Адрес
г. Москва, 2-й Тверской-Ямской переулок, дом 10, Метро «Маяковская» (5 мин. пешком)
Режим работы
График работы клиники «Медицина»
Пн-пт — с 08-00 до 21-00
Сб — с 09-00 до 19-00
Вс — с 09-00 до 15-00


Круглосуточно работают
— Стационар (круглосуточная госпитализация)
— Скорая медицинская помощь
— Магнитно-резонансная томография
— Ультразвуковая диагностика
— Рентген-радиология


График работы в выходные и предпраздничные дни
— 8 мая 2026 г. – рабочий день по графику пятницы (сокращенный на 1 час рабочий день), с 08:00 до 20:00;
— 9 мая 2026 г. – праздничный день;
— 10 мая 2026 г. – рабочий день по графику воскресенья, с 09:00 до 15:00;
— 11 мая 2026 г. – рабочий день по графику субботы, с 09:00 до 19:00;

En
878 218 Пациентов
Благодарных пациентов получили помощь в АО «Медицина»
более чем за 30-летнюю работу клиники (основана в 1990 году)
Круглосуточно. We speak English
Более 30 лет
лидеру отечественного здравоохранения*
En Записаться на приём

Рак горла (гортани)

Врач Левикин Евгений Александрович
Онколог (химиотерапия)
Левикин
Евгений Александрович
Стаж 25 лет
Врач-онколог отделения противоопухолевой лекарственной терапии
Записаться на прием

Рак горла в медицинской литературе называют раком гортани. Это злокачественное новообразование, формирующееся из патологически измененных клеток эпителия, выстилающего горло. Опухоль может выглядеть как нарост, постепенно перекрывающий просвет гортанной трубки, или распространяться внутри стенки горла. С течением времени она прорастает в соседние ткани и органы, дает многочисленные метастазы в регионарные узлы и отдаленные органы.

Виды

По гистологическим признакам рак горла делится на:

  • плоскоклеточный – 95%;
  • железистый – 2%;
  • базалиому – 2%;
  • прочие, редкие виды опухолей – 1%.

По расположению различают новообразования гортани:

  • верхнего отдела – до 70%;
  • среднего отдела – около 28%;
  • нижнего отдела – около 2%.

Симптомы

Начальные проявления болезни напоминают обычную простуду:

    Рак горла (гортани)
  • боль в горле, мешающая говорить или глотать пищу;
  • ощущение присутствия чужеродного тела в глотке;
  • опухание миндалин;
  • изменение голоса – охриплость или гнусавость;
  • частые головные боли;
  • общая слабость, снижение работоспособности;
  • незначительное повышение температуры тела;
  • увеличение подчелюстных лимфоузлов.

Однако, в отличие от простуды, первые симптомы рака горла не проходят в течение недели. Перечисленные признаки усиливаются, к ним через время прибавляются:

  • светлые пятна на слизистой;
  • небольшие кровоточащие язвочки;
  • хронический кашель;
  • боли в ухе без признаков отита;
  • потеря веса без видимых причин;
  • появление опухоли на шее;
  • трудности в произнесении слов из-за снижения подвижности языка;
  • затрудненное дыхание;
  • кровоточивость носа.

Причины и факторы риска

Причины рака горла (гортани) До сих пор точно не выявлен механизм, вызывающий в клетках патологические изменения, из-за которых они начинают бесконтрольное и безудержное деление. Однако сегодня уже хорошо изучены факторы, способствующие появлению онкологии горла. Основные причины – это злостное курение табака и употребление спиртных напитков. Кроме того, усугубляют ситуацию:

  • принадлежность к мужскому полу;
  • возраст выше 40 лет;
  • проживание в городе с неблагоприятной экологической обстановкой;
  • работа на вредном производстве;
  • недостаток витаминов и преобладание мяса в рационе;
  • унаследованная предрасположенность к онкозаболеваниям;
  • изжога (гастроэзофагеальный рефлюкс);
  • папилломавирусная инфекция.

Около 90% больных раком горла – это мужчины в возрасте 40-60 лет, проживающие в крупных городах и выкуривающие ежедневно не меньше пачки сигарет.

