Адрес
г. Москва, 2-й Тверской-Ямской переулок, дом 10, Метро «Маяковская» (5 мин. пешком)
Режим работы
График работы клиники «Медицина»
Пн-пт — с 08-00 до 21-00
Сб — с 09-00 до 19-00
Вс — с 09-00 до 15-00

График работы клиники в ноябре 2025 года
— 1 ноября 2025 г. – рабочий день по графику понедельника (сокращенный на 1 час рабочий день) – с 08:00 до 20:00;
— 2 ноября 2025 г. – рабочий день по графику воскресенья – с 09:00 до 15:00;
— 3 ноября 2025 г. – рабочий день по графику субботы – с 09:00 до 19:00;
— 4 ноября 2025 г. – праздничный день;
— 5 ноября 2025 г. – рабочий день по графику среды – с 08:00 до 21:00;

Круглосуточно работают
— Стационар (круглосуточная госпитализация)
— Скорая медицинская помощь
— Магнитно-резонансная томография
— Ультразвуковая диагностика
— Рентген-радиология


En
878 218 Пациентов
Благодарных пациентов получили помощь в АО «Медицина»
более чем за 30-летнюю работу клиники (основана в 1990 году)
Круглосуточно. We speak English
Более 30 лет
лидеру отечественного здравоохранения*
En Записаться на приём

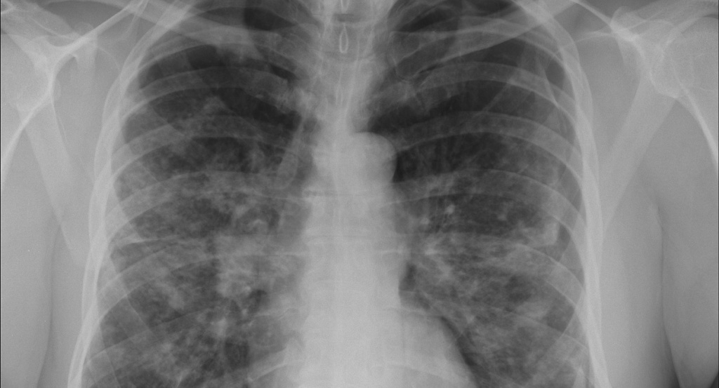
Саркоидоз легких

Саркоидоз легких (гранулематоз доброкачественного характера) — это заболевание, поражающее разные ткани организма. Но чаще все он проявляется в органах дыхания. При этой болезни в легких, а также в трахее, бронхах и лимфоузлах образуются гранулемы.

Опасность саркоидоза в том, что гранулемы постепенно растут, сливаются, затем рассасываются и оставляют после себя рубцовую ткань. Это сильно влияет на работу органов — в частности, легких — которые не могут полностью выполнять свои функции. При поверхностной вентиляции функция дыхания нарушается — а это, как известно, влечет за собой нагрузку на все внутренние органы, потому что кровь не может снабдить кислородом разные системы организма.

Заболевание не является заразным (в отличие от того же туберкулеза) и не представляет никакой опасности для окружающих.

ВАЖНО
Информацию из данного раздела нельзя использовать для самодиагностики и самолечения. В случае боли или иного обострения заболевания диагностические исследования должен назначать только лечащий врач. Для постановки диагноза и правильного назначения лечения следует обращаться к Вашему лечащему врачу. Для корректной оценки результатов ваших анализов в динамике предпочтительно делать исследования в одной и той же лаборатории, так как в разных лабораториях для выполнения одноименных анализов могут применяться разные методы исследования и единицы измерения.

Статистика и группы риска

Саркоидоз развивается у людей разного возраста, но чаще всего его выявляют в 20-40 лет. У женщин эта болезнь появляется чаще, причем больше всего страдают от нее жители африканских, азиатских, скандинавских стран, а также Ирландии, Германии и Пуэрто-Рико.

Симптомы

К симптомам саркоидоза относят следующее:

  • Затрудненное дыхание. Особенно поначалу это заметно при физических нагрузках — даже вполне умеренных.
  • Проблемы с аппетитом, резкая потеря веса.
  • Слабость в мышцах, склонность к быстрой утомляемости.
  • Сухой кашель, отхаркивание крови.
  • Болезненные ощущения в груди.
  • Покраснение кожи в результате сильного прилива крови.

Все эти симптомы саркоидоза должны сразу же насторожить пациента и заставить его обратиться к специалистам за помощью. Таким заболеванием занимаются пульмонологи, но если вы сомневаетесь в первых признаках болезни, то можете обратиться и к терапевту, который дальше направит вас к нужному врачу.

Причины

Саркоидоз легких

Происхождение болезни до конца не выяснено. Врачи до сих пор спорят, что может провоцировать это заболевание. Одна теория предполагает, что заболевание передается по наследству, другая говорит о том, что в основе лежит заражение инфекцией. Причем возбудителями могут быть грибки, простейшие и другие варианты патогенной флоры — единого мнения нет и здесь.

