. По этой карте врач легко определяет наличие уплотнений или других подозрительных элементов. Соноэластография позволяет получить результаты обследования сразу.

(Голосов: 9, Рейтинг: 5)
   
Позвоните +7 (495) 775-73-60 или оставьте заявку, мы Вам перезвоним

Лицензии
Лицензия на осуществление медицинской деятельности № Л041-00110-77/00363409 Срок действия: бессрочная
Ваш браузер устарел рекомендуем обновить его до последней версии
или использовать другой более современный.