Стадии

Появлению симптомов рака гортани часто предшествует предраковое состояние – дисплазия слизистой оболочки, которая развивается при постоянном раздражении сигаретным дымом, крепким алкоголем или загрязняющими веществами. Если устранить раздражающий фактор, это состояние часто исчезает самостоятельно, в противном случае возможен переход к так называемой нулевой стадии онкозаболевания - in situ, или «на месте», когда патологические клетки остаются в пределах эпителиальной ткани. В дальнейшем происходит быстрый рост и распространение опухоли.

Отоларингологи и онкологи различают четыре основные стадии заболевания.

    Стадии рака горла (гортани)
  1. Патологическое образование остается в пределах исходного отдела гортани, распространяясь в слизистой оболочке и подслизистом слое. Симптомы отсутствуют или малозаметны.
  2. Опухоль прорастает во все слои тканей горла, но остается в пределах исходного отдела. Появляются боли в горле, изменения голоса.
  3. Новообразование проникает в прилегающие к горлу ткани и регионарные лимфоузлы. Боль в горле усиливается, появляется кашель, язвы и другие характерные симптомы.
  4. Опухоль увеличивается настолько, что становится хорошо заметна на шее. Она прорастает во все окружающие ткани, дает метастазы в близлежащие и отдаленные органы. Состояние больного резко ухудшается, его мучают постоянные боли.

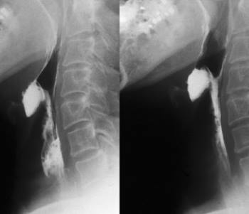
Диагностика

Если простудные симптомы не исчезают в течение двух-трех недель, необходимо как можно скорее посетить отоларинголога и пройти диагностику рака горла. Обследование включает:

    Диагностика рака горла (гортани)
  • ларингоскопию – осмотр всех отделов гортани при помощи эндоскопа для обнаружения патологических изменений;

  • биопсию новообразований для последующего гистологического исследования клеток с целью выявления онкологии гортани;

  • рентген пищевода и гортани, чтобы определить, насколько глубоко распространилась опухоль;

  • УЗИ шеи для выявления метастазов;

  • МРТ гортани для уточнения размеров и топологии опухоли;

  • иммунологический анализ крови для выявления онкомаркеров.


Внимание!

Вы можете бесплатно получить медицинскую помощь в АО «Медицина» (клиника академика Ройтберга) по программе по программе Государственных гарантий ОМС (Обязательного медицинского страхования) и ВМП (высокотехнологичной медицинской помощи).

Чтобы узнать подробности, позвоните, пожалуйста, по телефону +7 (495) 775-73-60 , или можете прочитать более подробно здесь…

Лечение

Методы лечения рака горла выбираются в соответствии с размерами новообразования, степенью вовлечения соседних органов в онкологический процесс, наличия метастазов, общего состояния пациента.

    Лечение рака горла (гортани)
  • Хирургия – радикальный и самый эффективный метод, который заключается в удалении злокачественной ткани. На ранних стадиях хирургическое вмешательство применяется как самостоятельный способ борьбы с опухолью, на поздних – в сочетании с лучевой и химической терапией. В зависимости от размеров опухоли хирург удаляет часть гортани или весь орган. В некоторых случаях одновременно удаляют лимфоузлы, шейная клетчатка и другие анатомические структуры, пораженные метастазами.

  • Лучевая терапия применяется после операции для уничтожения остаточных раковых очагов, а в случае невозможности проведения вмешательства – в качестве основного метода лечения. В некоторых случаях облучение позволяет уничтожить небольшую опухоль без хирургической операции.

  • Химиотерапия используется перед операцией для уменьшения размеров опухоли, в сочетании с лучевой терапией – для предотвращения рецидива после операции. На поздних стадиях рака химиолучевая терапия применяется в качестве основной методики для сдерживания роста опухоли и борьбы с симптомами.

  • Таргетная терапия на ранних стадиях применяется в комбинации с лучевой методикой, на более поздних – в сочетании с химиопрепаратами.

Прогнозы

Современные методы позволяют добиваться полного выздоровления пациентов в 90-95% случаев, если опухоль была обнаружена на ранней стадии развития. При выявлении симптомов рака горла III-IV стадии пятилетняя выживаемость составляет в разных клиниках от 20 до 65% пациентов.