Вместо четких причин специалисты выделяют факторы, которые способствуют развитию недуга. Например, это воздействие разных раздражителей на ткани легких — тех же сильных химикатов на вредном производстве или обильной пыли. Способствуют развитию недуга и патологические процессы внутри тела, включая аутоиммунные заболевания.

Поскольку одну причину саркоидоза обнаружить пока не удается, профессионалы сходятся в том, что речь идет о группе факторов: биохимических, иммунных, генетических и других.

В группе риска находятся курильщики, поскольку их легкие и без того ослаблены.

Стадии

Выделяют три стадии саркоидоза. На первой наблюдается увеличение лимфатических узлов, поражение легких либо одностороннее, либо симметричное. Вторая стадия характеризуется распространением болезни по лимфатическим путям. Гранулемы еще маленькие, легочная ткань постепенно начинает заменяться тканью более высокой плотности.

На третьей стадии соединительная ткань разрастается в альвеолах, образуются рубцы. Высоки риски таких осложнений, как эмфизема, пневмосклероз. Часто гранулемы растут одновременно и в легких, и в других частях организма.

Диагностика

Для диагностики саркоидоза назначают:

  • Анализы крови  с несколькими показателями, среди которых титры гамма-глобулина.
  • Рентген легких.
  • КТ  и  МРТ.
  • Реакцию Квейма. Это исследование при котором больному вводят под кожу специальный антиген. Если на коже появляется красный бугорок, это подтверждает наличие в организме саркоидоза. Необязательно он будет локализован именно в легких — просто как факт болезни.
  • Бронхоскопию  (факультативно). В процессе исследования делается забор измененных тканей для анализа.

Такое комплексное исследование позволяет довольно точно провести диагностику саркоидоза и дифференцировать его среди других заболеваний.

Лечение

Это заболевание интересно тем, что пациент почти играет в лотерею. Дело в том, что около 30% случаев болезни проходят самостоятельно и без какого-либо дополнительного вмешательства. И можно было бы сказать, что не следует торопиться, можно подождать, пока все само не наладится. Но проблема в том, что такие же 30% пациентов сталкиваются с серьезными осложнениями саркоидоза — вплоть до летального исхода, если не начать вовремя оказывать помощь. Так что отказываться от лечения или тянуть с визитом к врачу в этом случае точно не стоит. Никто не знает, в какой процент больных он попадет, а затягивание времени может быть по-настоящему опасным.

Важно понимать, что при течении болезни без осложнений врачи часто оставляют время на наблюдение. Они анализируют состояние пациентов и понимают, что в каких-то случаях необходимо подождать и посмотреть, как будет развиваться болезнь. И только в ситуации, когда понятно, что организм сам не справится, назначается лечение.

При лечении саркоидоза используют стероидные гормоны, противовоспалительные препараты, иммунодепрессанты, антиоксиданты и витамины. Также пациенту назначают белковую диету (при приеме гормональных препаратов) и рекомендуют снизить количество соли. Важный момент для выздоровления — полный отказ от такой вредной привычки, как курение.

После наступления ремиссии пациент еще несколько лет стоит на учете и наблюдается у своего лечащего врача.

Если у вас уже стоит диагноз или вы подозреваете у себя саркоидоз легких, обращайтесь в клинику АО «Медицина» в Москве: наши пульмонологи и терапевты всегда рады помочь, проконсультировать, назначить дополнительные обследования и скорректировать либо разработать для вас план лечения.

Вопросы и ответы

Источники

  • Hunninghake, G. M., et al. (2019). Sarcoidosis: Current concepts in diagnosis and management. American Journal of Respiratory and Critical Care Medicine, 200(8), 931-945. doi:10.1164/rccm.201905-0813CI.
  • Pope, H. S., et al. (2020). Pulmonary sarcoidosis: Pathophysiology and treatment options. Respiratory Medicine, 171, 106097. doi:10.1016/j.rmed.2020.106097.
  • Iannuzzi, M. C., et al. (2018). Sarcoidosis: Epidemiology, clinical features, and management. Journal of Clinical Medicine, 7(9), 327. doi:10.3390/jcm7090327.
  • Janssen, S., et al. (2020). Imaging in sarcoidosis: Diagnostic and management considerations. Current Opinion in Pulmonary Medicine, 26(5), 458-464. doi:10.1097/MCP.0000000000000707.
  • Rizzato, G., et al. (2019). Advances in the management of pulmonary sarcoidosis. Clinical Respiratory Journal, 13(6), 757-764. doi:10.1111/crj.12761.
(Голосов: 40, Рейтинг: 3.78)

Оставьте заявку, мы Вам перезвоним

Узнать подробности проведения процедуры, цены на имплантацию Вы можете по телефону:

+7 (495) 775-73-60
Лицензии
Лицензия на осуществление медицинской деятельности № Л041-00110-77/00363409 Срок действия: бессрочная
Ваш браузер устарел рекомендуем обновить его до последней версии
или использовать другой более современный.