Липома молочной железы
В числе доброкачественных образований молочной железы значительную долю составляет липома — жировая опухоль, развитие которой спровоцировано действием сразу нескольких внутренних и внешних факторов. Липома молочной железы, или жировая опухоль диагностируется у более чем 10% пациенток, обратившихся к специалистам по поводу обнаружения плотного образования в структуре груди. Современная медицина хорошо изучила подобные случаи и готова предложить оптимальное лечение патологии с гарантией безопасности для организма.
Причины образования липомы молочной железы
Факторы, способные запустить процесс образования липомы в груди, делят на несколько групп:
- Гормональные. Связаны с периодом преклимакса, когда в организме происходит глобальная гормональная перестройка. Размер яичников уменьшается, внутренний слой матки становится тоньше, а в груди происходит замещение железистых тканей жировыми отложениями. При нарушении этих процессов существует вероятность избыточного образования жировой ткани, что и становится причиной образования опухоли. Также существует риск образования жировиков у женщин репродуктивного возраста, что может быть связано с нарушением менструального цикла, использования оральных контрацептивов и приема гормональных препаратов в течение длительного времени.
- Метаболические, связанные с нарушением обмена жиров в организме. Липопротедиды высокой плотности могут образовывать крупные скопления и покрываться оболочкой из соединительной ткани. Причина такого явления – гиподинамия, рацион с преобладанием продуктов животного происхождения, заболевания эндокринной системы и т.д.
- Генетические, связанные с воздействием наследственного фактора. Дефекты гена HMG I-C становятся причиной липоматозов — заболеваний, связанных с отложением жировой ткани на различных участках тела.
- Внешние. Вызвать образование жировика могут неудобное белье, травмы груди, предыдущие хирургические операции, вредные привычки, частые стрессы и т.д.
Одновременное воздействие на организм нескольких из перечисленных факторов приводит к избыточной выработке жировой ткани и ее капсулированию – заключению в плотную оболочку, которая дает подвижность структуры опухоли и позволяет легко прощупать ее под слоем кожи. В медицине отмечены случаи трансформации доброкачественного образования в онкологический процесс у пациенток с онкологией или у тех женщин, в семьях которых отмечены случаи рака молочной железы.
Симптомы
Обнаружить жировое образование можно случайно при исследовании или пальпации молочной железы. Узелок обозначается по мере достижения размеров около 1,5-2см. чаще область его локализации – верхненаружная часть молочной железы. Образование может носить единичный или парный характер. При прощупывании можно установить следующие симптомы липомы молочной железы:
- Круглая или овальная форма.
- Гладкая поверхность с четкими контурами.
- Эластичная, плотная или тестообразная консистенция, характер которой связан с конкретным типом опухоли.
- Безболезненность.
- Подвижность.
Болевой синдром при липоме присутствует крайне редко. Его появление связано с разрастанием опухоли и сдавливанием мышечной ткани или сосудов, что становится причиной нарушения кровообращения и травмированием тканей.
Диагностика
Предварительный диагноз «липома молочной железы» ставится обычно при первичном осмотре маммолога и пальпации молочной железы. Для точного установления характера образования требуется дифференцированная диагностика, подразумевающая исключение других заболеваний со схожей симптоматикой. В перечень обязательных исследований входят:
- Консультация онколога, гинеколога и маммолога.
- Сдача анализа крови на онкомаркеры.
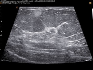
- УЗИ молочной железы.
- Биохимический анализ крови.
- Маммография.
- Компьютерная томография или магнитно-резонансная томография.
- Биопсия тканей, полученных с помощью пункции с применением длинной иглы.
Результаты проведенных исследований позволяют не только выявить характер образования, но и с высокой долей вероятности назвать причины его появления.
Лечение липомы
Если опухоль растет крайне медленно или находится в стабильном состоянии, предусмотрена тактика наблюдения с УЗИ-обследованием не реже одного раза в полугодие. При обнаружении в организме сопутствующих патологий назначается профильное лечение с обязательным контролем липомы.
Решение о хирургическом вмешательстве при липоме молочной железы принимается, если:
- Образование быстро увеличивается в размерах.
- Пациентка отмечает стойкий болевой синдром.
- Опухоль имеет значительные размеры, искажая естественную форму груди.
- Отмечаются признаки некроза тканей железы.
- Высок риск злокачественного перерождения опухоли из-за наследственного фактора.