Профилактика

Чтобы предупредить онкологию гортани и избежать заболевания, необходимо:

  • отказаться от курения табака и употребления крепких напитков;
  • во время работы на вредном производстве тщательно соблюдать меры безопасности, постоянно носить СИЗ;
  • регулярно обследоваться у отоларинголога.

Эти меры позволят снизить риск заболевания, а при возникновении опухоли обнаружить ее на ранней стадии.

Реабилитация

Восстановление после операции удаления гортани или ее части – тяжелый и длительный процесс. Пациент не может нормально питаться и вынужден принимать пищу через зонд, не может разговаривать. Спустя определенное время, когда становится понятно, что операция прошла успешно, пациенту восстанавливают гортань и выполняют пластику голосовых связок. Для восстановления голосовой функции необходимо пройти курс реабилитации, который включает специальные физиопроцедуры, упражнения ЛФК, занятия с психотерапевтом, обучение новым речевым навыкам.

Диагностика и лечение рака горла в Москве

В клинике «Медицина» жители и гости Москвы могут пройти квалифицированное лечение рака горла у лучших отоларингологов и онкологов столицы. К вашим услугам превосходно оснащенная лаборатория, в которой выполняются любые виды анализов, современная диагностическая техника, оборудование последнего поколения для проведения лучевой терапии и хирургических вмешательств, стационарное отделение с комфортабельными палатами.

Вопросы и ответы

Как выглядит рак горла?

На начальных стадиях раковые новообразования могут выглядеть как небольшие бугорки, расположенные на слизистой оболочке горла. В дальнейшем, по мере распада патологически измененной ткани, на их месте образовываются язвы. Увеличиваясь в размерах, опухоль становится заметной снаружи, образуя характерное выпирание под кожей шеи.

Как понять, что у тебя рак горла?

Заподозрить наличие раковой опухоли в горле следует при появлении:

  • изменений голоса – охриплости, искажении интонаций, огрубения;
  • ощущения инородного тела, попавшего в горло;
  • боли, которая усиливается при глотании;
  • частых кровотечений из носа.

Если горло болит дольше двух недель и не проходит, нужно безотлагательно посетить отоларинголога.

Лечится ли рак горла?

При условии раннего обнаружения рак горла полностью излечим в 85-90% случаев. Даже в самых запущенных случаях не менее 20% больных живут более пяти лет. Чем раньше начато лечение, тем выше шансы на выздоровление пациента.


Внимание!
Вы можете бесплатно вылечить это заболевание и получить медицинскую помощь в АО «Медицина» (клиника академика Ройтберга) по программе Государственных гарантий ОМС (Обязательного медицинского страхования) и ВМП (выскокотехнологичной медицинской помощи).
Чтобы узнать подробности, позвоните, пожалуйста, по телефону +7(495) 775-73-60, или на странице ВМП по ОМС

Список источников

  • Каприн А.Д., Старинский В.В. Злокачественные новообразования в России в 2015 году (заболеваемость и смертность) – М.: МНИОИ им. П.А. Герцена филиал ФГБУ «НМИРЦ» Минздрава России, 2017.
  • Злокачественные опухоли головы и шеи. под ред. Кропотова М.А.., Подвязникова С.О., Алиевой С.Б., Мудунова А.М. Клинические рекомендации по лечению опухолей головы и шеи Общенациональной онкологической сети (США) – М.: ООО «АБВ-пресс», 2011.
  • А.И. Пачес, Е.Г. Матякин. Опухоли гортани. Опухоли головы и шеи: рук / А.И. Пачес. – 5-е изд., доп. и перераб. – М.: Практическая медицина, 2013.
(Голосов: 12, Рейтинг: 3.33)

Оставьте заявку, мы Вам перезвоним

Задайте вопросы специалисту и получите персональную консультацию:

+7 (495) 775-73-60
Лицензии
Лицензия на осуществление медицинской деятельности № Л041-00110-77/00363409 Срок действия: бессрочная
Ваш браузер устарел рекомендуем обновить его до последней версии
или использовать другой более современный.