Техника оперативного вмешательства при лечении липомы молочной железы выбирается с учетом размеров и участка расположения липомы:
- Энуклеация – удаление жировика с капсулой методом классической операции или эндоскопического вмешательства, которое осуществляется через тонкие проколы кожи. Разрушение опухоли осуществляется под воздействием радиоволн или лазерного луча.
- Удаление жировой ткани с сохранением оболочки (аспирация). Процедура малотравматична и не оставляет следов на коже. Однако сохранение капсулы может стать причиной повторного накопления внутри избытка жировой ткани.
- Частичная резекция (удаление) молочной железы. Применяется в случае высокого риска перерождения тканей жировика в злокачественное образование. Операция охватывает область опухоли и прилегающие ткани. Извлеченное содержимое подвергают гистологическому анализу, в случае обнаружения симптомов онкологии удалению подлежат соседние ткани и лимфоузлы.
В период реабилитации пациентке прописывают прием антибиотиков, витаминов и иммуномодуляторов.
Прогноз лечения
В подавляющем большинстве случаев прогноз лечения липомы благоприятный. Особенно если пациентка обратилась за помощью на начальной стадии развития образования и строго следует рекомендациям по регулярному наблюдению у маммолога.
проверена экспертом
Диагностика и лечение липомы молочной железы в клинике АО «Медицина»
Специалисты клиники АО «Медицина» в ЦАО Москвы приглашают пациентов с подозрением на доброкачественное образование в тканях молочных желез. Собственный диагностический центр с высокоточным оборудованием позволит провести необходимые обследования и точно выявить природу патологии, а также принять решение о необходимости хирургического вмешательства. Возможно участие в диагностике и лечении других профильных специалистов. Звоните, чтобы записаться на прием к маммологу и получить дополнительные консультации. Также запись доступна на сайте клиники.
Вопросы и ответы

Липома, или жировая опухоль – плотное доброкачественное образование внутри молочной железы, состоящее из жировой ткани. Имеет полиэтиологическую природу, что означает развитие под воздействием сразу нескольких патогенных факторов. При замедленном росте или стабильном состоянии не требует лечения. В случае активного роста пациентке показано оперативное вмешательство.
Избыточное деление жировых клеток в структуре груди приводит к появлению плотного образования, которое по мере роста отделяется от других тканей и приобретает самостоятельную подвижную структуру. На УЗИ образование определяется как плотное однородное скопление клеток с четкими или размытыми контурами. Иногда его трудно разглядеть, даже если опухоль капсулирована и отделена от других тканей. Размеры жировика – от нескольких мм до нескольких сантиметров, что дает отрицательный косметический эффект и требует проведения операции по извлечению липомы.
Нередко липома находится в стабильном состоянии и практически не увеличивается в размерах, не требуя лечения. В случае интенсивного разрастания возможно передавливание окружающих тканей и нарушение кровотока. Кроме того, существует риск трансформации доброкачественного образования в онкологический процесс. Решение об удалении опухоли принимается в каждом конкретном случае исходя из размеров образования и ее потенциальной опасности с учетом наследственного фактора и сопутствующих состояний организма.
Источники
- Duncan, J. R., & S. K. Owens. (2018). Breast Lipomas: Clinical and Imaging Characteristics. Journal of Breast Imaging, 1(2), 117-125. doi:10.1093/jbi/wby016.
- Elias, S., & R. P. Smith. (2019). Diagnosis and Management of Breast Lipomas. Clinical Breast Cancer, 19(4), 297-303. doi:10.1016/j.clbc.2018.12.005.
- Lee, H. S., & K. R. Park. (2021). Benign Breast Tumors: Diagnosis and Management. Breast Cancer Research and Treatment, 187(1), 155-167. doi:10.1007/s10549-020-05813-4.
- Saldanha, L. M., & R. J. Martin. (2020). Imaging and Pathology of Breast Lipomas. American Journal of Roentgenology, 214(1), 96-104. doi:10.2214/AJR.19.21169.
- Gordon, M., & P. F. Jones. (2018). Management of Breast Lipomas: An Overview. Journal of Clinical Oncology, 36(12), 1199-1207. doi:10.1200/JCO.2018.36.12_suppl.1199.
Оставьте заявку, мы Вам перезвоним
Узнать подробности проведения процедуры, цены на имплантацию Вы можете по телефону:
+7 (495) 775-73-60